Rabbit Polyclonal Antibody to AK4
货号:
P32607
别名:
Adenylate kinase 4, mitochondrial {ECO:0000255|HAMAP-Rule:MF_03170}, AK 4 {ECO:0000255|HAMAP-Rule:MF_03170}, 27410 {ECO:0000255|HAMAP-Rule:MF_03170}, 2746 {ECO:0000255|HAMAP-Rule:MF_03170}, Adenylate kinase 3-like {ECO:0000255|HAMAP-Rule:MF_03170}, GTP:AM
应用:
WB,IHC,IF
反应种属:
Human, Mouse
抗体类型:
Primary antibody
Swissprot:
P27144
规格:
目录价
在线咨询
Description |
|---|
Involved in maintaining the homeostasis of cellular nucleotides by catalyzing the interconversion of nucleoside phosphates. Efficiently phosphorylates AMP and dAMP using ATP as phosphate donor, but phosphorylates only AMP when using GTP as phosphate donor. Also displays broad nucleoside diphosphate kinase activity. |
Specification |
|
|---|---|
| Aliases | Adenylate kinase 4, mitochondrial {ECO:0000255|HAMAP-Rule:MF_03170}, AK 4 {ECO:0000255|HAMAP-Rule:MF_03170}, 27410 {ECO:0000255|HAMAP-Rule:MF_03170}, 2746 {ECO:0000255|HAMAP-Rule:MF_03170}, Adenylate kinase 3-like {ECO:0000255|HAMAP-Rule:MF_03170}, GTP:AMP phosphotransferase AK4 {ECO:0000255|HAMAP-Rule:MF_03170}, AK4 {ECO:0000255|HAMAP-Rule:MF_03170} |
| Entrez GeneID | 205 |
| Swissprot | P27144 |
| WB Predicted band size | 25.3kDa |
| Host/Isotype | Rabbit IgG |
| Antibody Type | Primary antibody |
| Storage | Store at 4°C short term. Aliquot and store at -20°C long term. Avoid freeze/thaw cycles. |
| Species Reactivity | Human, Mouse |
| Immunogen | This AK4 antibody is generated from a rabbit immunized with a KLH conjugated synthetic peptide between 119-153 amino acids from the Central region of human AK4. |
Application |
|
|---|---|
| WB | 1/1000 |
| IHC | 1/100-1/500 |
| IF | 1/25 |
Product Image
-
Western blot analysis of lysates from A431, Hela, HepG2, MCF-7, Raji cell line and mouse kidney tissue lysate (from left to right), using AK4 Antibody (Center)(Cat. #P32607). P32607 was diluted at 1:1000 at each lane. A goat anti-rabbit IgG H&L(HRP) at 1:5000 dilution was used as the secondary antibody. Lysates at 35ug per lane.

-
All lanes : Anti-HLA-B Antibody (N-term) at 1:2000 dilution Lane 1: Hela whole cell lysate Lane 2: HL-60 whole cell lysate Lane 3: H. spleen whole lysate Lysates/proteins at 20 µg per lane. Secondary Goat Anti-Rabbit IgG, (H+L), Peroxidase conjugated at 1/10000 dilution. Predicted band size : 40 kDa Blocking/Dilution buffer: 5% NFDM/TBST.

-
Fluorescent image of HepG2 cells stained with AK4 Antibody (Center)(Cat#P32607). P32607 was diluted at 1:25 dilution. An Alexa Fluor 488-conjugated goat anti-rabbit lgG at 1:400 dilution was used as the secondary antibody (green). DAPI was used to stain the cell nuclear (blue). Cytoplasmic actin was counterstained with Alexa Fluor® 555 conjugated with Phalloidin (red).

-
Immunohistochemical analysis of paraffin-embedded M.kidney section using AK4 Antibody (Center)(Cat#P32607). P32607 was diluted at 1:25 dilution. A peroxidase-conjugated goat anti-rabbit IgG at 1:400 dilution was used as the secondary antibody, followed by DAB staining.

-
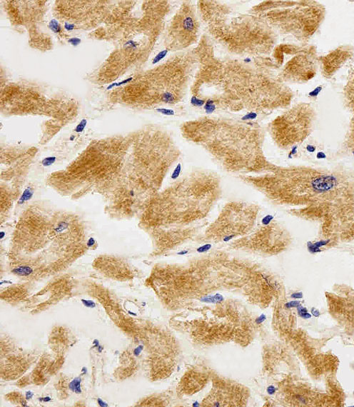
Immunohistochemical analysis of paraffin-embedded H.heart section using AK4 Antibody (Center)(Cat#P32607). P32607 was diluted at 1:25 dilution. A peroxidase-conjugated goat anti-rabbit IgG at 1:400 dilution was used as the secondary antibody, followed by DAB staining.

-
Immunohistochemical analysis of paraffin-embedded H.kidney section using AK4 Antibody (Center)(Cat#P32607). P32607 was diluted at 1:25 dilution. A peroxidase-conjugated goat anti-rabbit IgG at 1:400 dilution was used as the secondary antibody, followed by DAB staining.







鄂公网安备42018502007531号

