-
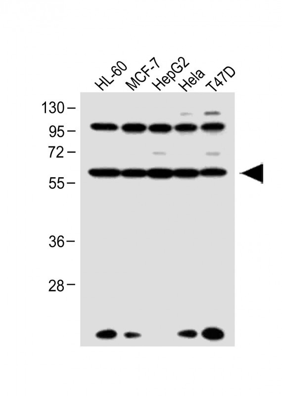
分类: 科研抗体货号: P34659别名: Cytosolic endo-beta-N-acetylglucosaminidase, ENGase, ENGASE应用: WB,IHC,FCM反应种属: Human, Mouse
-
分类: 科研抗体货号: P34658别名: Glycerophosphodiester phosphodiesterase 1, 3.1.4.44, Membrane-interacting protein of RGS16, RGS16-interacting membrane protein, GDE1, MIR16应用: WB反应种属: Human, Mouse
-
分类: 科研抗体货号: P34674别名: Mitogen-activated protein kinase kinase kinase kinase 1, 2.7.11.1, Hematopoietic progenitor kinase, MAPK/ERK kinase kinase kinase 1, MEK kinase kinase 1, MEKKK 1, MAP4K1, HPK1应用: WB反应种属: Human, Mouse
-
分类: 科研抗体货号: P34657别名: Receptor-interacting serine/threonine-protein kinase 3, 2.7.11.1, RIP-like protein kinase 3, Receptor-interacting protein 3, RIP-3, RIPK3, RIP3应用: WB反应种属: Human
-
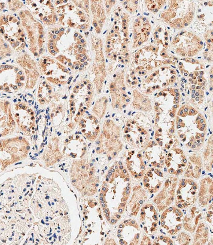
分类: 科研抗体货号: P34662别名: NADPH oxidase 1, NOX-1, 1---, Mitogenic oxidase 1, MOX-1, NADH/NADPH mitogenic oxidase subunit P65-MOX, NOH-1, NOX1, MOX1, NOH1应用: WB,IHC反应种属: Human
-
分类: 科研抗体货号: P34673别名: EH domain-containing protein 2, PAST homolog 2, EHD2, PAST2应用: WB反应种属: Human, Mouse, Rat
-
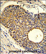
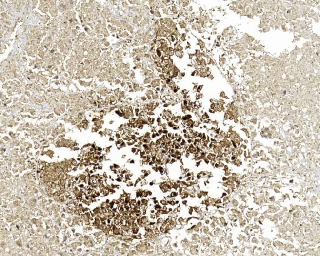
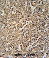
分类: 科研抗体货号: P34656别名: Gamma-enolase, 2-phospho-D-glycerate hydro-lyase, Enolase 2, Neural enolase, Neuron-specific enolase, NSE, ENO2应用: WB,IHC反应种属: Human
-
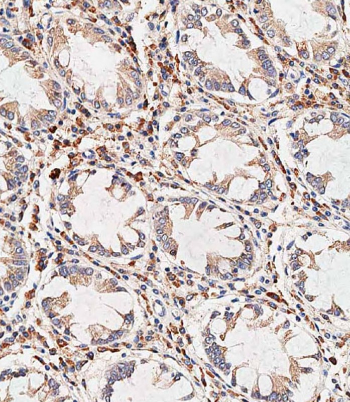
分类: 科研抗体货号: P34661别名: DNA dC->dU-editing enzyme APOBEC-3A, A3A, 354-, Phorbolin-1, APOBEC3A应用: WB,IHC反应种属: Human
-
分类: 科研抗体货号: P34672别名: Phospholipase D2, PLD 2, hPLD2, Choline phosphatase 2, PLD1C, Phosphatidylcholine-hydrolyzing phospholipase D2, PLD2应用: WB反应种属: Human, Mouse, Rat
-
分类: 科研抗体货号: P34655别名: Retinoic acid receptor alpha, RAR-alpha, Nuclear receptor subfamily 1 group B member 1, RARA, NR1B1应用: WB,IHC,IF反应种属: Human, Mouse
鄂公网安备42018502007531号

