Rabbit Monoclonal to VDAC1
货号:
P17165
别名:
VDAC1;MGC111064;PORIN;PORIN-31-HL;;VDAC1
应用:
WB,IHC/IHF,IF,
反应种属:
Human,Mouse,Rat
抗体类型:
Primary antibody
Swissprot:
P21796
规格:
目录价
在线咨询
Description |
|---|
Forms a channel through the mitochondrial outer membrane and also the plasma membrane. The channel at the outer mitochondrial membrane allows diffusion of small hydrophilic molecules; in the plasma membrane it is involved in cell volume regulation and apoptosis. It adopts an open conformation at low or zero membrane potential and a closed conformation at potentials above 30-40 mV. The open state has a weak anion selectivity whereas the closed state is cation-selective. |
Specification |
|
|---|---|
| Aliases | VDAC1;MGC111064;PORIN;PORIN-31-HL;;VDAC1 |
| Swissprot | P21796 |
| WB Predicted band size | 31 kDa |
| Host/Isotype | Rabbit IgG |
| Antibody Type | Primary antibody |
| Storage | Store at 4°C short term. Aliquot and store at -20°C long term. Avoid freeze/thaw cycles. |
| Species Reactivity | Human,Mouse,Rat |
| Immunogen | A synthesized peptide derived from human VDAC1 |
| Formulation | Purified antibody in PBS with 0.05% sodium azide,0.05% BSA and 50% glycerol. |
Application |
|
|---|---|
| WB | 1/1000-1/2000 |
| IHC | IHC:1/100-1/200;IHF:1/50-1/200 |
| IF | 1/50-1/200 |
Product Image
-
All lanes use the Antibody at 1:2K dilution for 1 hour at room temperature.

-
All lanes use the Antibody at 1:2K dilution for 1 hour at room temperature.

-
Western blot analysis of VDAC1 expression in (1) HepG2 cell lysate; (2) Jurkat cell lysate.

-
Immunofluorescent analysis using the Antibody at 1:50 dilution.

-
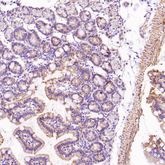
Immunohistochemical analysis of paraffin-embedded Mouse intestine, using the Antibody at 1:200 dilution.

-
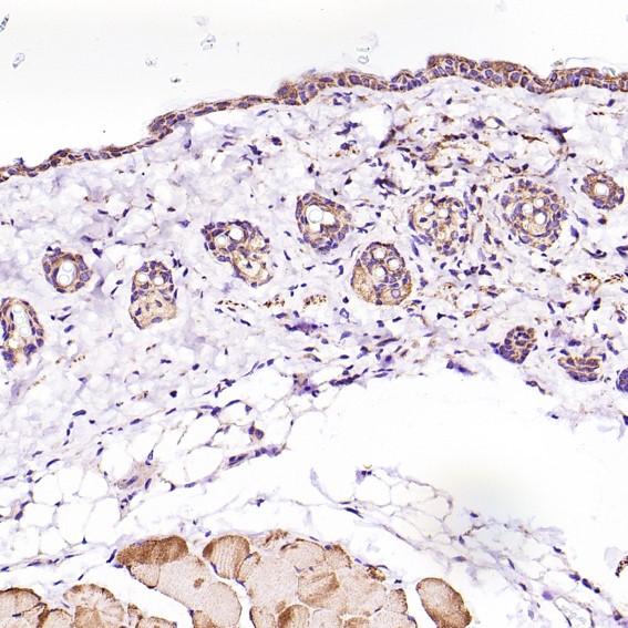
Immunohistochemical analysis of paraffin-embedded Mouse skin, using the Antibody at 1:200 dilution.

-
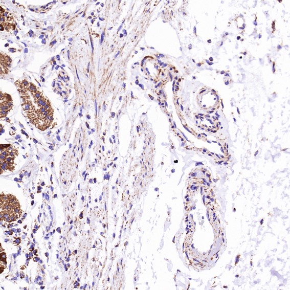
Immunohistochemical analysis of paraffin-embedded Human stomach, using the Antibody at 1:200 dilution.

-
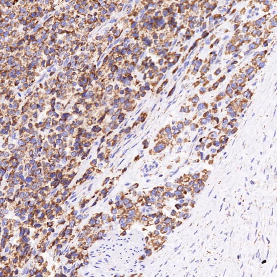
Immunohistochemical analysis of paraffin-embedded Human prostate cancer, using the Antibody at 1:200 dilution.









鄂公网安备42018502007531号

