Rabbit Polyclonal Antibody to CD300b
货号:
P23336
别名:
CMRF35-like molecule 7; CLM-7; CD300 antigen-like family member B; CMRF35-A2; Immune receptor expressed on myeloid cells 3; IREM-3; Leukocyte mono-Ig-like receptor 5; Triggering receptor expressed on myeloid cells 5; TREM-5; CD antigen CD300b
应用:
IHC
反应种属:
Human
抗体类型:
Primary antibody
Swissprot:
A8K4G0
规格:
目录价
在线咨询
Description |
|---|
Acts as an activating immune receptor through its interaction with ITAM-bearing adapter TYROBP, and also independently by recruitment of GRB2. |
Specification |
|
|---|---|
| Aliases | CMRF35-like molecule 7; CLM-7; CD300 antigen-like family member B; CMRF35-A2; Immune receptor expressed on myeloid cells 3; IREM-3; Leukocyte mono-Ig-like receptor 5; Triggering receptor expressed on myeloid cells 5; TREM-5; CD antigen CD300b |
| Entrez GeneID | 124599 |
| Swissprot | A8K4G0 |
| Host/Isotype | Rabbit IgG |
| Antibody Type | Primary antibody |
| Storage | Store at 4°C short term. Aliquot and store at -20°C long term. Avoid freeze/thaw cycles. |
| Species Reactivity | Human |
| Immunogen | Synthetic peptide from human protein at AA range: 61-110 |
| Formulation | Purified antibody in PBS with 0.05% sodium azide,0.5%BSA and 50% glycerol. |
Application |
|
|---|---|
| IHC | 1/50-1/100 |
| ELISA | 1/10000 |
Product Image
-
Immunohistochemical analysis of paraffin-embedded Human tonsils using CD300b antibody.High-pressure and temperature Sodium Citrate pH 6.0 was used for antigen retrieval.

-
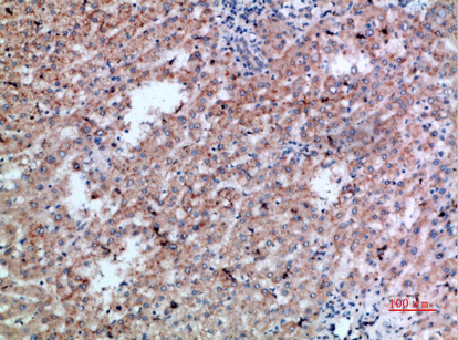
Immunohistochemistry analysis of paraffin-embedded Human livercancer using CD300b antibody.High-pressure and temperature Sodium Citrate pH 6.0 was used for antigen retrieval.



鄂公网安备42018502007531号

