Mouse Monoclonal Antibody to MKI67
货号:
31999
别名:
KIA; MIB-; MIB-1; PPP1R105
应用:
IHC,FCM
反应种属:
Human
抗体类型:
Primary antibody
Swissprot:
P46013
规格:
目录价
在线咨询
Description |
|---|
This gene encodes a nuclear protein that is associated with and may be necessary for cellular proliferation. Alternatively spliced transcript variants have been described. A related pseudogene exists on chromosome X. |
References |
|---|
| 1.Histopathology. 2019 Dec;75(6):853-864. 2.Pancreas. 2019 Jul;48(6):795-798. |
Specification |
|
|---|---|
| Aliases | KIA; MIB-; MIB-1; PPP1R105 |
| Entrez GeneID | 4288 |
| Swissprot | P46013 |
| clone | 2E1F1 |
| WB Predicted band size | 35.9kDa |
| Host/Isotype | Mouse IgG1 |
| Antibody Type | Primary antibody |
| Storage | Store at 4°C short term. Aliquot and store at -20°C long term. Avoid freeze/thaw cycles. |
| Species Reactivity | Human |
| Immunogen | Purified recombinant fragment of human MKI67 (AA: 1160-1493) expressed in E. Coli. |
| Formulation | Purified antibody in PBS with 0.05% sodium azide |
Application |
|
|---|---|
| IHC | 1/200 - 1/1000 |
| FCM | 1/200 - 1/400 |
| ELISA | 1/10000 |
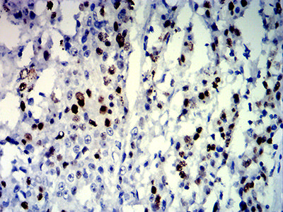
Product Image
-
Black line: Control Antigen (100 ng);Purple line: Antigen (10ng); Blue line: Antigen (50 ng); Red line:Antigen (100 ng)

-
Flow cytometric analysis of THP-1 cells using MKI67 mouse mAb (green) and negative control (red).

-
Immunohistochemical analysis of paraffin-embedded human lung cancer tissues using MKI67 mouse mAb with DAB staining.

-
Immunohistochemical analysis of paraffin-embedded human liver cancer tissues using MKI67 mouse mAb with DAB staining.

-
Immunohistochemical analysis of paraffin-embedded human esophageal cancer tissues using MKI67 mouse mAb with DAB staining.






鄂公网安备42018502007531号

