-
分类: 科研抗体货号: P20303别名: CAD; CAD protein应用: IHC反应种属: Human
-
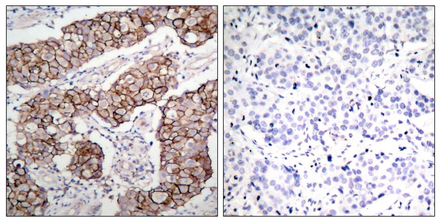
分类: 科研抗体货号: P20286别名: ERBB2; HER2; MLN19; NEU; NGL; Receptor tyrosine-protein kinase erbB-2; Metastatic lymph node gene 19 protein; MLN 19; Proto-oncogene Neu; Proto-oncogene c-ErbB-2; Tyrosine kinase-type cell surface receptor HER2; p185erbB2; CD antigen CD340应用: WB,IP,IHC反应种属: Human,Mouse,Rat
-
分类: 科研抗体货号: P20301别名: Mitogen-activated protein kinase kinase kinase 8; Cancer Osaka thyroid oncogene; Proto-oncogene c-Cot; Serine/threonine-protein kinase cot; Tumor progression locus 2应用: WB,IHC,IF反应种属: Human,Mouse,Rat
-
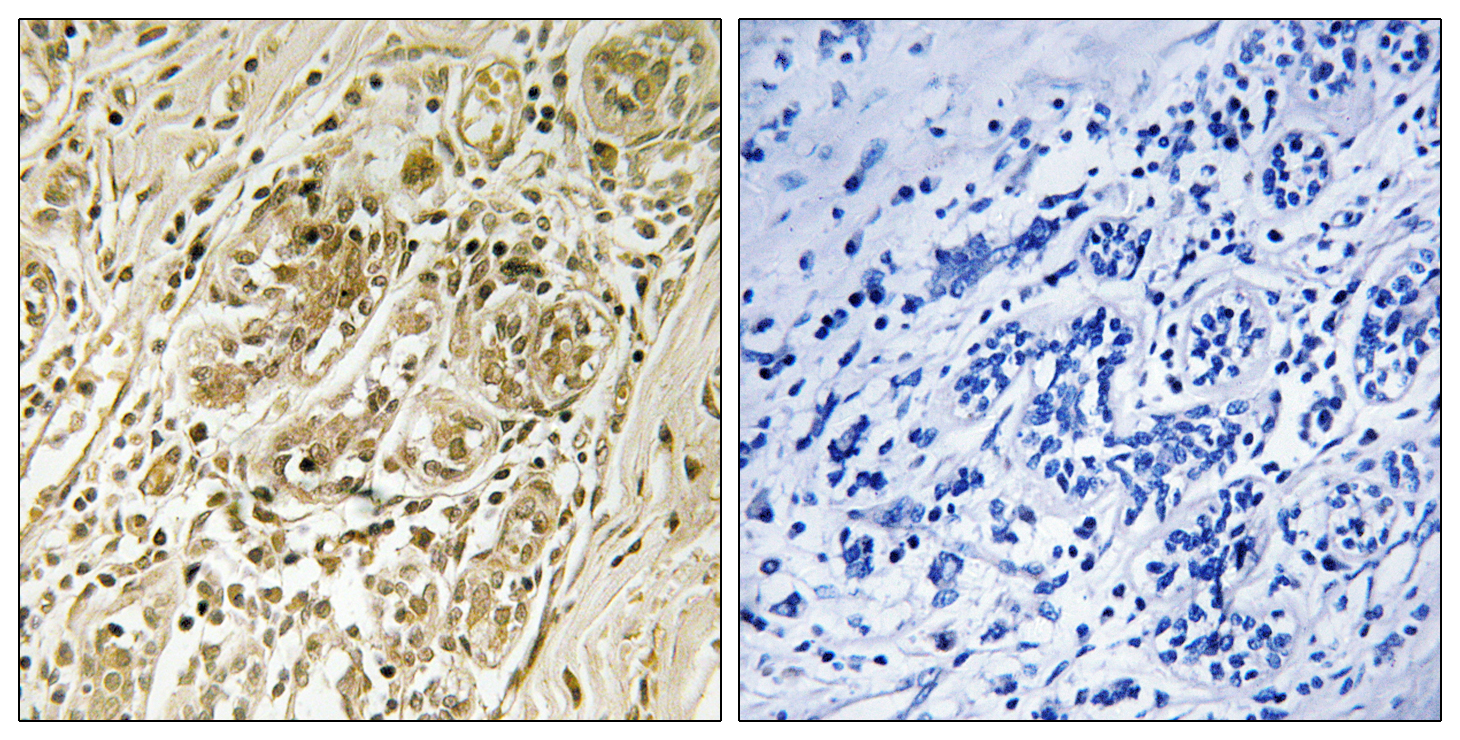
分类: 科研抗体货号: P20284别名: IRS1; Insulin receptor substrate 1; IRS-1应用: WB,IHC反应种属: Human,Mouse,Rat
-
分类: 科研抗体货号: P20299别名: GRIN2A; NMDAR2A; Glutamate [NMDA] receptor subunit epsilon-1; N-methyl D-aspartate receptor subtype 2A; NMDAR2A; NR2A; hNR2A; GRIN2B; NMDAR2B; Glutamate [NMDA] receptor subunit epsilon-2; N-methyl D-aspartate receptor subtype 2B; NMDAR2B; N应用: IHC,IF反应种属: Human,Mouse,Rat
-
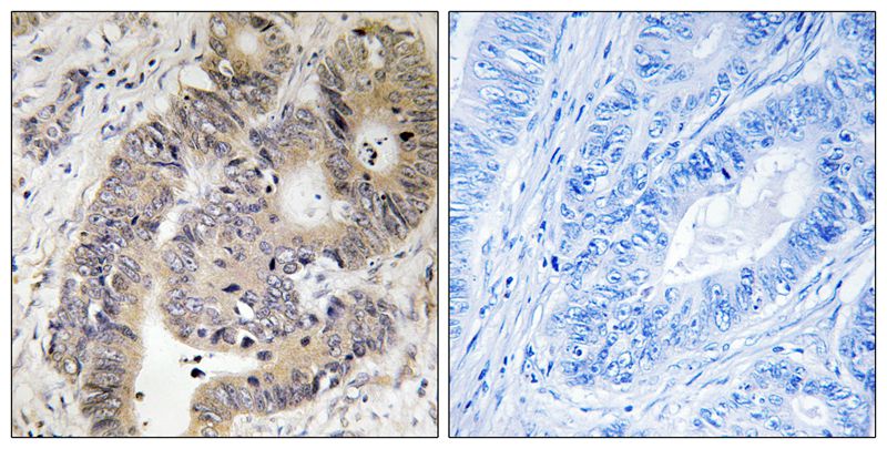
分类: 科研抗体货号: P20283别名: EGFR; ERBB; ERBB1; HER1; Epidermal growth factor receptor; Proto-oncogene c-ErbB-1; Receptor tyrosine-protein kinase erbB-1应用: WB,IHC反应种属: Human,Mouse,Rat
-
分类: 科研抗体货号: P20298别名: Histone H4应用: WB,IHC反应种属: Human,Mouse,Rat
-
分类: 科研抗体货号: P20282别名: NFKB3; RELA; TF65; Transcription factor p65; p65; NFkB应用: WB,IP,IHC,IF反应种属: Human,Mouse,Rat,Monkey
-
分类: 科研抗体货号: P20297别名: KCNQ2; Potassium voltage-gated channel subfamily KQT member 2; KQT-like 2; Neuroblastoma-specific potassium channel subunit alpha KvLQT2; Voltage-gated potassium channel subunit Kv7.2; KCNQ3; Potassium voltage-gated channel subfamily KQT me应用: IHC反应种属: Human,Mouse,Rat
-
分类: 科研抗体货号: P20281别名: JAK3; Tyrosine-protein kinase JAK3; Janus kinase 3; JAK-3; Leukocyte janus kinase; L-JAK应用: WB,IHC反应种属: Human,Mouse,Rat
鄂公网安备42018502007531号

