-
分类: 科研抗体货号: P17468别名: FUS; ALS6; CHOP; FUS-CHOP; FUS1; Fused in sarcoma; HnRNPP2; Oncogene TLS; ETM4; Fus-like protein; Oncogene FUS; POMP75;;FUS应用: WB,IHC/IHF,IF,FCM反应种属: Human,Mouse,Rat
-
分类: 科研抗体货号: P17431别名: CDC42EP1; CEP1; MSE55; BORG5;;CDC42EP1应用: WB反应种属: Human
-
分类: 科研抗体货号: P17446别名: SUMO2; HSMT3; SMT3 homolog 2; SMT3A; Sentrin 2; Smt3B; SMT3H2; SUMO-2; SUMO-3; Sentrin-2; Ubiquitin-like protein SMT3A; Ubiquitin-like protein SMT3B;;Sumo 2/3应用: WB,IHC/IHF,IF,反应种属: Human,Mouse,Rat
-
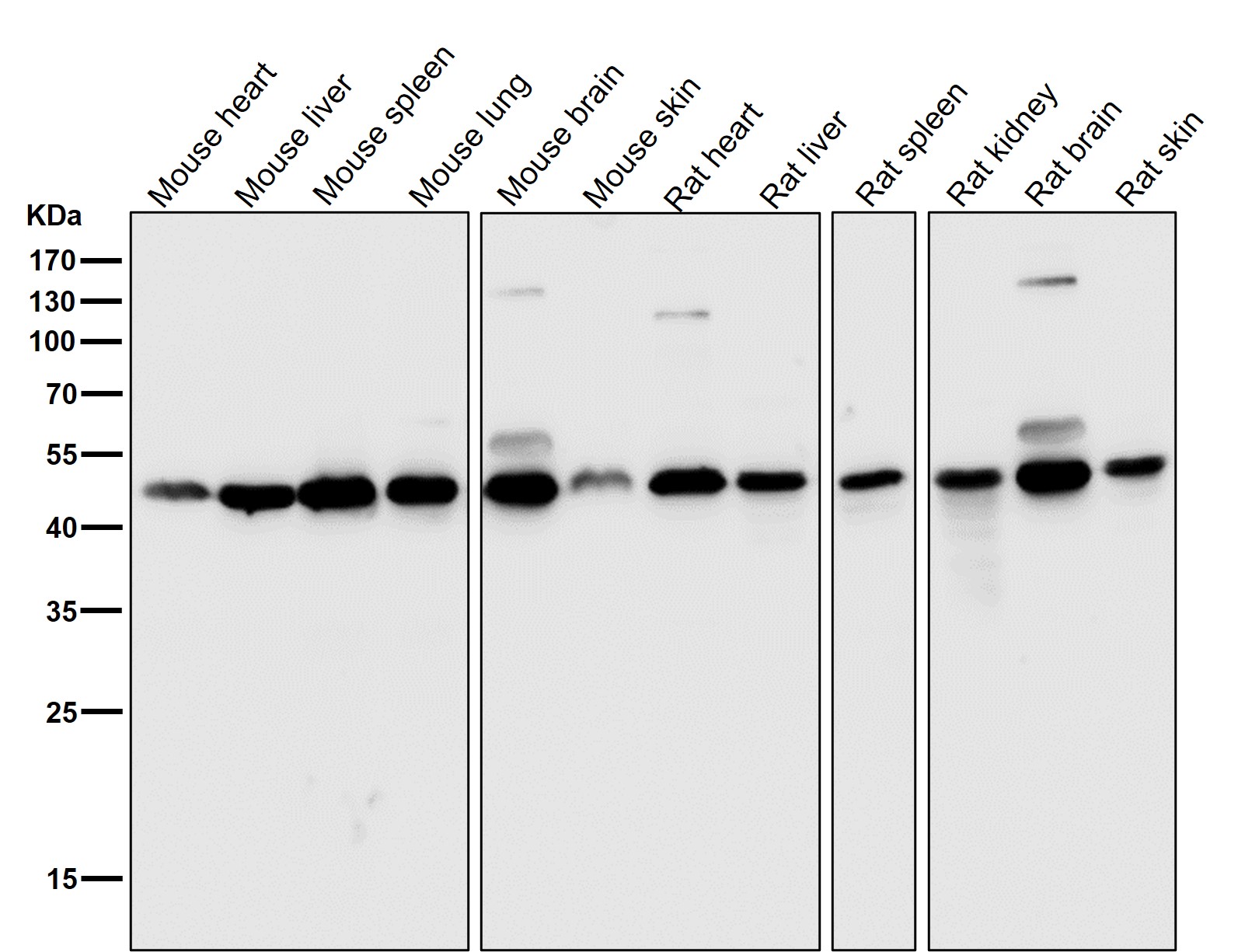
分类: 科研抗体货号: P17467别名: HVH1; MKP1; CL100; MKP-1; PTPN10; DUSP1;;DUSP1应用: WB,IHC/IHF,IF,IP,FCM反应种属: Human,Mouse,Rat
-
分类: 科研抗体货号: P17430别名: CMT2L; CRYAC; DHMN2; E2IG1; H11; HMN2; HSPB8; HSP22;;HspB8应用: WB,IHC/IHF,IF,反应种属: Human,Mouse,Rat
-
分类: 科研抗体货号: P17444别名: CDC42; CDC42Hs; G25K; TKS; MIG5; Ras like protein TC25;;p-Cdc42/Rac1 (S71)应用: WB反应种属: Human
-
分类: 科研抗体货号: P17466别名: Histone H3.1, Histone H3, HIST1H3A;;Histone H3应用: WB,IHC/IHF,IF,FCM反应种属: Human,Mouse,Rat
-
分类: 科研抗体货号: P17429别名: CDC27Hs; Cell division cycle protein 27 homolog; HNUC; APC3; ANAPC3;;CDC27应用: WB反应种属: Human,Mouse,Rat
-
分类: 科研抗体货号: P17464别名: GRM1A; mGlu1; GPRC1A; MGLUR1; SCAR13; MGLUR1A;;mGluR1应用: WB反应种属: Human,Mouse,Rat
-
分类: 科研抗体货号: P17461别名: Stromal cell-derived factor 1; SDF-1; hSDF-1; IRH; hIRH; PBSF; CXCL12; SDF1; SDF1A; SDF1B;;SDF1应用: WB,IF反应种属: Human
鄂公网安备42018502007531号

