-
分类: 科研抗体货号: P23338别名: AMCFII; Cxcl5; ENA78; SCYB5应用: IHC反应种属: Human
-
分类: 科研抗体货号: P23323别名: PVR; PVS; Poliovirus receptor; Nectin-like protein 5; NECL-5; CD155应用: WB反应种属: Human,Mouse,Rat
-
分类: 科研抗体货号: P23307别名: FGF5; Fibroblast growth factor 5; FGF-5; Heparin-binding growth factor 5; HBGF-5; Smag-82应用: WB,IHC反应种属: Human
-
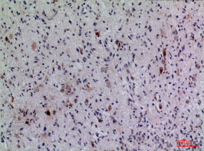
分类: 科研抗体货号: P23337别名: Cardiotrophin-like cytokine factor 1 (B-cell-stimulating factor 3; BSF-3; Novel neurotrophin-1; NNT-1)应用: IHC反应种属: Human,Mouse,Rat
-
分类: 科研抗体货号: P23322别名: PLXNC1; VESPR; Plexin-C1; Virus-encoded semaphorin protein receptor; CD232应用: WB反应种属: Human,Mouse,Rat
-
分类: 科研抗体货号: P23306别名: KLF12; AP2REP; HSPC122; Krueppel-like factor 12; Transcriptional repressor AP-2rep应用: WB,IHC反应种属: Human,Mouse
-
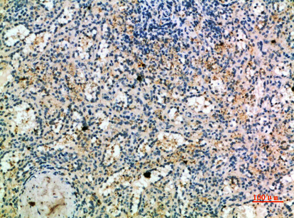
分类: 科研抗体货号: P23336别名: CMRF35-like molecule 7; CLM-7; CD300 antigen-like family member B; CMRF35-A2; Immune receptor expressed on myeloid cells 3; IREM-3; Leukocyte mono-Ig-like receptor 5; Triggering receptor expressed on myeloid cells 5; TREM-5; CD antigen CD300b应用: IHC反应种属: Human
-
分类: 科研抗体货号: P23321别名: SIRPA; BIT; MFR; MYD1; PTPNS1; SHPS1; SIRP; Tyrosine-protein phosphatase non-receptor type substrate 1; SHP substrate 1; SHPS-1; Brain Ig-like molecule with tyrosine-based activation motifs; Bit; CD172 antigen-like family member A; CD172a; SIRPB1; Signal-应用: WB,IHC反应种属: Human
-
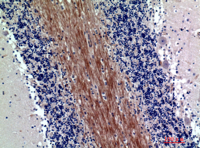
分类: 科研抗体货号: P23305别名: LIF; HILDA; Leukemia inhibitory factor; LIF; Differentiation-stimulating factor; D factor; Melanoma-derived LPL inhibitor; MLPLI; Emfilermin应用: WB,IHC反应种属: Human
-
分类: 科研抗体货号: P23335别名: C-C motif chemokine receptor 1; CKR1; CD191; CKR-1; HM145; CMKBR1; MIP1aR; SCYAR1应用: IHC反应种属: Human
鄂公网安备42018502007531号

