-
分类: 科研抗体货号: P20730别名: PKM; OIP3; PK2; PK3; PKM2; Pyruvate kinase isozymes M1/M2; Cytosolic thyroid hormone-binding protein; CTHBP; Opa-interacting protein 3; OIP-3; Pyruvate kinase 2/3; Pyruvate kinase muscle isozyme; Thyroid hormone-binding protein 1; THBP1; Tu应用: WB,IF反应种属: Human,Mouse,Rat,Monkey
-
分类: 科研抗体货号: P20729别名: JAK1; JAK1A; JAK1B; Tyrosine-protein kinase JAK1; Janus kinase 1; JAK-1应用: WB,IP,IF反应种属: Human,Rat
-
分类: 科研抗体货号: P20750别名: TNNI3; TNNC1; Troponin I; cardiac muscle; Cardiac troponin I应用: WB反应种属: Human,Mouse,Rat
-
分类: 科研抗体货号: P20726别名: PRKDC; HYRC; HYRC1; DNA-dependent protein kinase catalytic subunit; DNA-PK catalytic subunit; DNA-PKcs; DNPK1; p460应用: WB,IP,IHC,IF反应种属: Human
-
分类: 科研抗体货号: P20747别名: AIFM1; AIF; PDCD8; Apoptosis-inducing factor 1; mitochondrial; Programmed cell death protein 8应用: WB,IF反应种属: Human
-
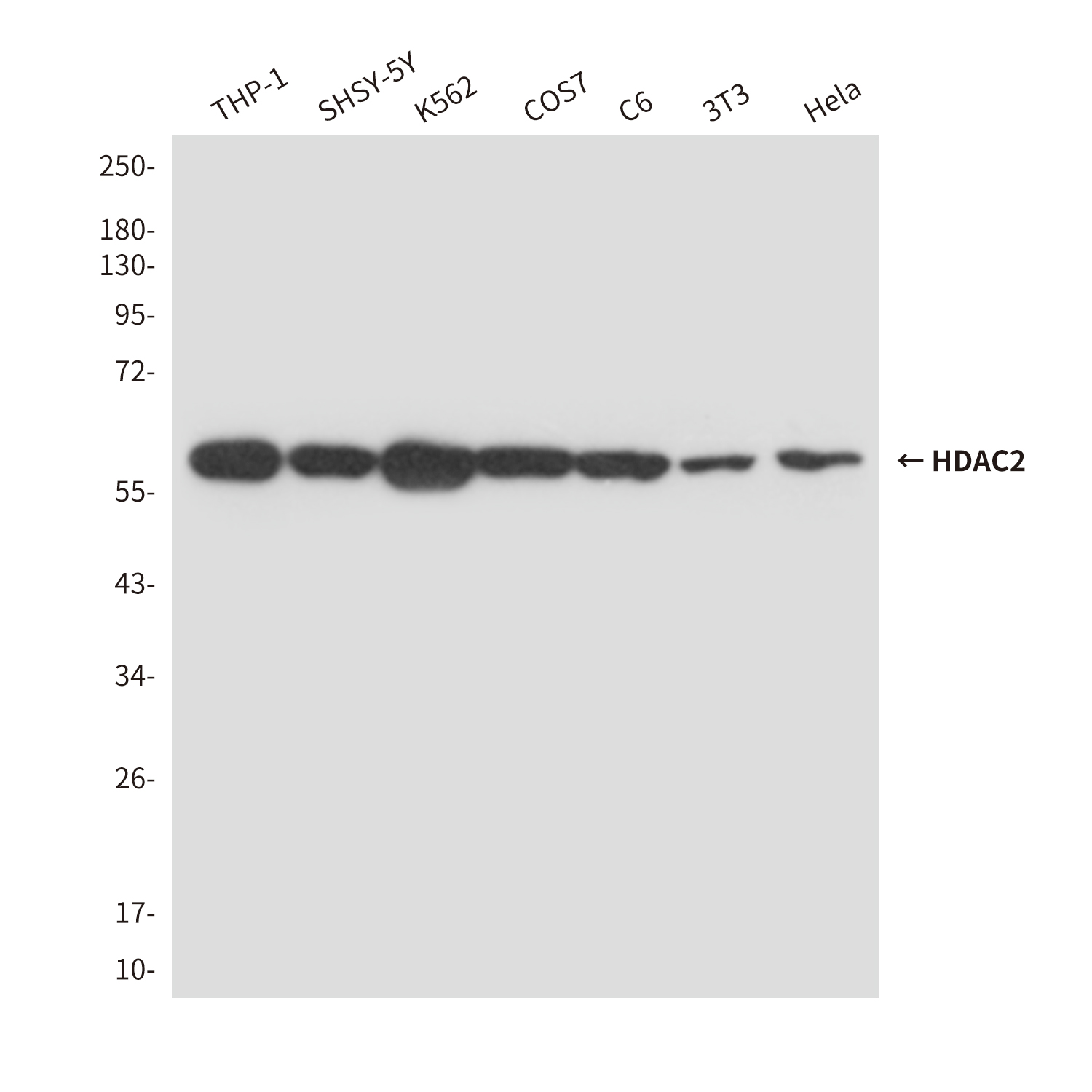
分类: 科研抗体货号: P20725别名: HDAC2; Histone deacetylase 2; HD2应用: WB,IF反应种属: Human,Mouse,Rat,Monkey
-
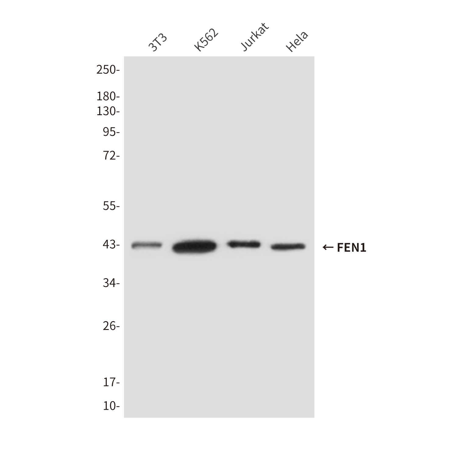
分类: 科研抗体货号: P20745别名: FEN1; RAD2; Flap endonuclease 1; FEN-1; DNase IV; Flap structure-specific endonuclease 1; Maturation factor 1; MF1; hFEN-1应用: WB,IP反应种属: Human,Mouse,Rat
-
分类: 科研抗体货号: P20723别名: GRB2; ASH; Growth factor receptor-bound protein 2; Adapter protein GRB2; Protein Ash; SH2/SH3 adapter GRB2应用: WB反应种属: Human,Mouse,Rat
-
分类: 科研抗体货号: P20743别名: EGFR; ERBB; ERBB1; HER1; Epidermal growth factor receptor; Proto-oncogene c-ErbB-1; Receptor tyrosine-protein kinase erbB-1应用: WB,IP,IF反应种属: Human,Monkey
-
分类: 科研抗体货号: P20722别名: CCNH; Cyclin-H; MO15-associated protein; p34; p37应用: WB反应种属: Human,Mouse
鄂公网安备42018502007531号

