-
分类: 科研抗体货号: P21385别名: Fc-gamma RI; FcRI; Fc-gamma RIA; FcgammaRIa; CD64应用: WB,IP,IF反应种属: Human
-
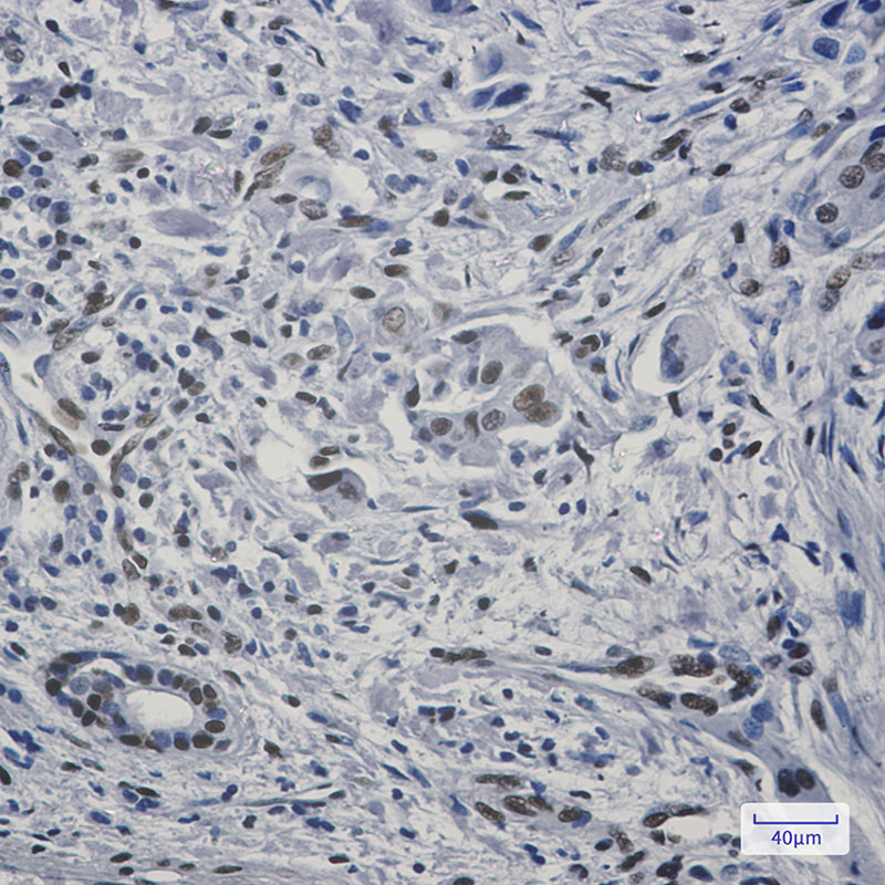
分类: 科研抗体货号: P21366别名: protein disulfide isomerase family A member 4; ERP70; ERP72; ERp-72应用: WB,IHC反应种属: Human
-
分类: 科研抗体货号: P21384别名: FBL7; CXXC8; FBL11; FBXL11; JHDM1A; LILINA应用: WB,IP,IHC,IF反应种属: Human
-
分类: 科研抗体货号: P21364别名: ERCC1; DNA excision repair protein ERCC-1应用: WB,IF反应种属: Human,Mouse
-
分类: 科研抗体货号: P21381别名: Fanconi anemia complementation group B; FA2; FAB; FACB; FAAP90; FAAP95应用: WB反应种属: Human,Mouse
-
分类: 科研抗体货号: P21363别名: Epsin 1应用: WB反应种属: Human,Mouse,Rat
-
分类: 科研抗体货号: P21380别名: Protein FAM98B应用: WB,IHC,IF反应种属: Human
-
分类: 科研抗体货号: P21362别名: EPS15R应用: WB,IP反应种属: Human
-
分类: 科研抗体货号: P21379别名: family with sequence similarity 50 member A; 9F; XAP5; HXC26; HXC-26; DXS9928E应用: WB,IP,IHC,IF反应种属: Human,Mouse,Rat,Hamster
-
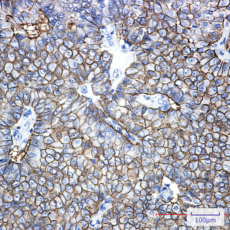
分类: 科研抗体货号: P21360别名: EPCAM; GA733-2; M1S2; M4S1; MIC18; TACSTD1; TROP1; Epithelial cell adhesion molecule; Ep-CAM; Adenocarcinoma-associated antigen; Cell surface glycoprotein Trop-1; Epithelial cell surface antigen; Epithelial glycoprotein; EGP; Epithelial glycoprotein 314;应用: WB,IP,IHC,IF反应种属: Human,Mouse,Rat
鄂公网安备42018502007531号

