Rabbit Monoclonal to Cytokeratin14
货号:
P17302
别名:
CK-14; CK14; cytokeratin 14; Cytokeratin-14; EBS3; EBS4; K14; K1C14; keratin 14; Keratin, type I cytoskeletal 14; Keratin-14; KRT14; NFJ;;Cytokeratin 14
应用:
WB,IHC/IHF,IF,
反应种属:
Human,Mouse,Rat
抗体类型:
Primary antibody
Swissprot:
P02533
规格:
目录价
在线咨询
Description |
|---|
The nonhelical tail domain is involved in promoting KRT5-KRT14 filaments to self-organize into large bundles and enhances the mechanical properties involved in resilience of keratin intermediate filaments in vitro. |
Specification |
|
|---|---|
| Aliases | CK-14; CK14; cytokeratin 14; Cytokeratin-14; EBS3; EBS4; K14; K1C14; keratin 14; Keratin, type I cytoskeletal 14; Keratin-14; KRT14; NFJ;;Cytokeratin 14 |
| Swissprot | P02533 |
| WB Predicted band size | Calculated MW: 52 kDa ; Observed MW: 53 kDa |
| Host/Isotype | Rabbit IgG |
| Antibody Type | Primary antibody |
| Storage | Store at 4°C short term. Aliquot and store at -20°C long term. Avoid freeze/thaw cycles. |
| Species Reactivity | Human,Mouse,Rat |
| Immunogen | A synthesized peptide derived from human Cytokeratin 14 |
| Formulation | Purified antibody in PBS with 0.05% sodium azide,0.05% BSA and 50% glycerol. |
Application |
|
|---|---|
| WB | 1/1000-1/2000 |
| IHC | IHC:1/100-1/200;IHF:1/50-1/200 |
| IF | 1/50-1/200 |
Product Image
-
All lanes use the Antibody at 1:2K dilution for 1 hour at room temperature.

-
All lanes use the Antibody at 1:2K dilution for 1 hour at room temperature.

-
Western blot analysis of Cytokeratin 14 expression in A431 cell lysate.

-
Immunofluorescent analysis of HACAT cells, using Cytokeratin 14 Antibody.

-
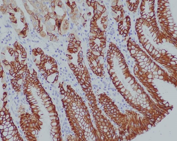
Immunohistochemical analysis of paraffin-embedded human stomach, using Cytokeratin 14 Antibody.






鄂公网安备42018502007531号

