Rabbit Polyclonal Antibody to RARA
货号:
P34655
别名:
Retinoic acid receptor alpha, RAR-alpha, Nuclear receptor subfamily 1 group B member 1, RARA, NR1B1
应用:
WB,IHC,IF
反应种属:
Human, Mouse
抗体类型:
Primary antibody
Swissprot:
P10276
规格:
目录价
在线咨询
Description |
|---|
This gene represents a nuclear retinoic acid receptor. The encoded protein, retinoic acid receptor alpha, regulates transcription in a ligand-dependent manner. This gene has been implicated in regulation of development, differentiation, apoptosis, granulopoeisis, and transcription of clock genes. Translocations between this locus and several other loci have been associated with acute promyelocytic leukemia. Alternatively spliced transcript variants have been found for this locus. |
Specification |
|
|---|---|
| Aliases | Retinoic acid receptor alpha, RAR-alpha, Nuclear receptor subfamily 1 group B member 1, RARA, NR1B1 |
| Entrez GeneID | 5914 |
| Swissprot | P10276 |
| WB Predicted band size | 50.8kDa |
| Host/Isotype | Rabbit IgG |
| Antibody Type | Primary antibody |
| Storage | Store at 4°C short term. Aliquot and store at -20°C long term. Avoid freeze/thaw cycles. |
| Species Reactivity | Human, Mouse |
| Immunogen | This RARA antibody is generated from rabbits immunized with a KLH conjugated synthetic peptide between 322-349 amino acids from the C-terminal region of human RARA. |
| Formulation | Purified antibody in PBS with 0.05% sodium azide. |
Application |
|
|---|---|
| WB | 1/1000 |
| IHC | 1/100-1/500 |
| IF | 1/10-1/50 |
Product Image
-
All lanes : Anti-RARA Antibody (C-term) at 1:1000 dilution Lane 1: HL-60 whole cell lysate Lane 2: MCF-7 whole cell lysate Lane 3: HepG2 whole cell lysate Lane 4: Hela whole cell lysate Lane 5: T47D whole cell lysate Lysates/proteins at 20 µg per lane. Secondary Goat Anti-Rabbit IgG, (H+L), Peroxidase conjugated at 1/10000 dilution. Predicted band size : 51 kDa Blocking/Dilution buffer: 5% NFDM/TBST.

-
All lanes : Anti-RARA Antibody (C-term) at 1:1000 dilution Lane 1: HL-60 whole cell lysate Lane 2: MCF-7 whole cell lysate Lane 3: HepG2 whole cell lysate Lane 4: Hela whole cell lysate Lane 5: T47D whole cell lysate Lysates/proteins at 20 µg per lane. Secondary Goat Anti-Rabbit IgG, (H+L), Peroxidase conjugated at 1/10000 dilution. Predicted band size : 51 kDa Blocking/Dilution buffer: 5% NFDM/TBST.

-
RARA Antibody (C-term) (Cat. #P34655) western blot analysis in HL-60 cell line and mouse testis tissue lysates (35ug/lane).This demonstrates the RARA antibody detected the RARA protein (arrow).

-
Confocal immunofluorescent analysis of RARA Antibody (C-term) (Cat#P34655) with MCF-7 cell followed by Alexa Fluor® 488-conjugated goat anti-rabbit lgG (green). DAPI was used to stain the cell nuclear (blue).

-
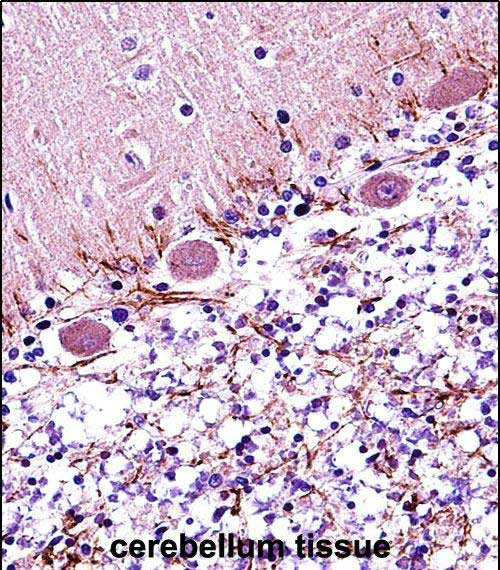
RARA Antibody (C-term) (Cat. #P34655)immunohistochemistry analysis in formalin fixed and paraffin embedded human cerebellum tissue followed by peroxidase conjugation of the secondary antibody and DAB staining.This data demonstrates the use of RARA Antibody (C-term) for immunohistochemistry. Clinical relevance has not been evaluated.






鄂公网安备42018502007531号

