-
分类: 科研抗体货号: 30870别名:应用: FCM反应种属: Human
-
分类: 科研抗体货号: 30854别名: ICF; ICF1; M.HsaIIIB应用: IF,FCM反应种属: Human
-
分类: 科研抗体货号: 30859别名: DRRS; HSAL4; ZNF797; dJ1112F19.1应用: FCM反应种属: Human
-
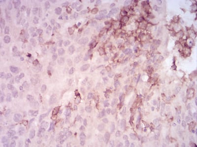
分类: 科研抗体货号: 30869别名: MMP-14; MMP-X1; MT-MMP; MT1MMP; MTMMP1; WNCHRS; MT1-MMP; MT-MMP 1应用: IHC,FCM反应种属: Human
-
分类: 科研抗体货号: 30853别名: IMF1; IBGC4; JTK12; PDGFR; CD140B; PDGFR1; PDGFR-1应用: FCM反应种属: Human,Mouse
-
分类: 科研抗体货号: 30858别名: PPAR; NR1C1; hPPAR; PPARalpha应用: WB,FCM反应种属: Human,Monkey
-
分类: 科研抗体货号: 30852别名: MEL; RAB8A应用: FCM反应种属: Human
-
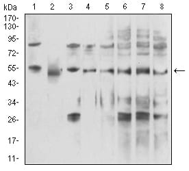
分类: 科研抗体货号: 30867别名: BAT1; UAP56; D6S81E应用: WB,IHC反应种属: Human,Mouse
-
分类: 科研抗体货号: 30885别名: H4; H4/n; H4F2; H4FN; FO108; HIST2H4应用: WB,IHC,IF,FCM反应种属: Human
-
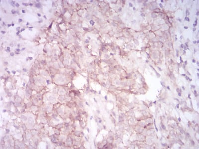
分类: 科研抗体货号: 30881别名: M33; CDCA6; SRXY5应用: WB,IHC,IF,FCM反应种属: Human,Mouse,Rat,Rabbit,Monkey
鄂公网安备42018502007531号

