-
分类: 科研抗体货号: P17171别名: PKB;RAC;PRKBA;PKB-ALPHA;RAC-ALPHA; AKT1 ; AKT2; AKT3; Akt1/2/3; pan Akt;;AKT应用: WB,IHC/IHF,IF,IP,FCM反应种属: Human,Mouse,Rat
-
分类: 科研抗体货号: P17170别名: Brd4; CAP; HUNK1; MCAP; Bromodomain containing 4; chromosome associated protein; ;BRD4应用: WB,IHC/IHF,IF,IP反应种属: Human,Mouse,Rat
-
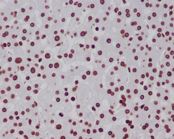
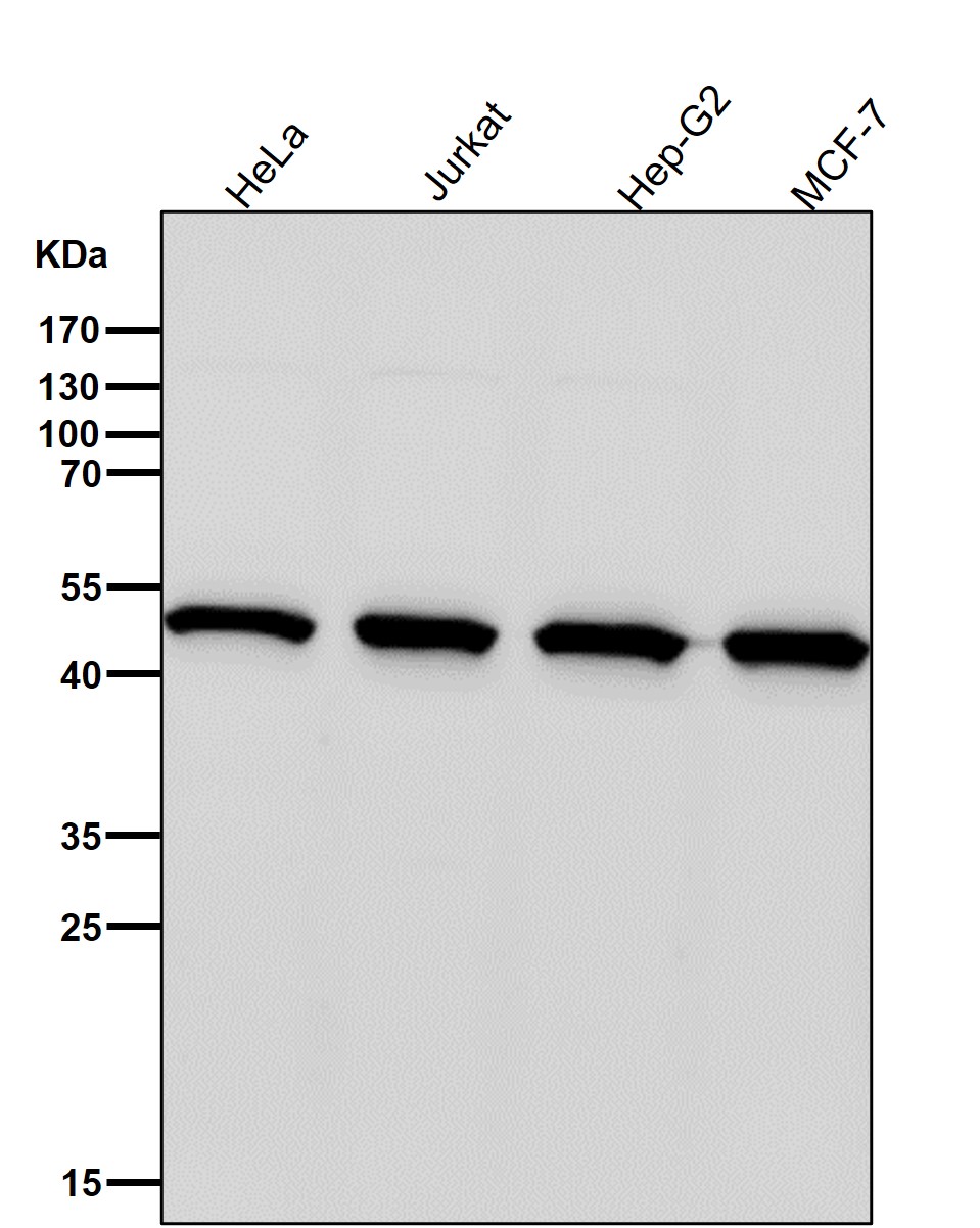
分类: 科研抗体货号: P17186别名: LAP; Lap3; LAPEP; Leucine aminopeptidase 3; PEPS; Peptidase S;;LAP3应用: WB;IHC反应种属: Human
-
分类: 科研抗体货号: P17169别名: IGF1;IGF1A;IGFI; MGF; Somatomedin C; Insulin like growth factor 1;;IGF1应用: WB反应种属: Human
-
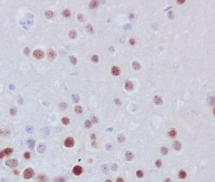
分类: 科研抗体货号: P17214别名: H3 histone; HIST1H3A; Histone cluster 1, H3a; H3K18me1;;MonoMethyl-Histone H3 (K19)应用: WB,IHC/IHF,IF,反应种属: Human,Mouse,Rat
-
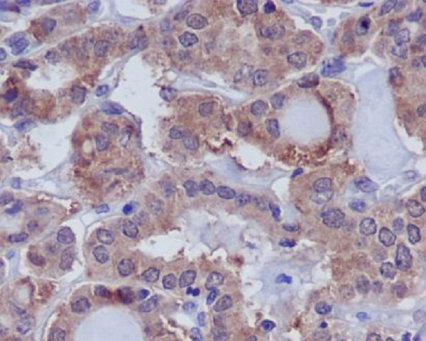
分类: 科研抗体货号: P17185别名: Mouse, Rat, Human;SEC62应用: WB,IHC/IHF,IF,反应种属: Human,Mouse,Rat
-
分类: 科研抗体货号: P17168别名: HH19; MKP3; PYST1; DUSP6; DUSP6a; Dual specificity phosphatase 6;;DUSP6应用: WB,IHC/IHF,IF,IP,FCM反应种属: Human,Mouse,Rat
-
分类: 科研抗体货号: P17210别名: G0/G1 switch regulatory protein 3, G0S3, Protein fosB; GOSB; Oncogene FOSB; Activator protein 1;;FOSB应用: WB,IHC/IHF,IF,IP反应种属: Human,Mouse,Rat
-
分类: 科研抗体货号: P17184别名: MIP224; PSMC4; RPT3; Tat binding protein 7; TBP 7;;PSMC4应用: WB,IF反应种属: Human,Mouse,Rat
-
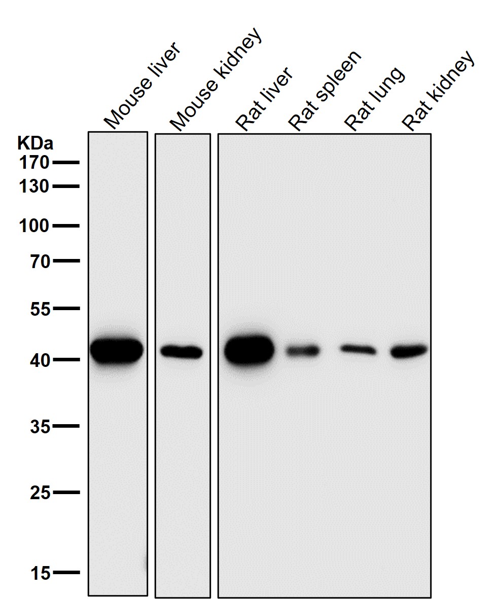
分类: 科研抗体货号: P17166别名: Heat shock cognate 71 kDa protein; HS7C; HSP73; HSP7C; HSPA10; HSPA8;;Hsc70应用: WB,IHC/IHF,IF,IP,FCM反应种属: Human,Mouse,Rat
鄂公网安备42018502007531号

