Rabbit Monoclonal Antibody to FAM50A
货号:
P21379
别名:
family with sequence similarity 50 member A; 9F; XAP5; HXC26; HXC-26; DXS9928E
应用:
WB,IP,IHC,IF
反应种属:
Human,Mouse,Rat,Hamster
抗体类型:
Primary antibody
Swissprot:
Q14320
规格:
目录价
在线咨询
Description |
|---|
May be a DNA-binding protein or transcriptional factor. |
Specification |
|
|---|---|
| Aliases | family with sequence similarity 50 member A; 9F; XAP5; HXC26; HXC-26; DXS9928E |
| Entrez GeneID | 9130 |
| Swissprot | Q14320 |
| WB Predicted band size | Calculated MW: 40 kDa; Observed MW: 40 kDa |
| Host/Isotype | Rabbit IgG |
| Antibody Type | Primary antibody |
| Storage | Store at 4°C short term. Aliquot and store at -20°C long term. Avoid freeze/thaw cycles. |
| Species Reactivity | Human,Mouse,Rat,Hamster |
| Immunogen | A synthetic peptide of human FAM50A |
| Formulation | Purified antibody in TBS with 0.05% sodium azide,0.05%BSA and 50% glycerol. |
Application |
|
|---|---|
| WB | 1/500-1/1000 |
| IP | 1/10-1/20 |
| IHC | 1/50-1/100 |
| IF | 1/50-1/200 |
Product Image
-
Western blot analysis of FAM50A/XAP in Hela, CHO-K1, C6, Jurkat lysates using FAM50A antibody.

-
Western blot analysis of FAM50A/XAP in Smooth Muscle, HCT116, Hela lysates using FAM50A/XAP antibody.

-
Immunocytochemistry analysis of FAM50A (green) in hela using FAM50A antibody,and DAPI(blue).

-
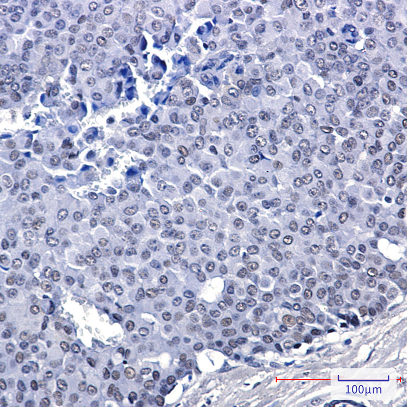
Immunohistochemistry analysis of paraffin-embedded Human breast cancer using FAM50A antibody. High-pressure and temperature Sodium Citrate pH 6.0 was used for antigen retrieval.





鄂公网安备42018502007531号

