Mouse Monoclonal Antibody to CBX2
货号:
30881
别名:
M33; CDCA6; SRXY5
应用:
WB,IHC,IF,FCM
反应种属:
Human,Mouse,Rat,Rabbit,Monkey
抗体类型:
Primary antibody
Swissprot:
Q14781
规格:
目录价
在线咨询
Description |
|---|
This gene encodes a component of the polycomb multiprotein complex, which is required to maintain the transcriptionally repressive state of many genes throughout development via chromatin remodeling and modification of histones. Disruption of this gene in mice results in male-to-female gonadal sex reversal. Mutations in this gene are also associated with gonadal dysgenesis in humans. Alternatively spliced transcript variants encoding different isoforms have been noted for this gene. |
References |
|---|
| 1.Br J Cancer. 2014 Oct 14;111(8):1663-72. 2.Fertil Steril. 2013 Mar 1;99(3):819-826. |
Specification |
|
|---|---|
| Aliases | M33; CDCA6; SRXY5 |
| Entrez GeneID | 84733 |
| Swissprot | Q14781 |
| clone | 4C11B10 |
| WB Predicted band size | 56kDa |
| Host/Isotype | Mouse IgG1 |
| Antibody Type | Primary antibody |
| Storage | Store at 4°C short term. Aliquot and store at -20°C long term. Avoid freeze/thaw cycles. |
| Species Reactivity | Human,Mouse,Rat,Rabbit,Monkey |
| Immunogen | Purified recombinant fragment of human CBX2 (AA: 402-525) expressed in E. Coli. |
| Formulation | Purified antibody in PBS with 0.05% sodium azide |
Application |
|
|---|---|
| WB | 1/500 - 1/2000 |
| IHC | 1/200 - 1/1000 |
| IF | 1/200 - 1/1000 |
| FCM | 1/200 - 1/400 |
| ELISA | 1/10000 |
Product Image
-
Black line: Control Antigen (100 ng); Purple line: Antigen(10ng); Blue line: Antigen (50 ng); Red line: Antigen (100 ng);

-
Western blot analysis using CBX2 mouse mAb against HUVEC (1), HEK293 (2), Hela (3), NIH/3T3 (4), and A431 (5) cell lysate.

-
Immunofluorescence analysis of MCF-7 cells using CBX2 mouse mAb (green). Blue: DRAQ5 fluorescent DNA dye. Red: Actin filaments have been labeled with Alexa Fluor- 555 phalloidin. Secondary antibody from Fisher (Cat#: 35503)

-
Flow cytometric analysis of HeLa cells using CBX2 mouse mAb (green) and negative control (red).

-
Flow cytometric analysis of NIH/3T3 cells using CBX2 mouse mAb (green) and negative control (red).

-
Flow cytometric analysis of COS7 cells using CBX2 mouse mAb (green) and negative control (red).

-
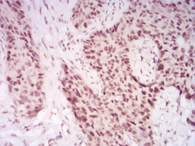
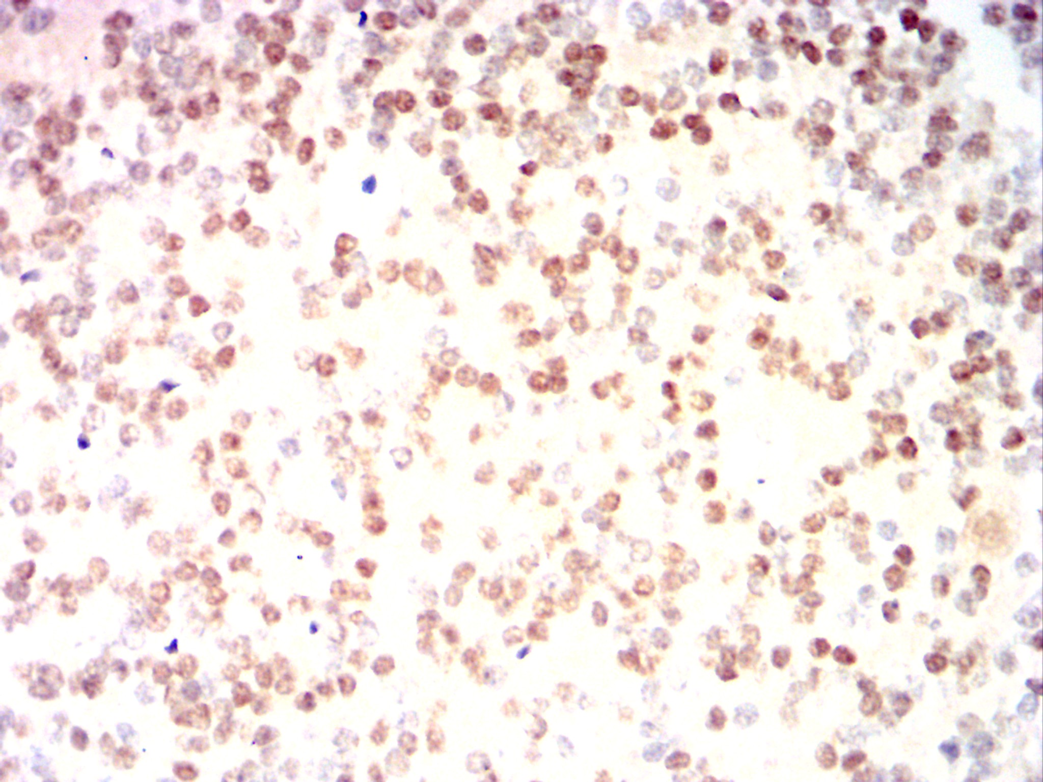
Immunohistochemical analysis of paraffin-embedded human cervical cancer tissues using CBX2 mouse mAb with DAB staining.

-
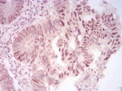
Immunohistochemical analysis of paraffin-embedded human rectum cancer tissues using CBX2 mouse mAb with DAB staining.

-
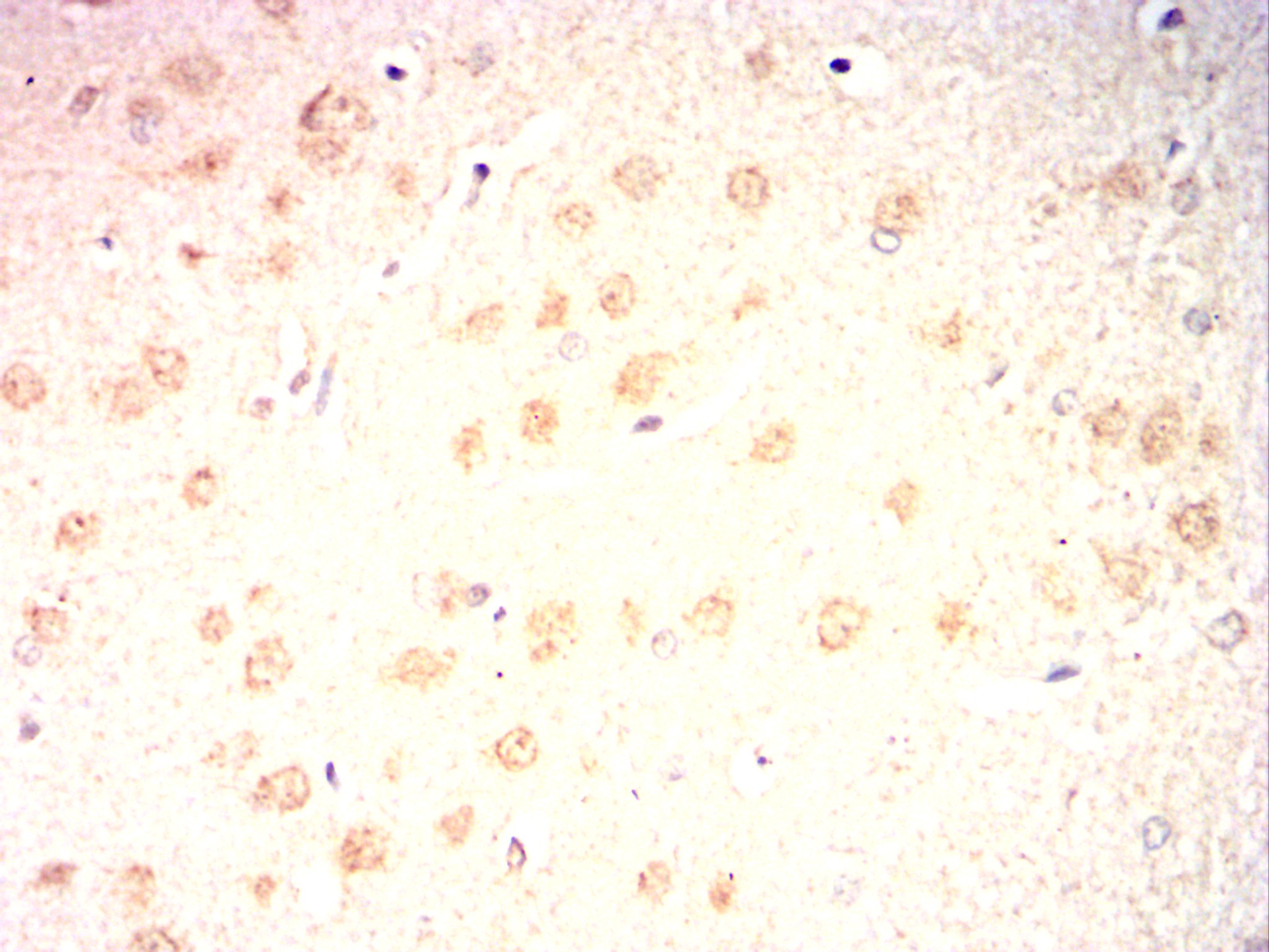
Immunohistochemical analysis of paraffin-embedded Mouse cerebellum using CBX2 mouse mAb with DAB staining.

-
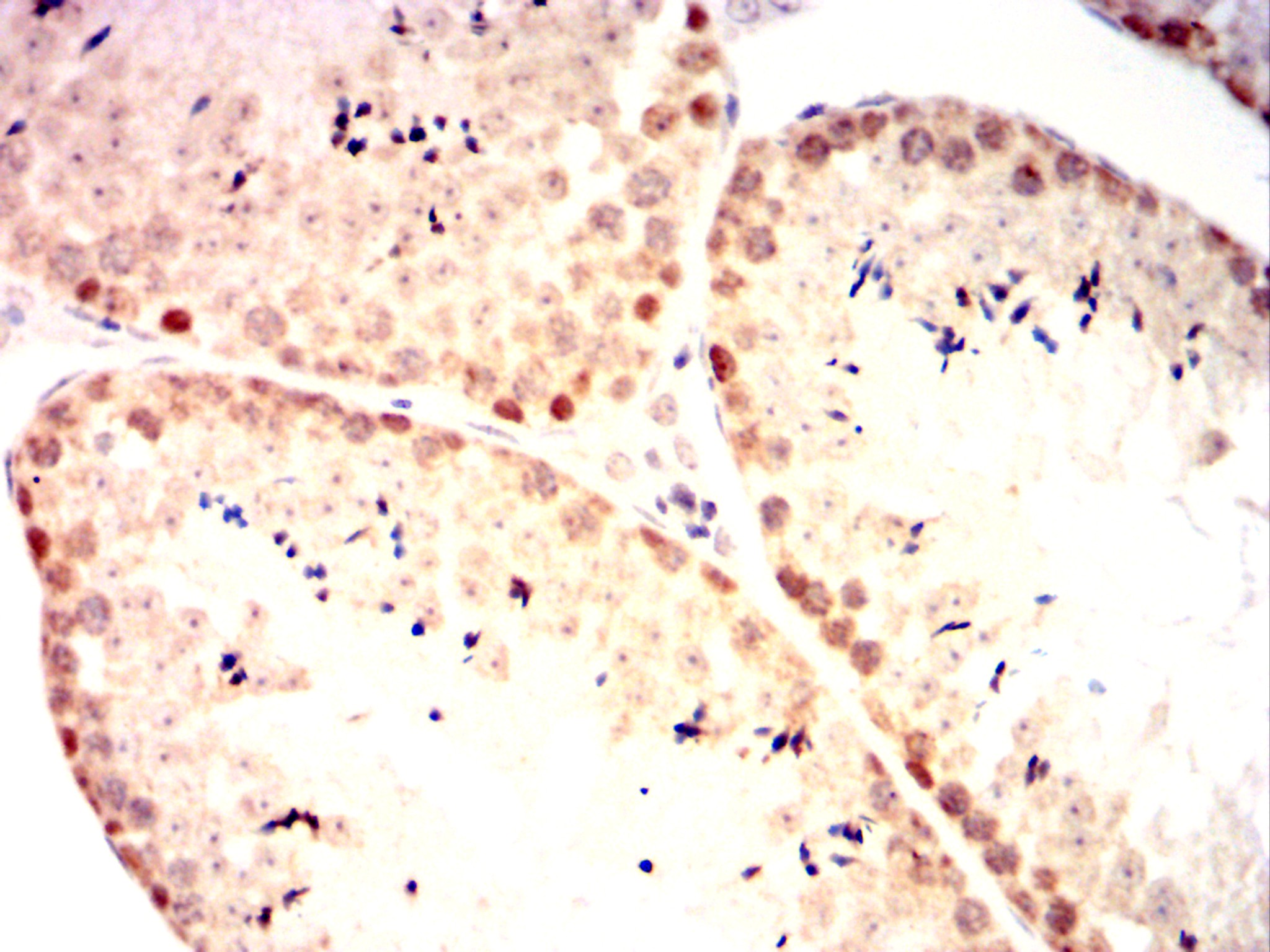
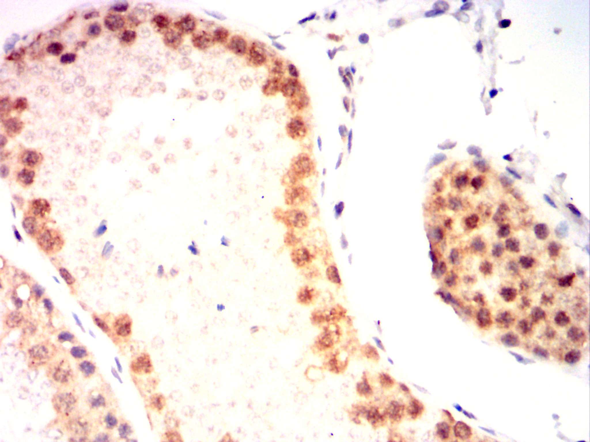
Immunohistochemical analysis of paraffin-embedded Mouse testis using CBX2 mouse mAb with DAB staining.

-
Immunohistochemical analysis of paraffin-embedded Rat cerebellum using CBX2 mouse mAb with DAB staining.

-
Immunohistochemical analysis of paraffin-embedded Rabbit cerebellum using CBX2 mouse mAb with DAB staining.

-
Immunohistochemical analysis of paraffin-embedded Rabbit testis using CBX2 mouse mAb with DAB staining.














鄂公网安备42018502007531号

