-
分类: 科研抗体货号: P34042别名: Replication factor C subunit 2, Activator 1 40 kDa subunit, A1 40 kDa subunit, Activator 1 subunit 2, Replication factor C 40 kDa subunit, RF-C 40 kDa subunit, RFC40, RFC2应用: WB,IHC,FCM反应种属: Human
-
分类: 科研抗体货号: P34026别名: Transcription factor ETV7, ETS translocation variant 7, ETS-related protein Tel2, Tel-related Ets factor, Transcription factor Tel-2, ETV7, TEL2, TELB, TREF应用: WB反应种属: Human
-
分类: 科研抗体货号: P34058别名: Peroxisomal acyl-coenzyme A oxidase 1, AOX, Palmitoyl-CoA oxidase, Straight-chain acyl-CoA oxidase, SCOX, ACOX1, ACOX应用: WB,IHC,IF反应种属: Human
-
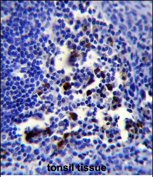
分类: 科研抗体货号: P34050别名: POU domain class 2-associating factor 1, B-cell-specific coactivator OBF-1, BOB-1, OCA-B, OCT-binding factor 1, POU2AF1, OBF1应用: WB,IHC,FCM反应种属: Human, Mouse
-
分类: 科研抗体货号: P34041别名: Nuclear receptor subfamily 0 group B member 1, DSS-AHC critical region on the X chromosome protein 1, Nuclear receptor DAX-1, NR0B1, AHC, DAX1应用: WB反应种属: Human
-
分类: 科研抗体货号: P34057别名: Serine/threonine-protein kinase B-raf, Proto-oncogene B-Raf, p94, v-Raf murine sarcoma viral oncogene homolog B1, BRAF, BRAF1, RAFB1应用: WB,IF反应种属: Human
-
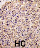
分类: 科研抗体货号: P34040别名: Geranylgeranyl pyrophosphate synthase, GGPP synthase, GGPPSase, 251-, (2E,6E)-farnesyl diphosphate synthase, Dimethylallyltranstransferase, Farnesyl diphosphate synthase, Farnesyltranstransferase, Geranylgeranyl diphosphate synthase, Geranyltranstransfera应用: WB,IHC反应种属: Human
-
分类: 科研抗体货号: P34054别名: NADH dehydrogenase [ubiquinone] 1 alpha subcomplex assembly factor 3, ndufaf3应用: WB反应种属: zebrafish
-
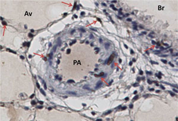
分类: 科研抗体货号: P34049别名: Tyrosine-protein kinase Fgr, Gardner-Rasheed feline sarcoma viral (v-fgr) oncogene homolog, Proto-oncogene c-Fgr, p55-Fgr, p58-Fgr, p58c-Fgr, FGR, SRC2应用: WB,IHC,FCM反应种属: Human
-
分类: 科研抗体货号: P34039别名: Ecto-ADP-ribosyltransferase 3, ADP-ribosyltransferase C2 and C3 toxin-like 3, ARTC3, Mono(ADP-ribosyl)transferase 3, NAD(P)(+)--arginine ADP-ribosyltransferase 3, ART3, TMART应用: WB反应种属: Human
鄂公网安备42018502007531号

