Rabbit Monoclonal to PUMA
货号:
P17198
别名:
BBC3; bcl2 binding component 3; jfy1; puma; p53 up-regulated modulator of apoptosis; PUMA alpha;;BBC3
应用:
WB,IHC/IHF,IF,FCM
反应种属:
Human,Mouse,Rat
抗体类型:
Primary antibody
Swissprot:
Q9BXH1
规格:
目录价
在线咨询
Description |
|---|
Essential mediator of p53/TP53-dependent and p53/TP53-independent apoptosis.Promotes partial unfolding of BCL2L1 and dissociation of BCL2L1 from p53/TP53, releasing the bound p53/TP53 to induce apoptosis. |
Specification |
|
|---|---|
| Aliases | BBC3; bcl2 binding component 3; jfy1; puma; p53 up-regulated modulator of apoptosis; PUMA alpha;;BBC3 |
| Swissprot | Q9BXH1 |
| WB Predicted band size | Calculated MW: 21 kDa ; Observed MW: 18 kDa |
| Host/Isotype | Rabbit IgG |
| Antibody Type | Primary antibody |
| Storage | Store at 4°C short term. Aliquot and store at -20°C long term. Avoid freeze/thaw cycles. |
| Species Reactivity | Human,Mouse,Rat |
| Immunogen | A synthesized peptide derived from human BBC3 |
| Formulation | Purified antibody in PBS with 0.05% sodium azide,0.05% BSA and 50% glycerol. |
Application |
|
|---|---|
| WB | 1/1000-1/2000 |
| IHC | IHC:1/100-1/200;IHF:1/50-1/200 |
| IF | 1/50-1/200 |
| FCM | 1/20-1/100 |
Product Image
-
All lanes use the Antibody at 1:2K dilution for 1 hour at room temperature.

-
Western blot analysis of PUMA expression in K562 cell lysate.

-
Immunofluorescent analysis using the Antibody at 1:50 dilution.

-
Immunofluorescent analysis using the Antibody at 1:150 dilution.

-
Immunofluorescent analysis using the Antibody at 1:200 dilution.

-
Immunofluorescent analysis of Hela cells, using PUMA Antibody .

-
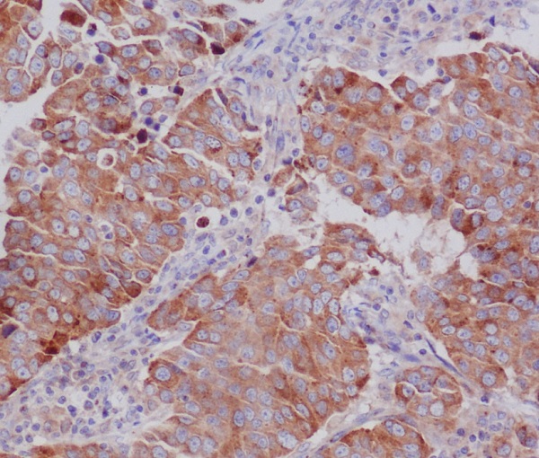
Immunohistochemical analysis of paraffin-embedded human breast cancer, using PUMA Antibody.








鄂公网安备42018502007531号

