Rabbit Monoclonal to Hes1
货号:
P17287
别名:
HES1; BHLHb39; HHL; HL; Hairy and enhancer of split 1; Hairy homolog; HRY; Hairy homolog (Drosophila); Transcription factor HES-1; Hairy-like protein; HES-1;;HES1
应用:
WB,IHC/IHF,IF,FCM
反应种属:
Human,Mouse,Rat
抗体类型:
Primary antibody
Swissprot:
Q14469
规格:
目录价
在线咨询
Description |
|---|
HES1 is one of seven members of the HES family of basic helix-loop-helix (bHLH) transcription factors which function primarily to repress transcription of bHLH-dependent genes. HES1 is understood to play an important conserved role in maintaining pluripotency of embryonic and adult stem/progenitor cells via the transcriptional repression of genes that promote differentiation. |
Specification |
|
|---|---|
| Aliases | HES1; BHLHb39; HHL; HL; Hairy and enhancer of split 1; Hairy homolog; HRY; Hairy homolog (Drosophila); Transcription factor HES-1; Hairy-like protein; HES-1;;HES1 |
| Swissprot | Q14469 |
| WB Predicted band size | 30 kDa |
| Host/Isotype | Rabbit IgG |
| Antibody Type | Primary antibody |
| Storage | Store at 4°C short term. Aliquot and store at -20°C long term. Avoid freeze/thaw cycles. |
| Species Reactivity | Human,Mouse,Rat |
| Immunogen | A synthesized peptide derived from human HES1 |
| Formulation | Purified antibody in PBS with 0.05% sodium azide,0.05% BSA and 50% glycerol. |
Application |
|
|---|---|
| WB | 1/1000-1/2000 |
| IHC | IHC:1/100-1/200;IHF:1/50-1/200 |
| IF | 1/50-1/200 |
| FCM | 1/20-1/100 |
Product Image
-
All lanes use the Antibody at 1:1K dilution for 1 hour at room temperature.

-
All lanes use the Antibody at 1:2K dilution for 1 hour at room temperature.

-
All lanes use the Antibody at 1:2K dilution for 1 hour at room temperature.

-
Immunofluorescent analysis using the Antibody at 1:50 dilution.

-
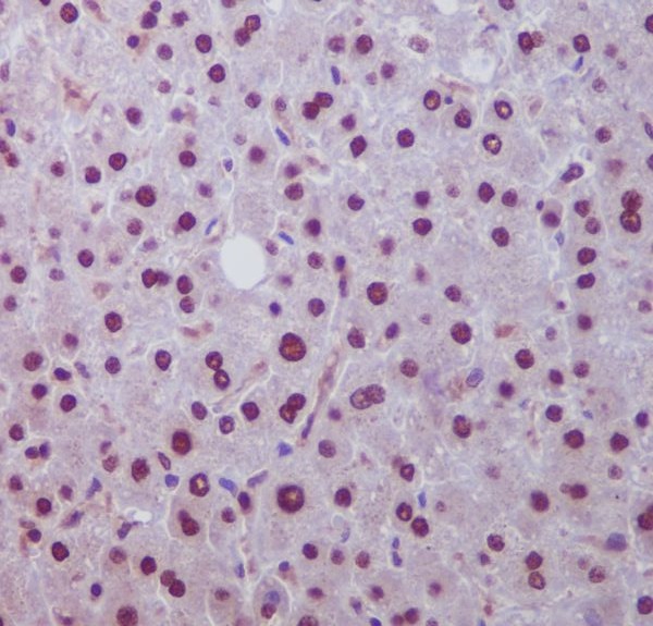
Immunohistochemical analysis of paraffin-embedded human liver, using Hes1 Antibody.






鄂公网安备42018502007531号

