Rabbit Polyclonal Antibody to FOXP3
货号:
P23619
别名:
FOXP3; IPEX; JM2; Forkhead box protein P3; Scurfin
应用:
WB,IHC
反应种属:
Human,Mouse,Rat
抗体类型:
Primary antibody
Swissprot:
Q9BZS1
规格:
目录价
在线咨询
Description |
|---|
Defects in FOXP3 are the cause of immunodeficiency polyendocrinopathy, enteropathy, X-linked syndrome (IPEX) [MIM:304790]; also known as X-linked autoimmunity-immunodeficiency syndrome. IPEX is characterized by neonatal onset insulin-dependent diabetes mellitus, infections, secretory diarrhea, trombocytopenia, anemia and eczema. It is usually lethal in infancy. |
Specification |
|
|---|---|
| Aliases | FOXP3; IPEX; JM2; Forkhead box protein P3; Scurfin |
| Entrez GeneID | 50943 |
| Swissprot | Q9BZS1 |
| WB Predicted band size | Calculated MW: 47 kDa; Observed MW: 47 kDa |
| Host/Isotype | Rabbit IgG |
| Antibody Type | Primary antibody |
| Storage | Store at 4°C short term. Aliquot and store at -20°C long term. Avoid freeze/thaw cycles. |
| Species Reactivity | Human,Mouse,Rat |
| Immunogen | The antiserum was produced against synthesized peptide derived from the C-terminal region of human FOXP3. AA range:381-430 |
| Formulation | Purified antibody in PBS with 0.05% sodium azide,0.5%BSA and 50% glycerol. |
Application |
|
|---|---|
| WB | 1/500-1/1000 |
| IHC | 1/50-1/100 |
| ELISA | 1/10000 |
Product Image
-
Western blot analysis of FOXP3 in PC-12 lysates using FOXP3 antibody.

-
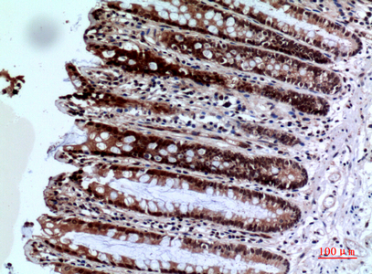
Immunohistochemistry analysis of paraffin-embedded Human colon using FOXP3 antibody.High-pressure and temperature Sodium Citrate pH 6.0 was used for antigen retrieval.

-
Immunohistochemistry analysis of paraffin-embedded Human tonsilla using FOXP3 antibody.High-pressure and temperature Sodium Citrate pH 6.0 was used for antigen retrieval.

-
Immunohistochemistry analysis of paraffin-embedded Human bladder cancer using FOXP3 antibody. High-pressure and temperature Tris-EDTA was used for antigen retrieval.

-
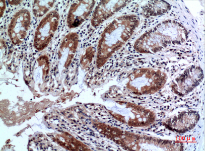
Immunohistochemistry analysis of paraffin-embedded Human colon using FOXP3 antibody.High-pressure and temperature Sodium Citrate pH 6.0 was used for antigen retrieval.

-
Immunohistochemistry analysis of paraffin-embedded Human colon using FOXP3 antibody.High-pressure and temperature Sodium Citrate pH 6.0 was used for antigen retrieval.







鄂公网安备42018502007531号

