-
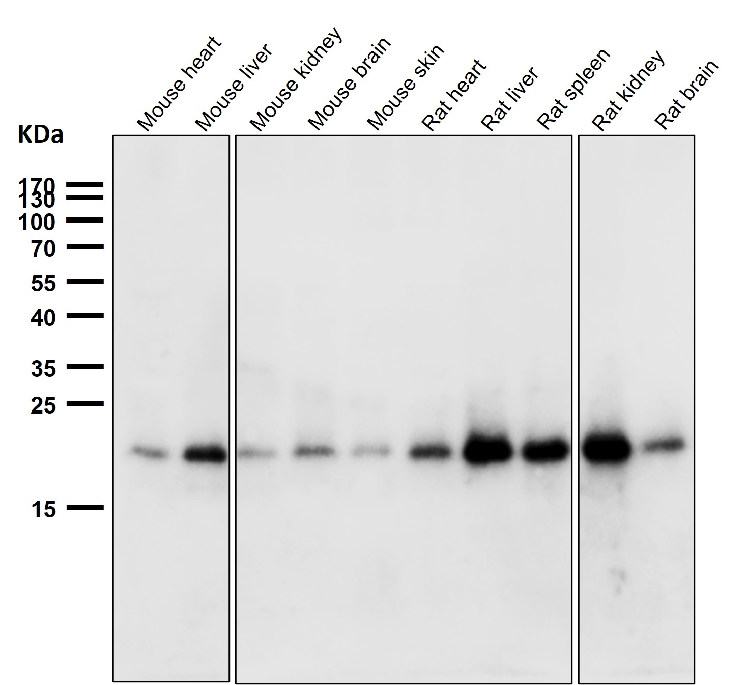
分类: 科研抗体货号: P17286别名: FTH1; Ferritin heavy chain; Ferritin heavy polypeptide 1; FHC; FTHL6; PIG15; PLIF; FTH;;Ferritin应用: WB,IF反应种属: Human,Mouse,Rat
-
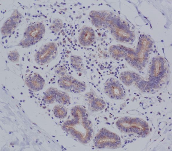
分类: 科研抗体货号: P17304别名: 40S ribosomal protein S20; RS20; Ribosomal protein S20; RPS 20;;RPS20应用: WB,IHC/IHF,IF,反应种属: Human,Mouse,Rat
-
分类: 科研抗体货号: P17285别名: IRF7; Interferon regulatory factor 7; IRF-7; IRF7A; IRF-7H;;IRF7应用: WB,IHC/IHF,IF,IP,FCM反应种属: Human,Mouse,Rat
-
分类: 科研抗体货号: P17303别名: UPS; PBGD; PORC; PBG-D; HMBS; Hydroxymethylbilane synthase;;Porphobilinogen deaminase应用: WB反应种属: Human,Mouse,Rat
-
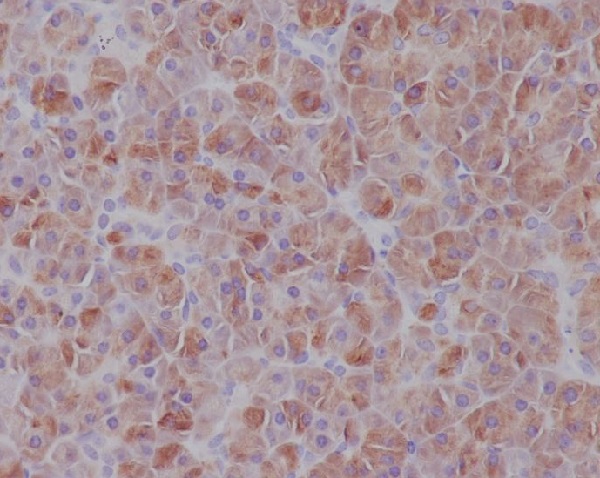
分类: 科研抗体货号: P17282别名: MSI2H; MGC3245; MSI2;;MSI2应用: WB,IHC/IHF,IF,FCM反应种属: Human,Mouse,Rat
-
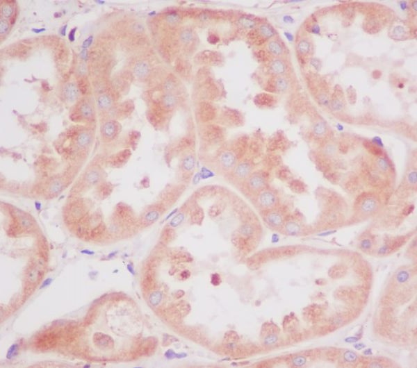
分类: 科研抗体货号: P17302别名: CK-14; CK14; cytokeratin 14; Cytokeratin-14; EBS3; EBS4; K14; K1C14; keratin 14; Keratin, type I cytoskeletal 14; Keratin-14; KRT14; NFJ;;Cytokeratin 14应用: WB,IHC/IHF,IF,反应种属: Human,Mouse,Rat
-
分类: 科研抗体货号: P17281别名: PEBP1; HCNP; PBP; PEBP; RKIP;;PEBP1应用: WB,IHC/IHF,IF,IP反应种属: Human,Mouse,Rat
-
分类: 科研抗体货号: P17301别名: Myeloid differentiation primary response protein MyD88; MYD88;;MyD88应用: WB,IHC/IHF,IF,FCM反应种属: Human
-
分类: 科研抗体货号: P17280别名: MAPT; Microtubule-associated protein tau; MTBT1; Neurofibrillary tangle protein; Paired helical filament-tau; PHF-tau;;p-Tau (T231)应用: WB;IHC;IP反应种属: Human,Mouse,Rat
-
分类: 科研抗体货号: P17300别名: NMP200; nuclear matrix protein 200; pre-mRNA-processing factor 19; PRP19; PRP19/PSO4; PRPF19; PSO4; senescence evasion factor; SNEV; UBOX4;;PRPF19应用: WB,IHC/IHF,IF,FCM反应种属: Human,Mouse,Rat
鄂公网安备42018502007531号

