-
分类: 科研抗体货号: P17291别名: Integrin alpha-E; HML-1 antigen; Integrin alpha-IEL; Mucosal lymphocyte 1 antigen; CD103; ITGAE;Integrin alpha E应用: IHC反应种属: Human
-
分类: 科研抗体货号: P17295别名: CAAX farnesyltransferase beta subunit; EC 2.5.1.58; farnesyltransferase beta; FNTB; PFTB; Protein farnesyltransferase beta subunit; RAS proteins prenyltransferase beta;;FNTB应用: WB,IF反应种属: Human,Rat
-
分类: 科研抗体货号: P17290别名: Lymphocyte-specific protein 1; Protein pp52; 52 kDa phosphoprotein; Lymphocyte-specific antigen WP34; 47 kDa actin-binding protein;;LSP1应用: WB,IHC/IHF,IF,反应种属: Human,Mouse,Rat
-
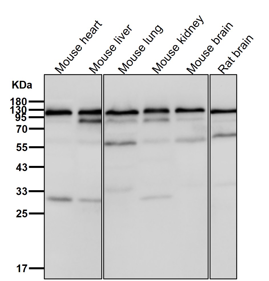
分类: 科研抗体货号: P17308别名: annexin 14; annexin A10; annexin-14; ANX10; ANX14;;Annexin A10应用: WB反应种属: Human,Mouse,Rat
-
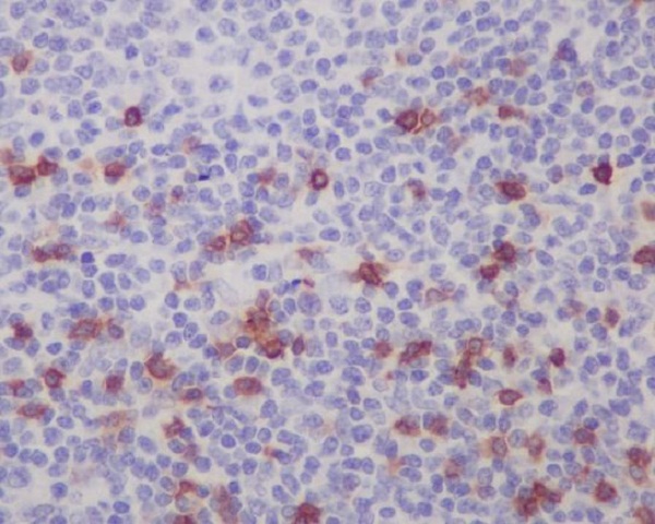
分类: 科研抗体货号: P17289别名: FCU; MWS; FCAS; Cias1; Mmig1; NLRP3; Pypaf1; AII/AVP; AGTAVPRL; Cryopyrin;;NLRP3应用: WB,IHC/IHF,IF,反应种属: Human,Mouse,Rat
-
分类: 科研抗体货号: P17307别名: rBPI; BPIFD1; CAP 57; BPI; Bactericidal permeability-increasing protein;;BPI应用: WB,IF,FCM反应种属: Human
-
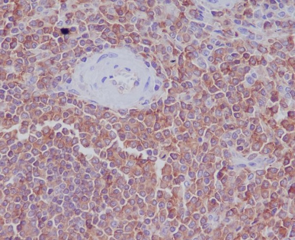
分类: 科研抗体货号: P17288别名: RDX; Radixin; Protein roadkill; HIB; ESP10; DFNB24; RADI;;Radixin应用: WB,IHC/IHF,IF,IP,FCM反应种属: Human,Mouse,Rat
-
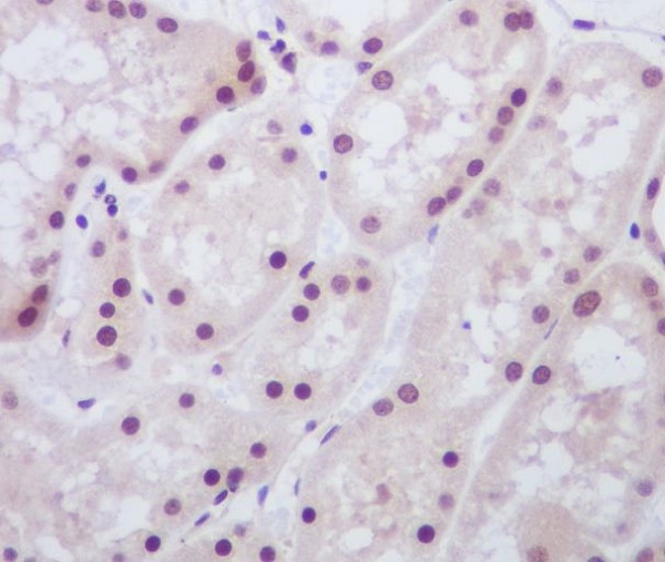
分类: 科研抗体货号: P17306别名: GARS; GART; AIRS; PRGS; Trifunctional purine biosynthetic protein adenosine 3;;GART应用: WB,IHC/IHF,IF,IP反应种属: Human,Mouse,Rat
-
分类: 科研抗体货号: P17287别名: HES1; BHLHb39; HHL; HL; Hairy and enhancer of split 1; Hairy homolog; HRY; Hairy homolog (Drosophila); Transcription factor HES-1; Hairy-like protein; HES-1;;HES1应用: WB,IHC/IHF,IF,FCM反应种属: Human,Mouse,Rat
-
分类: 科研抗体货号: P17305别名: Caught by MAD2 protein; CMT2; KIAA0110; MAD2L1 binding protein; MAD2L1-binding protein; MAD2L1BP; MD2BP; MGC11282; RP1-261G23.6;;MAD2L1BP应用: WB,IHC/IHF,IF,反应种属: Human,Mouse,Rat
鄂公网安备42018502007531号

