-
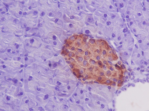
分类: 科研抗体货号: P17202别名: ILPR; IRDN; IDDM2; MODY10; Insulin; Insulin; INS;;Insulin应用: IHC/IHF,IF,反应种属: Human,Mouse,Rat
-
分类: 科研抗体货号: P17189别名: HLTS; Sox18 ; SRY box 18; Transcription factor SOX 18;;SOX18应用: WB;IHC反应种属: Human
-
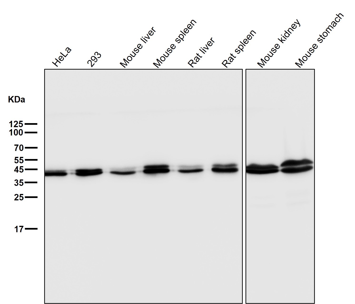
分类: 科研抗体货号: P17178别名: hTAP; SEC14 like 2; Sec14l2; SPF; Squalene transfer protein; TAP; TAP1;;SEC14L2应用: WB,IHC/IHF,IF,反应种属: Human,Mouse,Rat
-
分类: 科研抗体货号: P17201别名: Homeobox protein Hox-B9; Hox-2E; Hox-2.5; HOXB9; HOX2E;;HOX B9应用: WB,IF,IP反应种属: Human
-
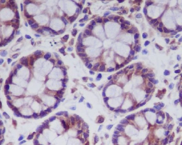
分类: 科研抗体货号: P17188别名: TPP II; TPP2; Tripeptidyl aminopeptidase; Tripeptidyl peptidase 2; Tripeptidyl peptidase II;;TPP2应用: WB,IHC/IHF,IF,FCM反应种属: Human,Mouse,Rat
-
分类: 科研抗体货号: P17219别名: Mixed lineage kinase domain-like protein; hMLKL; ;MLKL应用: WB;IHC反应种属: Human
-
分类: 科研抗体货号: P17198别名: BBC3; bcl2 binding component 3; jfy1; puma; p53 up-regulated modulator of apoptosis; PUMA alpha;;BBC3应用: WB,IHC/IHF,IF,FCM反应种属: Human,Mouse,Rat
-
分类: 科研抗体货号: P17187别名: Fet; Fetub; Fetuin beta; Gugu; Pp63;;Fetuin B应用: WB;IHC反应种属: Human,Rat
-
分类: 科研抗体货号: P17216别名: ERK-1, Insulin-stimulated MAP2 kinase, MAP kinase 1, MAPK 1, p44-ERK1, ERT2, p44-MAPK, ERK-1,;ERK1/2应用: WB,IF,IP,FCM反应种属: Human,Mouse,Rat
-
分类: 科研抗体货号: P17196别名: CDC16; ANAPC6; APC6; CDC16 homolog; Cyclosome subunit 6; CDC16Hs; CUT9;;CDC16应用: WB;IP反应种属: Human,Mouse,Rat
鄂公网安备42018502007531号

