Mouse Monoclonal Antibody to CCND1
Description |
|---|
The protein encoded by this gene belongs to the highly conserved cyclin family, whose members are characterized by a dramatic periodicity in protein abundance throughout the cell cycle. Cyclins function as regulators of CDK kinases. Different cyclins exhibit distinct expression and degradation patterns which contribute to the temporal coordination of each mitotic event. This cyclin forms a complex with and functions as a regulatory subunit of CDK4 or CDK6, whose activity is required for cell cycle G1/S transition. This protein has been shown to interact with tumor suppressor protein Rb and the expression of this gene is regulated positively by Rb. Mutations, amplification and overexpression of this gene, which alters cell cycle progression, are observed frequently in a variety of human cancers. |
References |
|---|
| 1.Cancer Med. 2019 Aug;8(9):4100-4109. 2.Sci Rep. 2018 May 1;8(1):6824. |
Specification |
|
|---|---|
| Aliases | BCL1; PRAD1; U21B31; D11S287E |
| Entrez GeneID | 595 |
| Swissprot | P24385 |
| clone | 1F7F5 |
| WB Predicted band size | 33.7kDa |
| Host/Isotype | Mouse IgG1 |
| Antibody Type | Primary antibody |
| Storage | Store at 4°C short term. Aliquot and store at -20°C long term. Avoid freeze/thaw cycles. |
| Species Reactivity | Human, Mouse |
| Immunogen | Purified recombinant fragment of human CCND1 (AA: 1-295) expressed in E. Coli. |
| Formulation | Purified antibody in PBS with 0.05% sodium azide |
Application |
|
|---|---|
| WB | 1/500 - 1/2000 |
| IHC | 1/200-1/1000 |
| FCM | 1/200-1/400 |
| ELISA | 1/10000 |
Product Image
-
Black line: Control Antigen (100 ng);Purple line: Antigen (10ng); Blue line: Antigen (50 ng); Red line: Antigen (100 ng)

-
Western blot analysis using CCND1 mouse mAb against LNCAP (1), A431 (2), and NIH/3T3 (3) cell lysate.

-
Flow cytometric analysis of Hela cells using CCND1 mouse mAb (green) and negative control (red).

-
Immunohistochemical analysis of paraffin-embedded human liver cancer tissues using CCND1 mouse mAb with DAB staining.

-
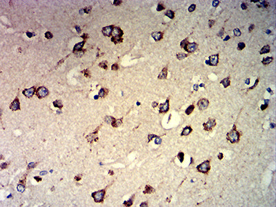
Immunohistochemical analysis of paraffin-embedded human brain tissues using CCND1 mouse mAb with DAB staining.






鄂公网安备42018502007531号

