Mouse Monoclonal Antibody to GRIK4
货号:
31265
别名:
KA1; EAA1; GRIK; GluK4
应用:
IHC,IF,FCM
反应种属:
Human
抗体类型:
Primary antibody
Swissprot:
Q16099
规格:
目录价
在线咨询
Description |
|---|
This gene encodes a protein that belongs to the glutamate-gated ionic channel family. Glutamate functions as the major excitatory neurotransmitter in the central nervous system through activation of ligand-gated ion channels and G protein-coupled membrane receptors. The protein encoded by this gene forms functional heteromeric kainate-preferring ionic channels with the subunits encoded by related gene family members. Alternatively spliced transcript variants encoding different isoforms have been found for this gene. |
References |
|---|
| 1.Pharmacogenomics. 2014 Aug;15(11):1451-9. 2.Am J Med Genet B Neuropsychiatr Genet. 2012 Jan;159B(1):21-9. |
Specification |
|
|---|---|
| Aliases | KA1; EAA1; GRIK; GluK4 |
| Entrez GeneID | 2900 |
| Swissprot | Q16099 |
| clone | 8H5G5 |
| WB Predicted band size | 107.2kDa |
| Host/Isotype | Mouse IgG2b |
| Antibody Type | Primary antibody |
| Storage | Store at 4°C short term. Aliquot and store at -20°C long term. Avoid freeze/thaw cycles. |
| Species Reactivity | Human |
| Immunogen | Purified recombinant fragment of human GRIK4 (AA: extra 21-166) expressed in E. Coli. |
| Formulation | Purified antibody in PBS with 0.05% sodium azide |
Application |
|
|---|---|
| IHC | 1/200 - 1/1000 |
| IF | 1/200 - 1/1000 |
| FCM | 1/200 - 1/400 |
| ELISA | 1/10000 |
Product Image
-
Black line: Control Antigen (100 ng);Purple line: Antigen (10ng); Blue line: Antigen (50 ng); Red line:Antigen (100 ng)

-
Immunofluorescence analysis of Hela cells using GRIK4 mouse mAb (green). Blue: DRAQ5 fluorescent DNA dye. Red: Actin filaments have been labeled with Alexa Fluor- 555 phalloidin. Secondary antibody from Fisher (Cat#: 35503)

-
Immunofluorescence analysis of SK-N-SH cells using GRIK4 mouse mAb (green). Blue: DRAQ5 fluorescent DNA dye. Red: Actin filaments have been labeled with Alexa Fluor- 555 phalloidin. Secondary antibody from Fisher (Cat#: 35503)

-
Flow cytometric analysis of SH-SY5Y cells using GRIK4 mouse mAb (green) and negative control (red).

-
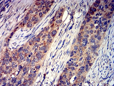
Immunohistochemical analysis of paraffin-embedded human cervical cancer tissues using GRIK4 mouse mAb with DAB staining.

-
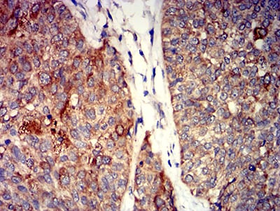
Immunohistochemical analysis of paraffin-embedded human bladder cancer tissues using GRIK4 mouse mAb with DAB staining.







鄂公网安备42018502007531号

