Mouse Monoclonal Antibody to Hydroxyacid Oxidase 1
货号:
P20438
别名:
Glycolate oxidase; GOX1; HAOX1; Hydroxyacid oxidase 1antibody; MGC142225; GOX
应用:
WB,IHC,IF
反应种属:
Mouse,Rat
抗体类型:
Primary antibody
Swissprot:
Q9UJM8
规格:
目录价
在线咨询
Description |
|---|
Has 2-hydroxyacid oxidase activity. Most active on the 2-carbon substrate glycolate, but is also active on 2-hydroxy fatty acids, with high activity towards 2-hydroxy palmitate and 2-hydroxy octanoate. |
Specification |
|
|---|---|
| Aliases | Glycolate oxidase; GOX1; HAOX1; Hydroxyacid oxidase 1antibody; MGC142225; GOX |
| Entrez GeneID | 54363 |
| Swissprot | Q9UJM8 |
| clone | 7A7 |
| WB Predicted band size | Calculated MW: 41 kDa; Observed MW: 41 kDa |
| Host/Isotype | Mouse IgG |
| Antibody Type | Primary antibody |
| Storage | Store at 4°C short term. Aliquot and store at -20°C long term. Avoid freeze/thaw cycles. |
| Species Reactivity | Mouse,Rat |
| Immunogen | Recombinant Protein of HAO1 |
| Formulation | Purified antibody in PBS with 0.05% sodium azide,0.5%BSA and 50% glycerol. |
Application |
|
|---|---|
| WB | 1/500-1/1000 |
| IHC | 1/50-1/100 |
| IF | 1/50-1/200 |
Product Image
-
Western blot analysis of Hydroxyacid Oxidase 1 in mouse Liver, rat Liver lysates using HAO1 antibody.

-
Immunofluorescence analysis of Hydroxyacid Oxidase 1 in Human appendix using Hydroxyacid Oxidase 1 antibody(Mix)(red),and DAPI (blue).

-
Immunofluorescence analysis of Hydroxyacid Oxidase 1 in mouse spleen using HAO1 antibody(Mix)(red) ,and DAPI (blue).

-
Immunohistochemistry analysis of paraffin-embedded Human liver tissue using Hydroxyacid Oxidase 1 antibody.High-pressure and temperature Sodium Citrate pH 6.0 was used for antigen retrieval.Negative control was used by secondary antibody only.

-
Immunohistochemistry analysis of paraffin-embedded Human tonsils using Hydroxyacid Oxidase 1 antibody.High-pressure and temperature Sodium Citrate pH 6.0 was used for antigen retrieval.Negative control was used by secondary antibody only.

-
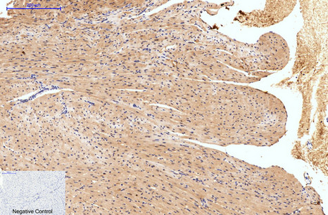
Immunohistochemistry analysis of paraffin-embedded mouse heart tissue using HAO1 antibody. High-pressure and temperature Sodium Citrate pH 6.0 was used for antigen retrieval. Negative control was used by secondary antibody only.







鄂公网安备42018502007531号

