-
分类: 科研抗体货号: P20441别名: Tubulin alpha-1B chain; Alpha-tubulin ubiquitous; Tubulin K-alpha-1; Tubulin alpha-ubiquitous chain应用: WB反应种属: Zebrafish
-
分类: 科研抗体货号: P20421别名: FAAR; NR1C2; NUC1; Peroxisome proliferative activated receptor delta应用: WB,IHC反应种属: Human,Mouse,Rat
-
分类: 科研抗体货号: P20440别名: beta I tubulin; TBB1; TUBB1; Tubulin beta 1; Class VI beta tubulin应用: WB,IHC,IF反应种属: Human,Mouse,Rat
-
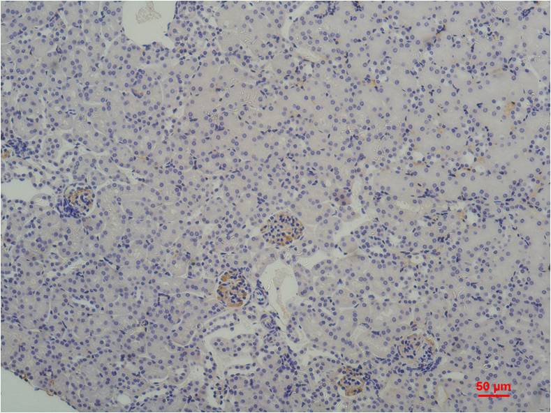
分类: 科研抗体货号: P20420别名: NFKBIB; IKBB; TRIP9; NF-kappa-B inhibitor beta; NF-kappa-BIB; I-kappa-B-beta; IkB-B; IkB-beta; IkappaBbeta; Thyroid receptor-interacting protein 9; TR-interacting protein 9; TRIP-9应用: IHC反应种属: Human,Mouse,Rat
-
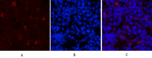
分类: 科研抗体货号: P20438别名: Glycolate oxidase; GOX1; HAOX1; Hydroxyacid oxidase 1antibody; MGC142225; GOX应用: WB,IHC,IF反应种属: Mouse,Rat
-
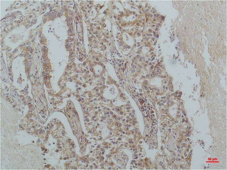
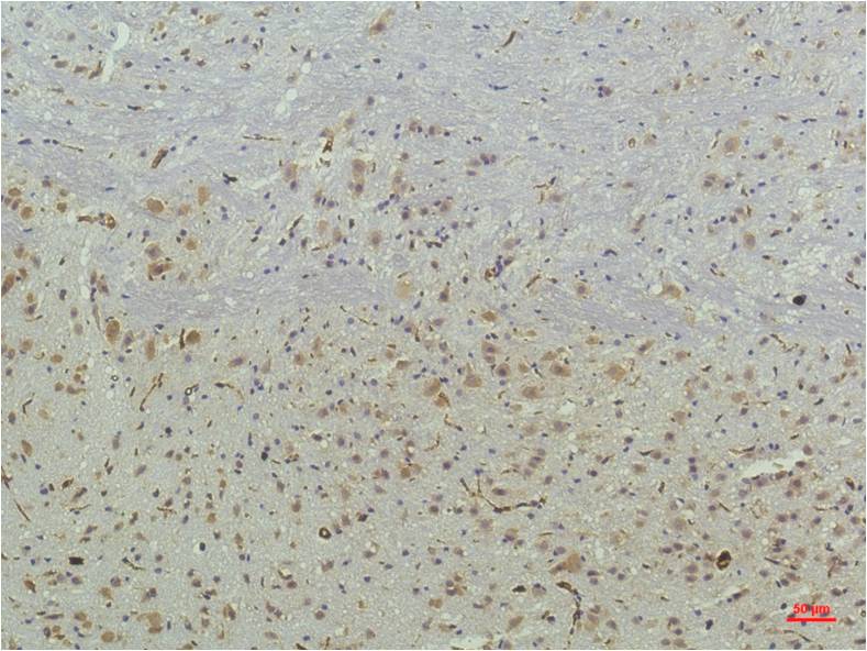
分类: 科研抗体货号: P20419别名: TBP; GTF2D1; TF2D; TFIID; TATA-box-binding protein; TATA sequence-binding protein; TATA-binding factor; TATA-box factor; Transcription initiation factor TFIID TBP subunit应用: IHC反应种属: Human,Mouse,Rat
-
分类: 科研抗体货号: P20437别名: Antibody; Ig gamma chain C region; Ig kappa-b4 chain C region; Ig kappa-b5 chain C region; Ig kappa-b9 chain C region; Ig lambda chain C region; K-BAS.应用: WB反应种属: Rabbit
-
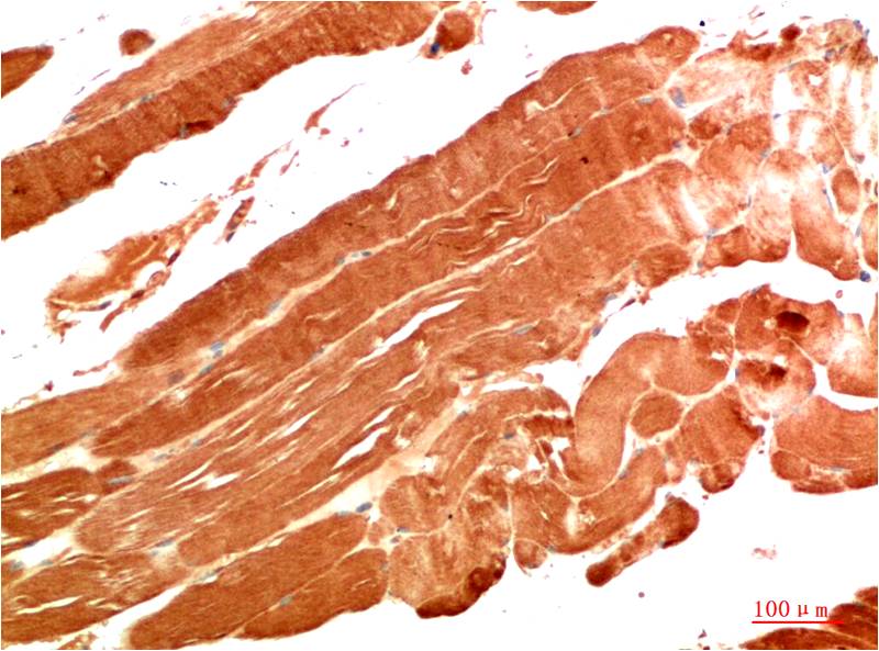
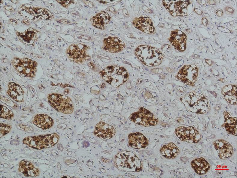
分类: 科研抗体货号: P20418别名: DES; Desmin应用: IHC反应种属: Human,Mouse,Rat
-
分类: 科研抗体货号: P20436别名: Antibody; Ig gamma chain C region; Ig kappa-b4 chain C region; Ig kappa-b5 chain C region; Ig kappa-b9 chain C region; Ig lambda chain C region; K-BAS.应用: WB反应种属: Rabbit
-
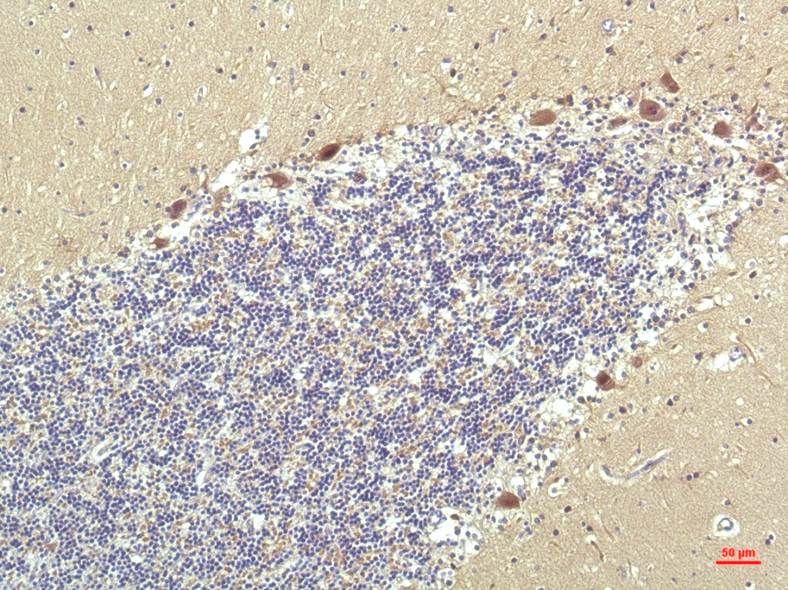
分类: 科研抗体货号: P20415别名: 1A13B; MIG19; Nbr1应用: IHC反应种属: Human,Mouse,Rat
鄂公网安备42018502007531号

