Rabbit Monoclonal to Hsc70
货号:
P17166
别名:
Heat shock cognate 71 kDa protein; HS7C; HSP73; HSP7C; HSPA10; HSPA8;;Hsc70
应用:
WB,IHC/IHF,IF,IP,FCM
反应种属:
Human,Mouse,Rat
抗体类型:
Primary antibody
Swissprot:
P11142
规格:
目录价
在线咨询
Description |
|---|
Molecular chaperone implicated in a wide variety of cellular processes, including protection of the proteome from stress, folding and transport of newly synthesized polypeptides, chaperone-mediated autophagy, activation of proteolysis of misfolded proteins, formation and dissociation of protein complexes, and antigen presentation. Plays a pivotal role in the protein quality control system, ensuring the correct folding of proteins, the re-folding of misfolded proteins and controlling the targeting of proteins for subsequent degradation. |
Specification |
|
|---|---|
| Aliases | Heat shock cognate 71 kDa protein; HS7C; HSP73; HSP7C; HSPA10; HSPA8;;Hsc70 |
| Swissprot | P11142 |
| WB Predicted band size | Calculated MW: 71 kDa ; Observed MW: 70 kDa |
| Host/Isotype | Rabbit IgG |
| Antibody Type | Primary antibody |
| Storage | Store at 4°C short term. Aliquot and store at -20°C long term. Avoid freeze/thaw cycles. |
| Species Reactivity | Human,Mouse,Rat |
| Immunogen | A synthesized peptide derived from human Hsc70 |
| Formulation | Purified antibody in PBS with 0.05% sodium azide,0.05% BSA and 50% glycerol. |
Application |
|
|---|---|
| WB | 1/1000-1/2000 |
| IP | 1/20-1/50 |
| IHC | IHC:1/100-1/200;IHF:1/50-1/200 |
| IF | 1/50-1/200 |
| FCM | 1/20-1/100 |
Product Image
-
All lanes use the Antibody at 1:2K dilution for 1 hour at room temperature.

-
All lanes use the Antibody at 1:2K dilution for 1 hour at room temperature.

-
All lanes use the Antibody at 1:2K dilution for 1 hour at room temperature.

-
Western blot analysis of Calreticulin expression in (1) HeLa cell lysate; (2) C6 cell lysate.

-
Immunohistochemical analysis of paraffin-embedded Rat liver, using the Antibody at 1:200 dilution.

-
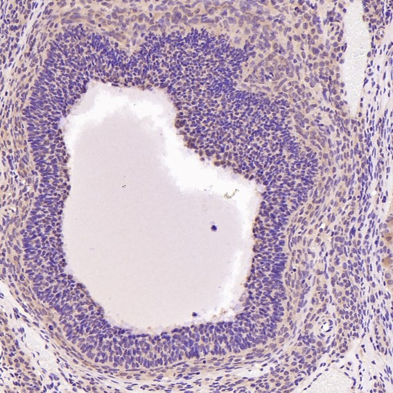
Immunohistochemical analysis of paraffin-embedded Rat ovary, using the Antibody at 1:200 dilution.

-
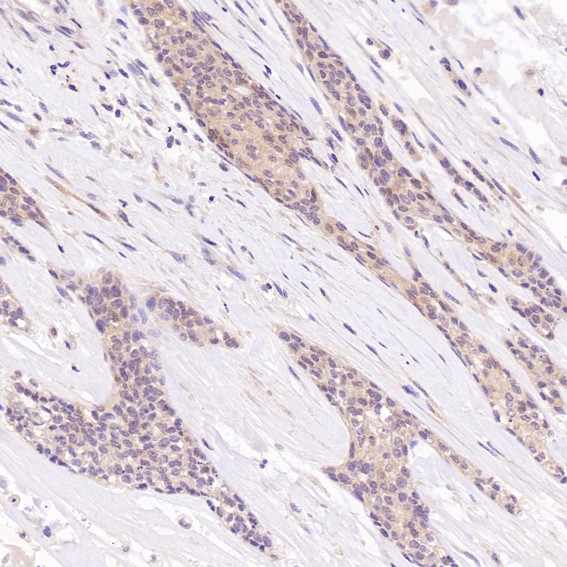
Immunohistochemical analysis of paraffin-embedded Human liver cancer, using the Antibody at 1:200 dilution.

-
Immunohistochemical analysis of paraffin-embedded Human breast cancer, using the Antibody at 1:200 dilution.

-
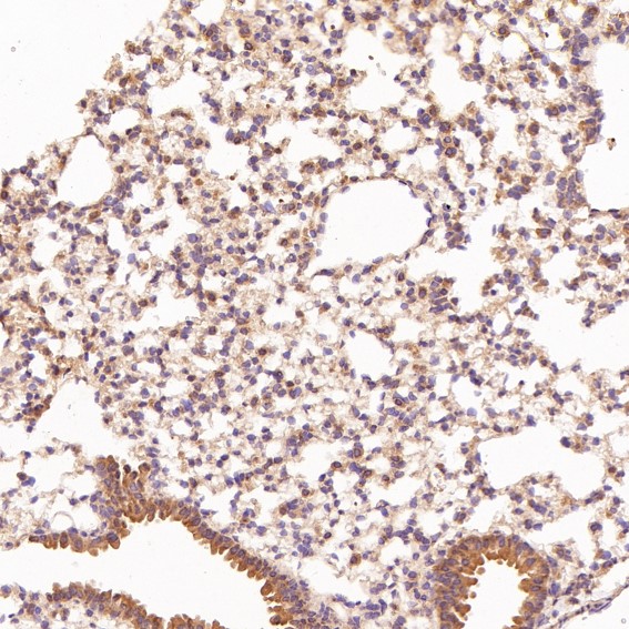
Immunohistochemical analysis of paraffin-embedded Mouse lung, using the Antibody at 1:200 dilution.

-
Immunohistochemical analysis of paraffin-embedded human breast cancer, using Hsc70 Antibody.











鄂公网安备42018502007531号

