Rabbit Polyclonal Antibody to TCF3
货号:
P33614
别名:
Transcription factor E2-alpha, Class B basic helix-loop-helix protein 21, bHLHb21, Immunoglobulin enhancer-binding factor E12/E47, Immunoglobulin transcription factor 1, Kappa-E2-binding factor, Transcription factor 3, TCF-3, Transcription factor ITF-1, T
应用:
WB,IHC,FCM
反应种属:
Human, Mouse, Rat
抗体类型:
Primary antibody
Swissprot:
P15923
规格:
目录价
在线咨询
Description |
|---|
The TCF3 gene, also called E2A, encodes 2 basic helix-loop-helix (bHLH) transcription factors, E12 and E47, through alternative splicing. E12 and E47 are involved in regulation of immunoglobulin gene [removed]Bain et al., 1994 [PubMed 8001125]). |
Specification |
|
|---|---|
| Aliases | Transcription factor E2-alpha, Class B basic helix-loop-helix protein 21, bHLHb21, Immunoglobulin enhancer-binding factor E12/E47, Immunoglobulin transcription factor 1, Kappa-E2-binding factor, Transcription factor 3, TCF-3, Transcription factor ITF-1, TCF3, BHLHB21, E2A, ITF1 |
| Entrez GeneID | 6929 |
| Swissprot | P15923 |
| WB Predicted band size | 67.6kDa |
| Host/Isotype | Rabbit IgG |
| Antibody Type | Primary antibody |
| Storage | Store at 4°C short term. Aliquot and store at -20°C long term. Avoid freeze/thaw cycles. |
| Species Reactivity | Human, Mouse, Rat |
| Immunogen | This TCF3 antibody is generated from rabbits immunized with a KLH conjugated synthetic peptide between 506-534 amino acids from the C-terminal region of human TCF3. |
| Formulation | Purified antibody in PBS with 0.05% sodium azide. |
Application |
|
|---|---|
| WB | 1/1000 |
| IHC | 1/100-1/500 |
| FCM | 1/10-1/50 |
Product Image
-
All lanes : Anti-TCF3 Antibody (C-term) at 1:1000 dilution Lane 1: Jurkat whole cell lysate Lane 2: Ramos whole cell lysate Lysates/proteins at 20 µg per lane. Secondary Goat Anti-Rabbit IgG, (H+L), Peroxidase conjugated at 1/10000 dilution. Predicted band size : 68 kDa Blocking/Dilution buffer: 5% NFDM/TBST.

-
TCF3 Antibody (C-term) (Cat. #P33614) western blot analysis in human uterine tumor tissue lysates (35ug/lane).This demonstrates the TCF3 antibody detected the TCF3 protein (arrow).

-
TCF3 Antibody (C-term) (Cat. #P33614) western blot analysis in mouse cerebellum tissue lysates (35ug/lane).This demonstrates the TCF3 antibody detected the TCF3 protein (arrow).

-
TCF3 Antibody (C-term) (Cat. #P33614) flow cytometric analysis of A549 cells (right histogram) compared to a negative control cell (left histogram).FITC-conjugated goat-anti-rabbit secondary antibodies were used for the analysis.

-
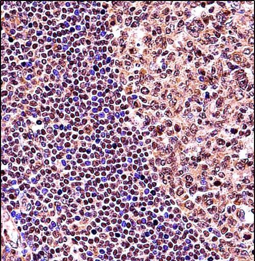
TCF3 Antibody (C-term) (Cat. #P33614)immunohistochemistry analysis in formalin fixed and paraffin embedded human tonsil tissue followed by peroxidase conjugation of the secondary antibody and DAB staining.This data demonstrates the use of TCF3 Antibody (C-term) for immunohistochemistry. Clinical relevance has not been evaluated.






鄂公网安备42018502007531号

