Mouse Monoclonal Antibody to MAP2
货号:
P20500
别名:
Microtubule associated protein 2; MAP2A; MAP2B; MAP2C
应用:
IHC,IF
反应种属:
Human,Mouse,Rat
抗体类型:
Primary antibody
Swissprot:
P11137
规格:
目录价
在线咨询
Description |
|---|
The exact function of MAP2 is unknown but MAPs may stabilize the microtubules against depolymerization. They also seem to have a stiffening effect on microtubules. |
Specification |
|
|---|---|
| Aliases | Microtubule associated protein 2; MAP2A; MAP2B; MAP2C |
| Entrez GeneID | 4133 |
| Swissprot | P11137 |
| clone | 3A5 |
| Host/Isotype | Mouse IgG1 |
| Antibody Type | Primary antibody |
| Storage | Store at 4°C short term. Aliquot and store at -20°C long term. Avoid freeze/thaw cycles. |
| Species Reactivity | Human,Mouse,Rat |
| Immunogen | Synthetic Peptide of MAP2 |
| Formulation | Purified antibody in PBS with 0.05% sodium azide,0.5%BSA and 50% glycerol. |
Application |
|
|---|---|
| IHC | 1/50-1/100 |
| IF | 1/50-1/200 |
Product Image
-
Immunofluorescence analysis of MAP2 in mouse brain tissue using MAP2 antibody(7D4)(red),and DAPI (blue).

-
Immunofluorescence analysis of MAP2 in rat brain using MAP2 antibody(7D4)(red) ,and DAPI (blue).

-
Immunohistochemistry analysis of paraffin-embedded Human Tonsil tissue using MAP2 antibody.High-pressure and temperature Sodium Citrate pH 6.0 was used for antigen retrieval.Negative control was used by secondary antibody only.

-
Immunohistochemical analysis of paraffin-embedded Human tonsils using MAP2 antibody.High-pressure and temperature Sodium Citrate pH 6.0 was used for antigen retrieval.Negative control was used by secondary antibody only.

-
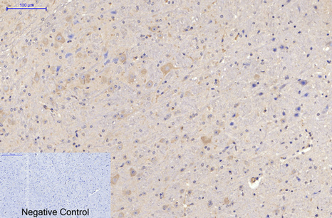
Immunohistochemistry analysis of paraffin-embedded mouse brain tissue using MAP2 antibody. High-pressure and temperature Sodium Citrate pH 6.0 was used for antigen retrieval. Negative control was used by secondary antibody only.

-
Immunohistochemistry analysis of paraffin-embedded Human brain tissue using MAP2 antibody.High-pressure and temperature Sodium Citrate pH 6.0 was used for antigen retrieval.







鄂公网安备42018502007531号

