-
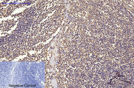
分类: 科研抗体货号: P20502别名: JAK2; Tyrosine-protein kinase JAK2; Janus kinase 2; JAK-2应用: IHC反应种属: Human,Mouse,Rat
-
分类: 科研抗体货号: P20449别名: TUBG1; TUBG; Tubulin gamma-1 chain; Gamma-1-tubulin; Gamma-tubulin complex component 1; GCP-1应用: WB,IHC反应种属: Human,Mouse,Rat
-
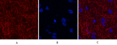
分类: 科研抗体货号: P20471别名: OI1; OI2; OI3; OI4; EDSC; CAFYD; EDSARTH1; COL1A1; Collagen I应用: WB,IF反应种属: Human
-
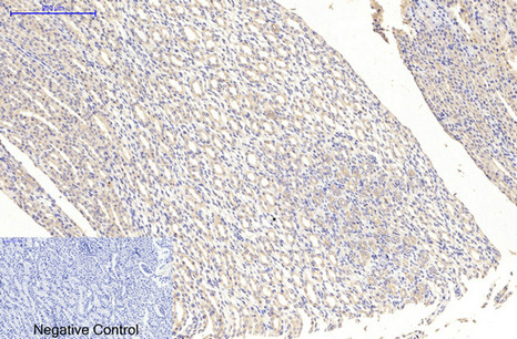
分类: 科研抗体货号: P20500别名: Microtubule associated protein 2; MAP2A; MAP2B; MAP2C应用: IHC,IF反应种属: Human,Mouse,Rat
-
分类: 科研抗体货号: P20638别名: 4EBP3; 4E-BP3应用: WB反应种属: Transfected
-
分类: 科研抗体货号: P20465别名: Protective antigen应用: ELISA反应种属: Bacillusanthracis
-
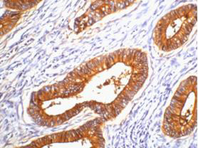
分类: 科研抗体货号: P20499别名: CEACAM5; CEA; Carcinoembryonic antigen-related cell adhesion molecule 5; Carcinoembryonic antigen; CEA; Meconium antigen 100; CD66e应用: IHC,IF反应种属: Human
-
分类: 科研抗体货号: P20637别名: 4EBP2; PHASII应用: WB反应种属: Transfected
-
分类: 科研抗体货号: P20461别名: TF; Serotransferrin; Transferrin; Beta-1 metal-binding globulin; Siderophilin应用: WB,IHC反应种属: Human
-
分类: 科研抗体货号: P20497别名: CD68; Macrosialin; Gp110; CD68应用: IHC,IF反应种属: Human,Mouse
鄂公网安备42018502007531号

