Rabbit Monoclonal to Mitofusin 2
货号:
P17495
别名:
CMT2A2; CMT2A; CPRP1; MFN2; Hyperplasia suppressor; MARF; Mitofusin 2; HSG; Mitofusin-2;;Mitofusin 2
应用:
WB,IHC/IHF,IF,
反应种属:
Human,Mouse,Rat
抗体类型:
Primary antibody
Swissprot:
O95140
规格:
目录价
在线咨询
Description |
|---|
Mitochondrial outer membrane GTPase that mediates mitochondrial clustering and fusion. |
Specification |
|
|---|---|
| Aliases | CMT2A2; CMT2A; CPRP1; MFN2; Hyperplasia suppressor; MARF; Mitofusin 2; HSG; Mitofusin-2;;Mitofusin 2 |
| Swissprot | O95140 |
| WB Predicted band size | Calculated MW: 86 kDa ; Observed MW: 80 kDa |
| Host/Isotype | Rabbit IgG |
| Antibody Type | Primary antibody |
| Storage | Store at 4°C short term. Aliquot and store at -20°C long term. Avoid freeze/thaw cycles. |
| Species Reactivity | Human,Mouse,Rat |
| Immunogen | A synthesized peptide derived from human Mitofusin 2 |
| Formulation | Purified antibody in PBS with 0.05% sodium azide,0.05% BSA and 50% glycerol. |
Application |
|
|---|---|
| WB | 1/1000-1/2000 |
| IHC | IHC:1/100-1/200;IHF:1/50-1/200 |
| IF | 1/50-1/200 |
Product Image
-
All lanes use the Antibody at 1:1K dilution for 1 hour at room temperature.

-
All lanes use the Antibody at 1:1K dilution for 1 hour at room temperature.

-
Western blot analysis of Mitofusin 2 expression in (1) HeLa cell lysate; (2) Mouse kidney lysate.

-
Immunofluorescent analysis using the Antibody at 1:50 dilution.

-
Immunofluorescent analysis of Hela cells, using Mitofusin 2 Antibody.

-
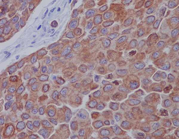
Immunohistochemical analysis of paraffin-embedded human breast carcinoma, using Mitofusin 2 Antibody.







鄂公网安备42018502007531号

