Rabbit Monoclonal to HistoneH3
货号:
P17466
别名:
Histone H3.1, Histone H3, HIST1H3A;;Histone H3
应用:
WB,IHC/IHF,IF,FCM
反应种属:
Human,Mouse,Rat
抗体类型:
Primary antibody
Swissprot:
P68431
规格:
目录价
在线咨询
Description |
|---|
Core component of nucleosome. Nucleosomes wrap and compact DNA into chromatin, limiting DNA accessibility to the cellular machineries which require DNA as a template. Histones thereby play a central role in transcription regulation, DNA repair, DNA replication and chromosomal stability. DNA accessibility is regulated via a complex set of post-translational modifications of histones, also called histone code, and nucleosome remodeling. |
Specification |
|
|---|---|
| Aliases | Histone H3.1, Histone H3, HIST1H3A;;Histone H3 |
| Swissprot | P68431 |
| WB Predicted band size | 15 kDa |
| Host/Isotype | Rabbit IgG |
| Antibody Type | Primary antibody |
| Storage | Store at 4°C short term. Aliquot and store at -20°C long term. Avoid freeze/thaw cycles. |
| Species Reactivity | Human,Mouse,Rat |
| Immunogen | A synthesized peptide derived from human Histone H3.1 |
| Formulation | Purified antibody in PBS with 0.05% sodium azide,0.05% BSA and 50% glycerol. |
Application |
|
|---|---|
| WB | 1/1000-1/2000 |
| IHC | IHC:1/100-1/200;IHF:1/50-1/200 |
| IF | 1/50-1/200 |
| FCM | 1/20-1/100 |
Product Image
-
Western blot analysis of Histone H3 expression in (1) HeLa cell lysate; (2) NIH/3T3 cell lysate; (3) Rat brain lysate.

-
Histone methyltransferase NSD2 regulates apoptosis and chemosensitivity in osteosarcoma. -Cell Death and Disease

-
All lanes use the Antibody at 1:2K dilution for 1 hour at room temperature.

-
All lanes use the Antibody at 1:2K dilution for 1 hour at room temperature.

-
All lanes use the Antibody at 1:2K dilution for 1 hour at room temperature.

-
All lanes use the Antibody at 1:2K dilution for 1 hour at room temperature.

-
All lanes use the Antibody at 1:2K dilution for 1 hour at room temperature.

-
All lanes use the Antibody at 1:2K dilution for 1 hour at room temperature.

-
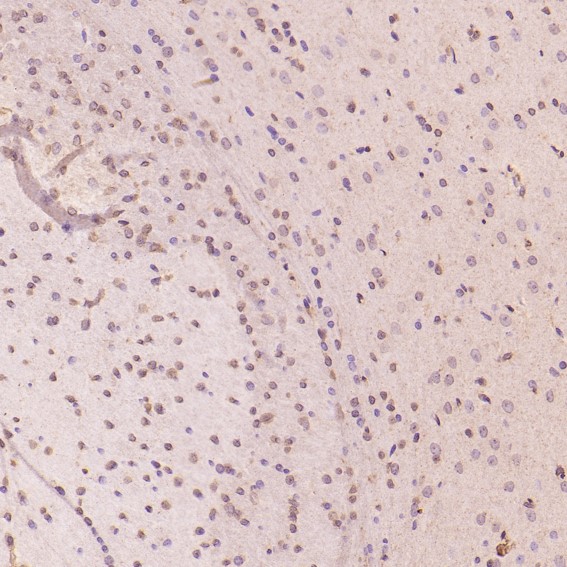
Immunohistochemical analysis of paraffin-embedded Rat cerebral cortex, using the Antibody at 1:200 dilution.

-
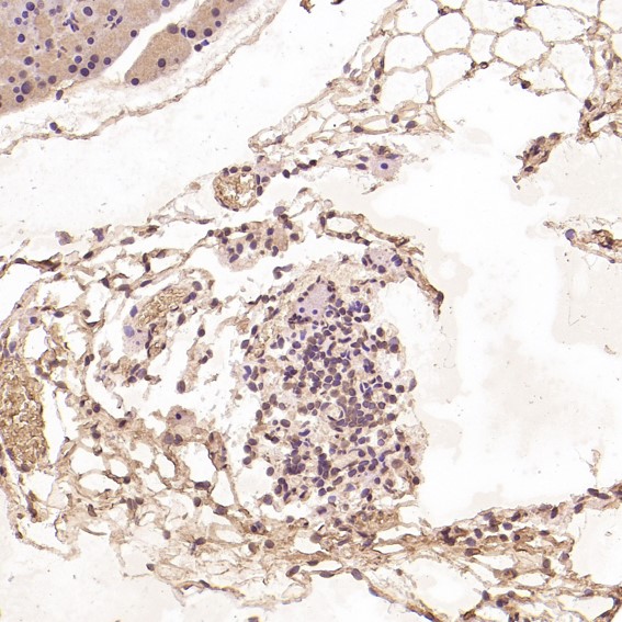
Immunohistochemical analysis of paraffin-embedded Rat pancreas, using the Antibody at 1:200 dilution.











鄂公网安备42018502007531号

