Rabbit Polyclonal Antibody to Ephrin-B2(Ab-330)
货号:
P41400
别名:
EFNB2; HTKL; LERK5
应用:
WB,IHC,IF
反应种属:
Human,Mouse,Rat
抗体类型:
Primary antibody
Swissprot:
P52799
规格:
目录价
在线咨询
Description |
|---|
Ephrin-B2 encodes a member of the ephrin (EPH) family. The ephrins and EPH-related receptors comprise the largest subfamily of receptor protein-tyrosine kinases and have been implicated in mediating developmental events, especially in the nervous system and in erythropoiesis. Based on their structures and sequence relationships, ephrins are divided into the ephrin-A (EFNA) class, which are anchored to the membrane by a lycosylphosphatidylinositol linkage, and the ephrin-B (EFNB) class, which are transmembrane proteins. This gene encodes an EFNB class ephrin which binds to the EPHB4 and EPHA3 receptors. |
References |
|---|
| Chrencik JE,et al.( 2006) J Biol Chem;281(38):28185-28192. Kertesz N, et al. (2006) Blood; 107(6):2330-2338. Noren NK, et al. (2004) Proc Natl Acad Sci USA; 101(15):5583-5588. |
Specification |
|
|---|---|
| Aliases | EFNB2; HTKL; LERK5 |
| Entrez GeneID | 1948; |
| Swissprot | P52799 |
| WB Predicted band size | 37kDa |
| Host/Isotype | Rabbit IgG |
| Antibody Type | Primary antibody |
| Storage | Store at 4°C short term. Aliquot and store at -20°C long term. Avoid freeze/thaw cycles. |
| Species Reactivity | Human,Mouse,Rat |
| Immunogen | Peptide sequence around aa.328~332 (N-I-Y-Y-K) derived from Human Ephrin B (ephrin-B2). |
| Formulation | Purified antibody in PBS with 0.05% sodium azide and 50% glycerol. |
Application |
|
|---|---|
| WB | 1/500-1/1000 |
| IHC | 1/100-1/200 |
| IF | 1/100-1/200 |
Product Image
-
Gel: 8% SDS-PAGELysate: 40 ugLane: A549 cell lysatePrimary antibody: Ephrin-B2(Ab-330) Antibody at dilution 1/800Secondary antibody: HRP-conjugated Goat anti rabbit IgG at 1/5000 dilutionExposure time: 10 seconds

-
All Lanes: Ephrin-B2(Ab-330) Antibody at 1/1000 dilution.

-
Immunofluorescent analysis of formalin-fixed, paraffin-embedded hela cells with 21196-lot 7326 at 1/75 dilution. A Goat Anti-Rabbit IgG H&L (CY3) at 1/50 was used as secondary.

-
Immunofluorescent analysis of formalin-fixed, paraffin-embedded C6 cells with 21196-lot 7326 at 1/75 dilution. A Goat Anti-Rabbit IgG H&L (CY3) at 1/50 was used as secondary.

-
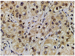
21196-lot 7326 at 1/200 staining human renal clear cell carcinoma tissue sections by IHC-P. The tissue was formaldehyde fixed and a heat mediated antigen retrieval step in citrate buffer was performed. The tissue was then blocked and incubated with the antibody for 1.5 hours at 22°C. An HRP conjugated goat anti-rabbit antibody was used as the secondary.

-
21196-lot 7326 at 1/200 staining human meningeal carcinomatosis(MC) tissue sections by IHC-P. The tissue was formaldehyde fixed and a heat mediated antigen retrieval step in citrate buffer was performed. The tissue was then blocked and incubated with the antibody for 1.5 hours at 22°C. An HRP conjugated goat anti-rabbit antibody was used as the secondary

-
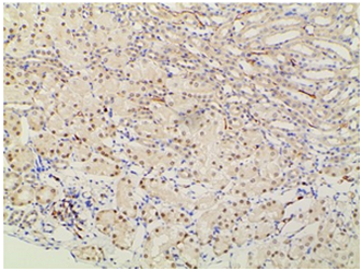
21196-lot 7326 at 1/100 staining mouse kidney tissue sections by IHC-P. The tissue was formaldehyde fixed and a heat mediated antigen retrieval step in citrate buffer was performed. The tissue was then blocked and incubated with the antibody for 1.5 hours at 22°C. An HRP conjugated goat anti-rabbit antibody was used as the secondary

-
21196-lot 7326 at 1/100 staining rat kidney tissue sections by IHC-P. The tissue was formaldehyde fixed and a heat mediated antigen retrieval step in citrate buffer was performed. The tissue was then blocked and incubated with the antibody for 1.5 hours at 22°C. An HRP conjugated goat anti-rabbit antibody was used as the secondary.









鄂公网安备42018502007531号

