-
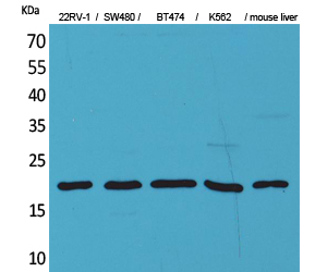
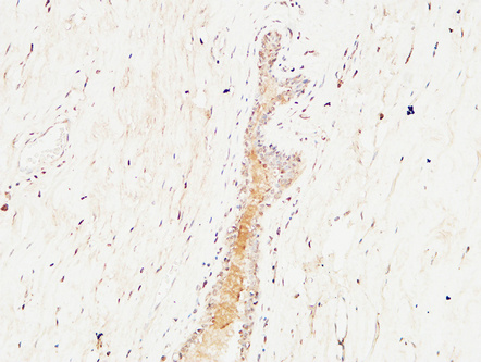
分类: 科研抗体货号: P23620别名: VEGFA; VEGF; Vascular endothelial growth factor A; VEGF-A; Vascular permeability factor; VPF应用: WB,IHC反应种属: Human
-
分类: 科研抗体货号: P23629别名: MYD88; Myeloid differentiation primary response protein MyD88应用: WB,IHC,IF反应种属: Human,Mouse,Rat
-
分类: 科研抗体货号: P23619别名: FOXP3; IPEX; JM2; Forkhead box protein P3; Scurfin应用: WB,IHC反应种属: Human,Mouse,Rat
-
分类: 科研抗体货号: P23628别名: HIF1A; BHLHE78; MOP1; PASD8; Hypoxia-inducible factor 1-alpha; HIF-1-alpha; HIF1-alpha; ARNT-interacting protein; Basic-helix-loop-helix-PAS protein MOP1; Class E basic helix-loop-helix protein 78; bHLHe78; Member of PAS protein 1; PAS doma应用: WB,IHC,IF反应种属: Human,Mouse,Rat
-
分类: 科研抗体货号: P23646别名: KIT; SCFR; Mast/stem cell growth factor receptor Kit; SCFR; Piebald trait protein; PBT; Proto-oncogene c-Kit; Tyrosine-protein kinase Kit; p145 c-kit; v-kit Hardy-Zuckerman 4 feline sarcoma viral oncogene homolog; CD antigen CD117应用: WB,IHC,IF反应种属: Human,Mouse,Rat,Monkey
-
分类: 科研抗体货号: P23627别名: EIF2S1; EIF2A; Eukaryotic translation initiation factor 2 subunit 1; Eukaryotic translation initiation factor 2 subunit alpha; eIF-2-alpha; eIF-2A; eIF-2alpha应用: WB,IHC,IF反应种属: Human,Mouse,Rat,Monkey
-
分类: 科研抗体货号: P23645别名: IL6; IFNB2; Interleukin-6; IL-6; B-cell stimulatory factor 2; BSF-2; CTL differentiation factor; CDF; Hybridoma growth factor; Interferon beta-2; IFN-beta-2应用: WB,IHC反应种属: Human
-
分类: 科研抗体货号: P23626别名: CDH1; CDHE; UVO; Cadherin-1; CAM 120/80; Epithelial cadherin; E-cadherin; Uvomorulin; CD antigen CD324应用: WB,IHC,IF反应种属: Human,Mouse,Rat
-
分类: 科研抗体货号: P23643别名: TGF beta 1; TGFB; CED; LAP应用: WB,IHC,IF反应种属: Human,Mouse,Rat
-
分类: 科研抗体货号: P23625别名: CCNE1; CCNE; G1/S-specific cyclin-E1应用: WB,IHC,IF反应种属: Human,Mouse,Rat
鄂公网安备42018502007531号

