产品中心
PRODUCT CENTER
首页 » 产品中心 » 抗体 » 科研抗体 »
  • 分类: 科研抗体
    货号: P17209
    别名: HTB2; Htb2p; HTB1; Htb1p; Histone H2B.1; Histone H2B.2; SPT12;;p-Histone H2B.1 (T129)
    应用: WB
    反应种属: Yeast
  • 分类: 科研抗体
    货号: P17183
    别名: Ceruloplasmin; CP2; Ferroxidase;;Ceruloplasmin
    应用: WB
    反应种属: Human,Rat
  • 分类: 科研抗体
    货号: P17165
    别名: VDAC1;MGC111064;PORIN;PORIN-31-HL;;VDAC1
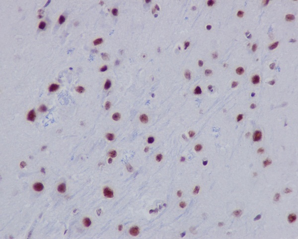
    应用: WB,IHC/IHF,IF,
    反应种属: Human,Mouse,Rat
  • 分类: 科研抗体
    货号: P17206
    别名: FLJ92027; H2A histone family, member C; H2A.1; H2A/c; H2A1; H2AFC; H2AFD; H2AFI; H2AFN; H2AFP; HIST1H2AG; HIST1H2AI; HIST1H2AK; HIST1H2AL; HIST1H2AM;;p-Histone H2A (S129)
    应用: WB
    反应种属: Yeast
  • 分类: 科研抗体
    货号: P17182
    别名: Shb;;SHB
    应用: WB
    反应种属: Human,Mouse,Rat
  • 分类: 科研抗体
    货号: P17164
    别名: Gas2; Growth arrest specific 2; ;GAS2
    应用: WB;IHC
    反应种属: Human
  • 分类: 科研抗体
    货号: P17203
    别名: H2A; H2A1B; H2AFM; HIST1H2A; Histone H2A.2; Histone H2A/a;;Acetyl-Histone H2A (K9)
    应用: WB,IHC/IHF,IF,
    反应种属: Human,Mouse,Rat
  • 分类: 科研抗体
    货号: P17181
    别名: CaBP1; Calbrain; Calcium binding protein 1; Calcium binding protein 5; Caldendrin; HCALB BR;;Calcium binding protein 1
    应用: WB,IF
    反应种属: Human,Mouse
  • 分类: 科研抗体
    货号: P17190
    别名: Alpha-tubulin 1; TUBA1; TUBA1A ; Tubulin alpha 1 chain; Tubulin alpha;alpha 1B/4A Tubulin
    应用: WB,IHC/IHF,IF,IP,FCM
    反应种属: Human,Mouse,Rat
  • 分类: 科研抗体
    货号: P17180
    别名: DFS70; LEDGF; p52; p75; PAIP; Psip1; PSIP2;;PSIP1
    应用: WB,IHC/IHF,IF,
    反应种属: Human
联系我们
  • 电话:17771420241 18911818852
  • 联系人:刘经理
  • 地址:湖北省武汉市东湖新技术开发区高新大道666号光谷生物城C6栋C6403、C6404
微信公众号
版权所有 © 武汉博开生物科技有限公司  备案编号:鄂ICP备2024052832号-1鄂公网安备42018502007531号
17771420241 18911818852