-
分类: 科研抗体货号: P32595别名: ATPase family AAA domain-containing protein 2, AAA nuclear coregulator cancer-associated protein, ANCCA, ATAD2应用: WB反应种属: Human
-
分类: 科研抗体货号: P32563别名: Protein C9orf72, C9orf72应用: WB反应种属: Human, Mouse, Rat
-
分类: 科研抗体货号: P32610别名: Growth arrest and DNA damage-inducible proteins-interacting protein 1, 39S ribosomal protein L59, mitochondrial, MRP-L59, CKII beta-associating protein, CR6-interacting factor 1, CRIF1, Papillomavirus L2-interacting nuclear protein 1, PLINP, PLINP-1, p53-应用: WB,FCM反应种属: Human
-
分类: 科研抗体货号: P32594别名: Mitochondrial cardiolipin hydrolase, 31--, Choline phosphatase 6, Mitochondrial phospholipase, MitoPLD, Phosphatidylcholine-hydrolyzing phospholipase D6, Phospholipase D6, PLD 6, Protein zucchini homolog, PLD6应用: WB反应种属: Human, Mouse
-
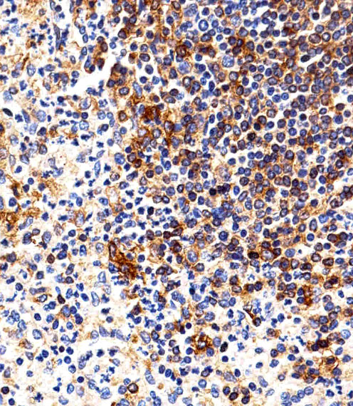
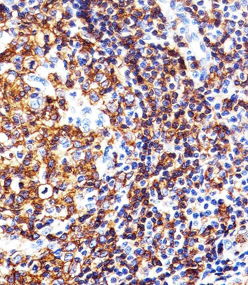
分类: 科研抗体货号: P32609别名: HLA class II histocompatibility antigen, DRB1-1 beta chain, MHC class II antigen DRB1*1, DR-1, DR1, HLA-DRB1应用: WB,IHC反应种属: Human
-
分类: 科研抗体货号: P32590别名: Transcription factor MafK, Erythroid transcription factor NF-E2 p18 subunit, MAFK应用: WB,FCM反应种属: Human, Mouse, Rat
-
分类: 科研抗体货号: P32608别名: Elongation factor 1-beta, EF-1-beta, EEF1B2, EEF1B, EF1B应用: WB,IHC,IF,FCM反应种属: Human
-
分类: 科研抗体货号: P32589别名: Melanoma-associated antigen D1, MAGE tumor antigen CCF, MAGE-D1 antigen, Neurotrophin receptor-interacting MAGE homolog, MAGED1, NRAGE应用: WB反应种属: Human
-
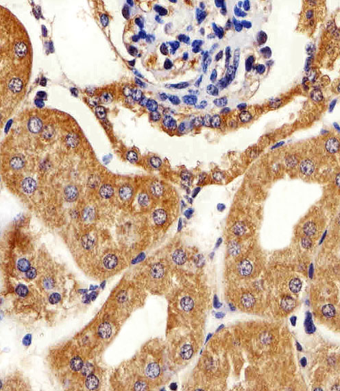
分类: 科研抗体货号: P32607别名: Adenylate kinase 4, mitochondrial {ECO:0000255|HAMAP-Rule:MF_03170}, AK 4 {ECO:0000255|HAMAP-Rule:MF_03170}, 27410 {ECO:0000255|HAMAP-Rule:MF_03170}, 2746 {ECO:0000255|HAMAP-Rule:MF_03170}, Adenylate kinase 3-like {ECO:0000255|HAMAP-Rule:MF_03170}, GTP:AM应用: WB,IHC,IF反应种属: Human, Mouse
-
分类: 科研抗体货号: P32588别名: Complement C1q subcomponent subunit A, C1QA应用: WB反应种属: Human
鄂公网安备42018502007531号

