-
分类: 科研抗体货号: 31985别名: BCL1; PRAD1; U21B31; D11S287E应用: WB,FCM反应种属: Human, Mouse
-
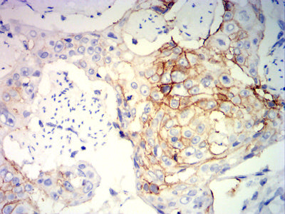
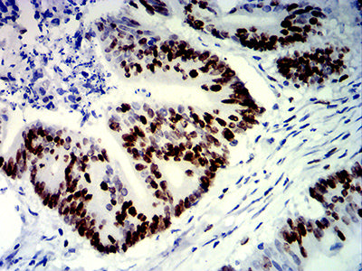
分类: 科研抗体货号: 31970别名: PR; NR3C3应用: WB,IHC,FCM反应种属: Human, Mouse
-
分类: 科研抗体货号: 32000别名: p75; QA79; AIRM1; CD328; AIRM-1; CDw328; D-siglec; SIGLEC-7; SIGLECP2; SIGLEC19P; p75/AIRM1应用: IHC,FCM反应种属: Human
-
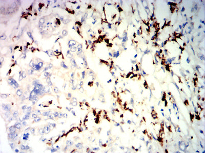
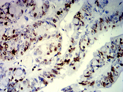
分类: 科研抗体货号: 31984别名: BCL1; PRAD1; U21B31; D11S287E应用: WB,IHC,FCM反应种属: Human, Mouse
-
分类: 科研抗体货号: 31969别名: C11; HLP; CCPI; CGL1; CSPB; SECT; CGL-1; CSP-B; CTLA1; CTSGL1应用: IHC反应种属: Human
-
分类: 科研抗体货号: 31983别名: CR2; CR; C3DR; CVID7; SLEB9应用: FCM反应种属: Human
-
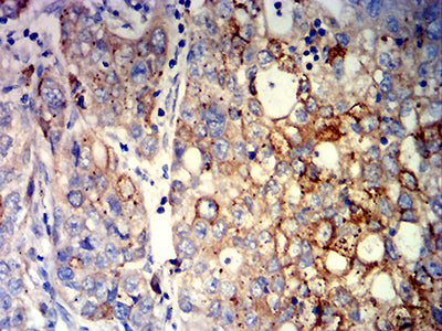
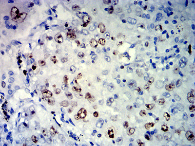
分类: 科研抗体货号: 31999别名: KIA; MIB-; MIB-1; PPP1R105应用: IHC,FCM反应种属: Human
-
分类: 科研抗体货号: 31968别名: NK1; CD57; HNK1; LEU7; NK-1; GLCATP; GLCUATP应用: IHC,FCM反应种属: Human
-
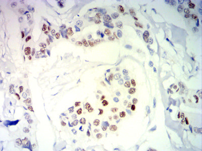
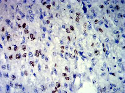
分类: 科研抗体货号: 31998别名: KIA; MIB-; MIB-1; PPP1R105应用: IHC,FCM反应种属: Human
-
分类: 科研抗体货号: 31982别名: CLEC4C; DLEC; HECL; BDCA2; BDCA-2; CLECSF7; CLECSF11; PRO34150应用: FCM反应种属: Human
鄂公网安备42018502007531号

