Mouse Monoclonal Antibody to DNA PKcs
货号:
P20726
别名:
PRKDC; HYRC; HYRC1; DNA-dependent protein kinase catalytic subunit; DNA-PK catalytic subunit; DNA-PKcs; DNPK1; p460
应用:
WB,IP,IHC,IF
反应种属:
Human
抗体类型:
Primary antibody
Swissprot:
P78527
规格:
目录价
在线咨询
Description |
|---|
The PRKDC gene encodes the catalytic subunit of a nuclear DNA-dependent serine/threonine protein kinase (DNA-PK). The second component is the autoimmune antigen Ku (MIM 152690), which is encoded by the G22P1 gene on chromosome 22q. On its own, the catalytic subunit of DNA-PK is inactive and relies on the G22P1 component to direct it to the DNA and trigger its kinase activity; PRKDC must be bound to DNA to express its catalytic properties. |
Specification |
|
|---|---|
| Aliases | PRKDC; HYRC; HYRC1; DNA-dependent protein kinase catalytic subunit; DNA-PK catalytic subunit; DNA-PKcs; DNPK1; p460 |
| Entrez GeneID | 5591 |
| Swissprot | P78527 |
| clone | 7G3 |
| WB Predicted band size | Calculated MW: 469 kDa; Observed MW: 450 kDa |
| Host/Isotype | Mouse IgG1 |
| Antibody Type | Primary antibody |
| Storage | Store at 4°C short term. Aliquot and store at -20°C long term. Avoid freeze/thaw cycles. |
| Species Reactivity | Human |
| Immunogen | Purified recombinant human DNA-PKcs protein fragments expressed in E.coli |
| Formulation | Purified antibody in PBS with 0.05% sodium azide,0.5%BSA and 50% glycerol. |
Application |
|
|---|---|
| WB | 1/500-1/1000 |
| IP | 1/10-1/20 |
| IHC | 1/50-1/100 |
| IF | 1/50-1/200 |
Product Image
-
Western blot analysis of DNAPKcs in Hela and K562 lysates using DNAPKcs antibody.

-
Western blot analysis of DNAPKcs in Hela, Molt4, A549 and HCT116 lysates using DNAPKcs antibody.

-
Immunoprecipitation analysis of DNA PKcs in Hela lysates using DNAPKcs antibody.

-
Immunocytochemistry analysis of DNA PKcs in Hela using DNAPKcs antibody.

-
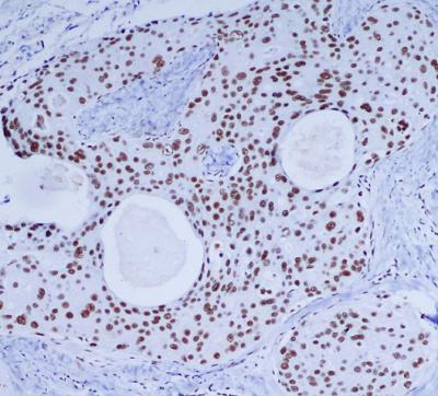
Immunohistochemistry analysis of paraffin-embedded Breast cancer using DNAPKcs antibody.High-pressure and temperature Sodium Citrate pH 6.0 was used for antigen retrieval.






鄂公网安备42018502007531号

