-
分类: 科研抗体货号: P33586别名: Fizzy-related protein homolog, Fzr, CDC20-like protein 1, Cdh1/Hct1 homolog, hCDH1, FZR1, CDH1, FYR, FZR, KIAA1242应用: WB反应种属: Human, Mouse
-
分类: 科研抗体货号: P33610别名: C-type lectin domain family 18 member A, Mannose receptor-like protein 2, CLEC18A, MRLP2应用: WB,IHC反应种属: Human
-
分类: 科研抗体货号: P33599别名: DNA-binding protein inhibitor ID-1, Class B basic helix-loop-helix protein 24, bHLHb24, Inhibitor of DNA binding 1, Inhibitor of differentiation 1, ID1, BHLHB24, ID应用: WB,FCM反应种属: Human, Mouse, Rat
-
分类: 科研抗体货号: P33608别名: Myogenin, Class C basic helix-loop-helix protein 3, bHLHc3, Myogenic factor 4, Myf-4, MYOG, BHLHC3, MYF4应用: WB反应种属: Human, Mouse
-
分类: 科研抗体货号: P33614别名: Transcription factor E2-alpha, Class B basic helix-loop-helix protein 21, bHLHb21, Immunoglobulin enhancer-binding factor E12/E47, Immunoglobulin transcription factor 1, Kappa-E2-binding factor, Transcription factor 3, TCF-3, Transcription factor ITF-1, T应用: WB,IHC,FCM反应种属: Human, Mouse, Rat
-
分类: 科研抗体货号: P33598别名: Coagulation factor XI, FXI, Plasma thromboplastin antecedent, PTA, Coagulation factor XIa heavy chain, Coagulation factor XIa light chain, F11应用: WB,IHC反应种属: Human
-
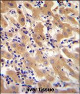
分类: 科研抗体货号: P33607别名: Pyruvate carboxylase, mitochondrial, Pyruvic carboxylase, PCB, PC应用: WB,IHC反应种属: Human, Mouse
-
分类: 科研抗体货号: P33613别名: Complement component C9, Complement component C9a, Complement component C9b, C9应用: WB,IHC反应种属: Human
-
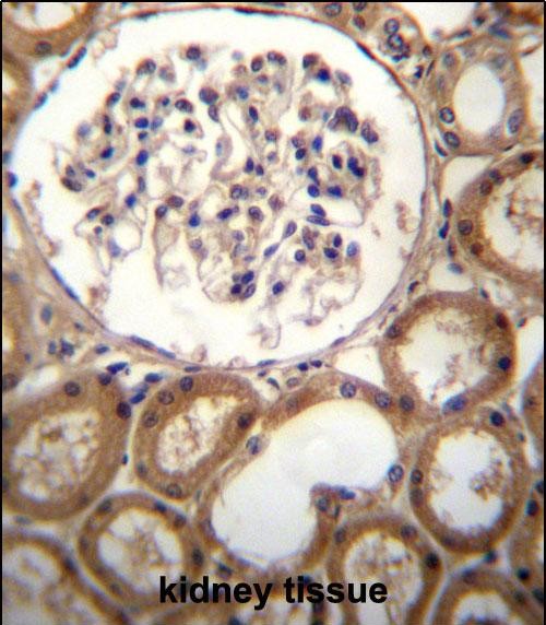
分类: 科研抗体货号: P33622别名: Podocalyxin, GCTM-2 antigen, Gp200, Podocalyxin-like protein 1, PC, PCLP-1, PODXL, PCLP, PCLP1应用: WB反应种属: Human
-
分类: 科研抗体货号: P33606别名: Gamma-aminobutyric acid receptor subunit rho-3, GABA(A) receptor subunit rho-3, GABA(C) receptor, GABRR3应用: WB反应种属: Human
鄂公网安备42018502007531号

