Mouse Monoclonal Antibody to HIST2H4A(20Me)
货号:
30885
别名:
H4; H4/n; H4F2; H4FN; FO108; HIST2H4
应用:
WB,IHC,IF,FCM
反应种属:
Human
抗体类型:
Primary antibody
Swissprot:
P62805
规格:
目录价
在线咨询
Description |
|---|
Histones are basic nuclear proteins that are responsible for the nucleosome structure of the chromosomal fiber in eukaryotes. This structure consists of approximately 146 bp of DNA wrapped around a nucleosome, an octamer composed of pairs of each of the four core histones (H2A, H2B, H3, and H4). The chromatin fiber is further compacted through the interaction of a linker histone, H1, with the DNA between the nucleosomes to form higher order chromatin structures. This gene is intronless and encodes a member of the histone H4 family. Transcripts from this gene lack polyA tails; instead, they contain a palindromic termination element. This gene is found in a histone cluster on chromosome 1. This gene is one of four histone genes in the cluster that are duplicated; this record represents the centromeric copy. |
References |
|---|
| 1.J Virol. 2011 Dec;85(24):13234-52. 2.Mol Cell Biol. 2003 Feb;23(4):1460-9. |
Specification |
|
|---|---|
| Aliases | H4; H4/n; H4F2; H4FN; FO108; HIST2H4 |
| Entrez GeneID | 8370 |
| Swissprot | P62805 |
| clone | 3E7H2 |
| WB Predicted band size | 11.4kDa |
| Host/Isotype | Mouse IgG1 |
| Antibody Type | Primary antibody |
| Storage | Store at 4°C short term. Aliquot and store at -20°C long term. Avoid freeze/thaw cycles. |
| Species Reactivity | Human |
| Immunogen | Synthesized peptide of human HIST2H4A ( AA: GGAKRHRK(Me)VLRDNIQ ). |
| Formulation | Purified antibody in PBS with 0.05% sodium azide |
Application |
|
|---|---|
| WB | 1/500 - 1/2000 |
| IHC | 1/200 - 1/1000 |
| IF | 1/200 - 1/1000 |
| FCM | 1/200 - 1/400 |
| ELISA | 1/10000 |
Product Image
-
Black line: Control Antigen (100 ng); Purple line: Antigen(10ng); Blue line: Antigen (50 ng); Red line: Antigen (100 ng);

-
Western blot analysis using HIST2H4A(20Me) mouse mAb against THP-1 (1) cell lysate.

-
Immunofluorescence analysis of HeLa cells. Blue: DRAQ5 fluorescent DNA dye. Red: Actin filaments have been labeled with Alexa Fluor- 555 phalloidin.

-
Immunofluorescence analysis of HeLa cells using HIST2H4A(20Me) mouse mAb (green). Blue: DRAQ5 fluorescent DNA dye. Red: Actin filaments have been labeled with Alexa Fluor- 555 phalloidin. Secondary antibody from Fisher (Cat#: 35503)

-
Flow cytometric analysis of Raji cells using HIST2H4A(20Me) mouse mAb (green) and negative control (red).

-
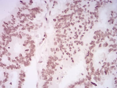
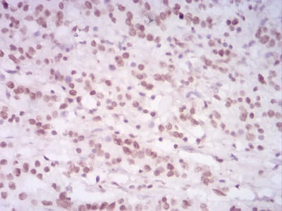
Immunohistochemical analysis of paraffin-embedded human rectum cancer tissues using HIST2H4A(20Me) mouse mAb with DAB staining.

-
Immunohistochemical analysis of paraffin-embedded human stomach cancer tissues using HIST2H4A(20Me) mouse mAb with DAB staining.








鄂公网安备42018502007531号

