Rabbit Polyclonal Antibody to Phospho-ErbB 2 (Tyr1221/Tyr1222)
货号:
P20286
别名:
ERBB2; HER2; MLN19; NEU; NGL; Receptor tyrosine-protein kinase erbB-2; Metastatic lymph node gene 19 protein; MLN 19; Proto-oncogene Neu; Proto-oncogene c-ErbB-2; Tyrosine kinase-type cell surface receptor HER2; p185erbB2; CD antigen CD340
应用:
WB,IP,IHC
反应种属:
Human,Mouse,Rat
抗体类型:
Primary antibody
Swissprot:
P04626
规格:
目录价
在线咨询
Description |
|---|
This gene encodes a member of the epidermal growth factor (EGF) receptor family of receptor tyrosine kinases. This protein has no ligand binding domain of its own and therefore cannot bind growth factors. However, it does bind tightly to other ligand-bound EGF receptor family members to form a heterodimer, stabilizing ligand binding and enhancing kinase-mediated activation of downstream signalling pathways, such as those involving mitogen-activated protein kinase and phosphatidylinositol-3 kinase. |
Specification |
|
|---|---|
| Aliases | ERBB2; HER2; MLN19; NEU; NGL; Receptor tyrosine-protein kinase erbB-2; Metastatic lymph node gene 19 protein; MLN 19; Proto-oncogene Neu; Proto-oncogene c-ErbB-2; Tyrosine kinase-type cell surface receptor HER2; p185erbB2; CD antigen CD340 |
| Entrez GeneID | 2064 |
| Swissprot | P04626 |
| WB Predicted band size | Calculated MW: 138 kDa; Observed MW: 180 kDa |
| Host/Isotype | Rabbit IgG |
| Antibody Type | Primary antibody |
| Storage | Store at 4°C short term. Aliquot and store at -20°C long term. Avoid freeze/thaw cycles. |
| Species Reactivity | Human,Mouse,Rat |
| Immunogen | The antiserum was produced against synthesized peptide derived from human HER2 around the phosphorylation site of Tyr1221/Tyr1222. AA range:1191-1240 |
| Formulation | Purified antibody in PBS with 0.05% sodium azide,0.5%BSA and 50% glycerol. |
Application |
|
|---|---|
| WB | 1/500-1/1000 |
| IP | 1/10-1/20 |
| IHC | 1/50-1/100 |
| ELISA | 1/10000 |
Product Image
-
Western blot analysis of Phospho-ErbB 2 (Tyr1221/Tyr1222) in various lysates using Phospho-ErbB 2 (Tyr1221/Tyr1222) antibody.

-
Western blot analysis of Phospho-ErbB 2 (Tyr1221/Tyr1222) in SKOV-3 lysates treated with EGF, using HER2 (Phospho-Tyr1221/Tyr122, 2) antibody. The lane on the right is blocked with the Phospho- peptide.

-
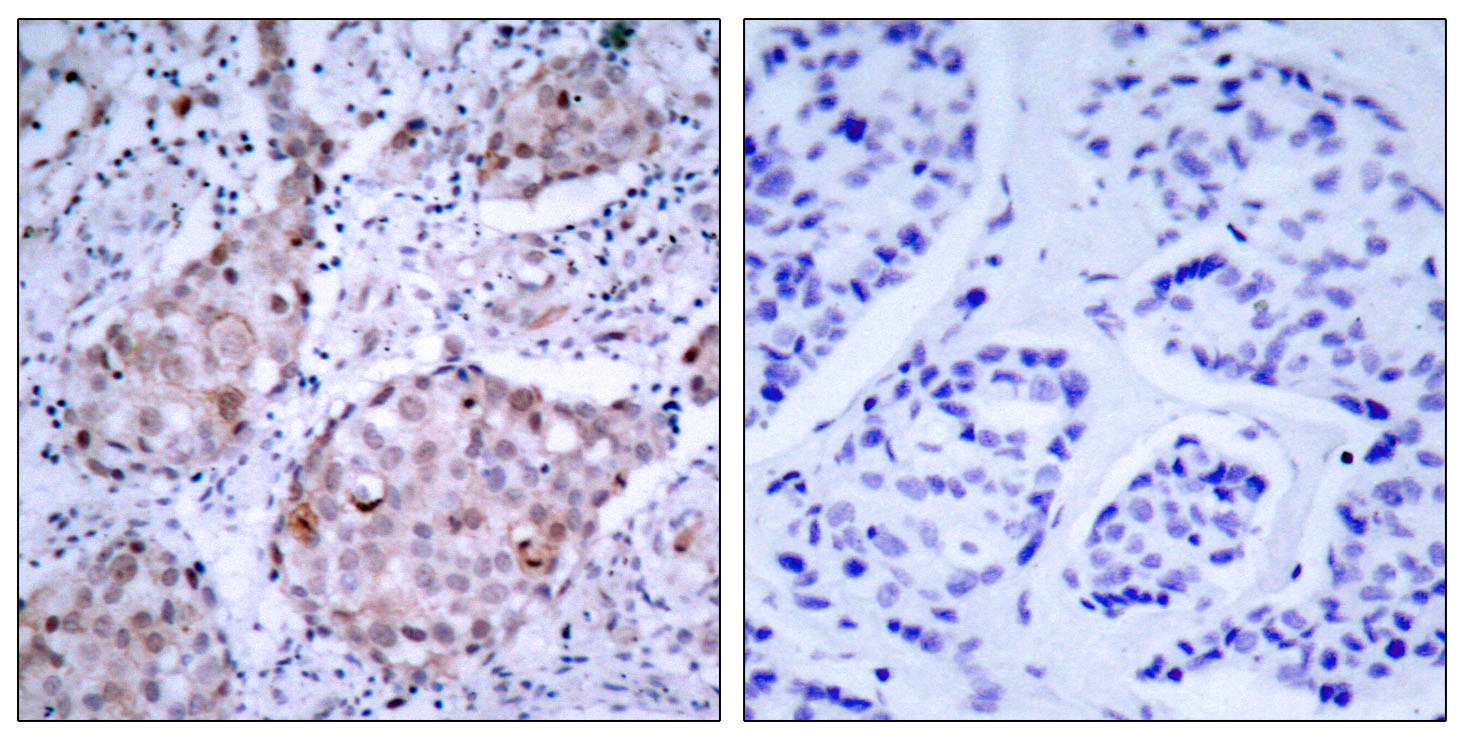
Immunohistochemistry analysis of paraffin-embedded Human breast carcinoma, using HER2 (Phospho-Tyr1221/Tyr122, 2) antibody.High-pressure and temperature Sodium Citrate pH 6.0 was used for antigen retrieval. Sample with blocking peptide on the right.




鄂公网安备42018502007531号

