-
分类: 科研抗体货号: P41363别名: CAP20; CDK-interacting protein 1; CDKN1; CDKN1A; CDN1A应用: WB反应种属: Human
-
分类: 科研抗体货号: P41401别名: Renal carcinoma antigen NY-REN-26应用: WB,IF反应种属: Human,Mouse
-
分类: 科研抗体货号: P41374别名: CDC25M3; MPIP1;应用: WB反应种属: Human,Mouse
-
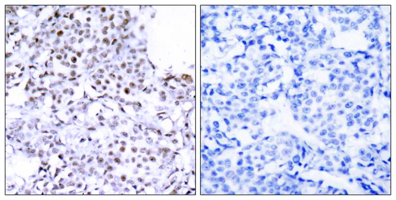
分类: 科研抗体货号: P41362别名: FADK 1; FAK1; PTK2应用: WB,IHC,IF反应种属: Human,Mouse,Rat
-
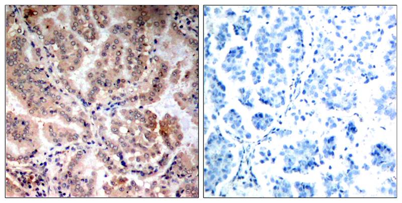
分类: 科研抗体货号: P41400别名: EFNB2; HTKL; LERK5应用: WB,IHC,IF反应种属: Human,Mouse,Rat
-
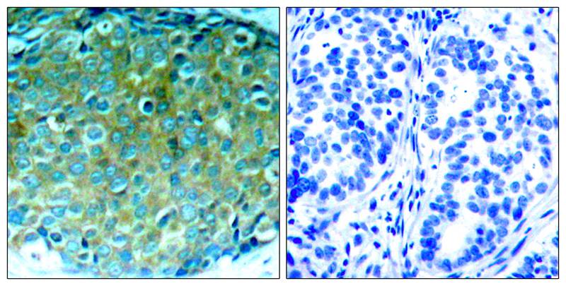
分类: 科研抗体货号: P41373别名: AFX; FOXO4; AFX1; Afxh;应用: WB,IHC反应种属: Human,Mouse,Rat
-
分类: 科研抗体货号: P41361别名: Ataxia telangiectasia mutated homolog; Ataxia telangiectasia mutated; kinase ATM应用: WB,IF反应种属: Human
-
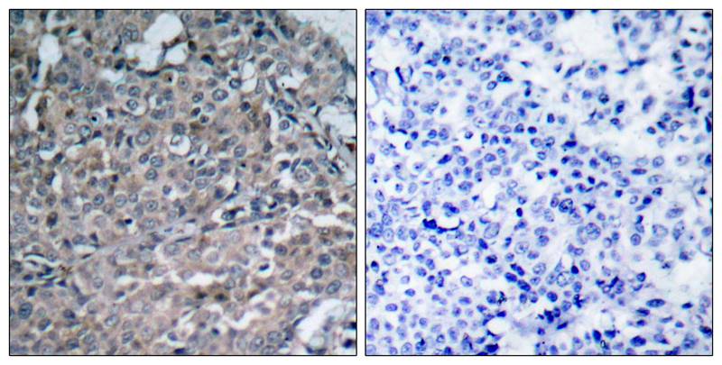
分类: 科研抗体货号: P41397别名: AMPK, AMPKa1应用: WB,IHC,IF反应种属: Human,Mouse,Rat
-
分类: 科研抗体货号: P41371别名: p21-activated kinase 1应用: WB,IHC,IF反应种属: Human,Mouse,Rat
-
分类: 科研抗体货号: P41396别名: SM1A; SMC1A; SMC1L1; SMC1 alpha protein;应用: WB,IHC反应种属: Human
鄂公网安备42018502007531号

