-
分类: 科研抗体货号: P17500别名: Ago 2; Argonaute 2; dAgo2; eIF2C 2; hAgo2; PPD; ;Argonaute 2应用: WB,IHC/IHF,IF,IP,FCM反应种属: Human,Mouse,Rat
-
分类: 科研抗体货号: P17498别名: Protein S100-E; Protein S100P; S100 calcium binding protein P; S100E;;S100P应用: WB,IHC/IHF,IF,IP反应种属: Human
-
分类: 科研抗体货号: P17516别名: c14_5527; h Numb; Numb; Numb homolog; S171; ;NUMB应用: WB反应种属: Human,Mouse,Rat
-
分类: 科研抗体货号: P17497别名: 3H3M; HMDH; HMG CoA reductase; HMG CoAR;;HMGCR应用: WB;IP反应种属: Human,Mouse,Rat
-
分类: 科研抗体货号: P17534别名: LCN2; 24p3; MSFI; NGAL; Lipocalin-2; p25; Siderocalin; SV40 induced 24P3 protein; Uterocalin;;NGAL应用: WB,IHC/IHF,IF,反应种属: Human
-
分类: 科研抗体货号: P17515别名: HLA G antigen; MHC class I antigen G; HLA-G; HLA60; HLAG;;HLA G应用: WB反应种属: Human
-
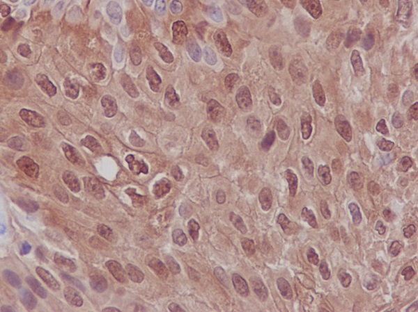
分类: 科研抗体货号: P17495别名: CMT2A2; CMT2A; CPRP1; MFN2; Hyperplasia suppressor; MARF; Mitofusin 2; HSG; Mitofusin-2;;Mitofusin 2应用: WB,IHC/IHF,IF,反应种属: Human,Mouse,Rat
-
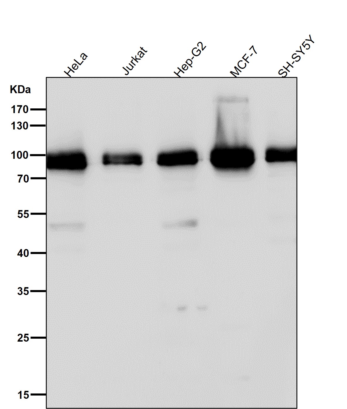
分类: 科研抗体货号: P17533别名: Ctcf; CTCFL paralog; MRD21;;CTCF应用: WB,IHC/IHF,IF,FCM反应种属: Human,Mouse,Rat
-
分类: 科研抗体货号: P17514别名: BMD; CMD3B; DMD; Dystrophin;;Dystrophin应用: WB反应种属: Human,Mouse,Rat
-
分类: 科研抗体货号: P17494别名: CRSBP 1; CRSBP-1; CRSBP1; hyaluronic acid receptor;;LYVE1应用: WB反应种属: Human,Mouse,Rat
鄂公网安备42018502007531号

