Rabbit Polyclonal Antibody to FGR (N-term)
货号:
P34049
别名:
Tyrosine-protein kinase Fgr, Gardner-Rasheed feline sarcoma viral (v-fgr) oncogene homolog, Proto-oncogene c-Fgr, p55-Fgr, p58-Fgr, p58c-Fgr, FGR, SRC2
应用:
WB,IHC,FCM
反应种属:
Human
抗体类型:
Primary antibody
Swissprot:
P09769
规格:
目录价
在线咨询
Description |
|---|
FGR is a member of the Src family of protein tyrosine kinases (PTKs). This protein contains N-terminal sites for myristylation and palmitylation, a PTK domain, and SH2 and SH3 domains which are involved in mediating protein-protein interactions with phosphotyrosine-containing and proline-rich motifs, respectively. It localizes to plasma membrane ruffles, and functions as a negative regulator of cell migration and adhesion triggered by the beta-2 integrin signal transduction pathway. Infection with Epstein-Barr virus results in the overexpression of this protein. |
Specification |
|
|---|---|
| Aliases | Tyrosine-protein kinase Fgr, Gardner-Rasheed feline sarcoma viral (v-fgr) oncogene homolog, Proto-oncogene c-Fgr, p55-Fgr, p58-Fgr, p58c-Fgr, FGR, SRC2 |
| Entrez GeneID | 2268 |
| Swissprot | P09769 |
| WB Predicted band size | 59.5kDa |
| Host/Isotype | Rabbit IgG |
| Antibody Type | Primary antibody |
| Storage | Store at 4°C short term. Aliquot and store at -20°C long term. Avoid freeze/thaw cycles. |
| Species Reactivity | Human |
| Immunogen | This FGR antibody is generated from rabbits immunized with a KLH conjugated synthetic peptide between 3-33 amino acids from the N-terminal region of human FGR. |
| Formulation | Purified antibody in PBS with 0.05% sodium azide,1%BSA and 50% glycerol.prepared by Saturated Ammonium Sulfate (SAS) . |
Application |
|
|---|---|
| WB | 1/1000-1/2000 |
| IHC | 1/100-1/500 |
| FCM | 1/10-1/50 |
Product Image
-
Anti-FGR Antibody (N-term) at 1:2000 dilution + Raji whole cell lysate Lysates/proteins at 20 µg per lane. Secondary Goat Anti-Rabbit IgG, (H+L), Peroxidase conjugated at 1/10000 dilution. Predicted band size : 59 kDa Blocking/Dilution buffer: 5% NFDM/TBST.

-
Anti-FGR Antibody (N-term) at 1:1000 dilution + Raji whole cell lysate Lysates/proteins at 20 µg per lane. Secondary Goat Anti-Rabbit IgG, (H+L), Peroxidase conjugated at 1/10000 dilution. Predicted band size : 59 kDa Blocking/Dilution buffer: 5% NFDM/TBST.

-
Western blot analysis of FGR (arrow) using FGR Antibody (N-term) (Cat.#P34049). 293 cell lysates (2 ug/lane) either nontransfected (Lane 1) or transiently transfected with the FGR gene (Lane 2) (Origene Technologies).

-
Confocal immunofluorescent analysis of FGR Antibody (N-term)(Cat#P34049) with MDA-MB231 cell followed by Alexa Fluor 488-conjugated goat anti-rabbit lgG (green).DAPI was used to stain the cell nuclear (blue).

-
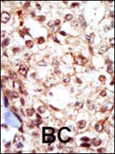
Formalin-fixed and paraffin-embedded human cancer tissue reacted with the primary antibody, which was peroxidase-conjugated to the secondary antibody, followed by AEC staining. This data demonstrates the use of this antibody for immunohistochemistry; clinical relevance has not been evaluated. BC = breast carcinoma; HC = hepatocarcinoma.






鄂公网安备42018502007531号

