产品中心
PRODUCT CENTER
首页 » 产品中心 » 抗体 » 科研抗体 »
  • 分类: 科研抗体
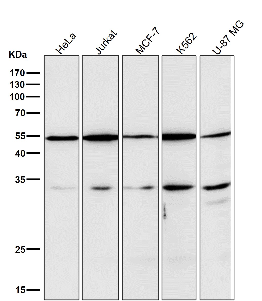
    货号: P17078
    别名: AIP1; API2; BIRC3; CIAP2; HAIP1; IAP homolog C ;RNF49; MIHC; MALT2; Apoptosis inhibitor 2;IAP2;;BIRC3
    应用: WB,IHC/IHF,IF,IP
    反应种属: Human
  • 分类: 科研抗体
    货号: P17074
    别名: p110Beta; PI3K; PI3K beta; PI3KCB; PIK3C1; Pik3cb;;PI3 kinase p110 beta
    应用: WB,IHC/IHF,IF,
    反应种属: Human,Mouse,Rat
  • 分类: 科研抗体
    货号: P17073
    别名: YY1, Delta transcription factor, INO80 complex subunit S, NF-E1, Yin and yang 1, YY-1;YY1
    应用: WB,IHC/IHF,IF,IP
    反应种属: Human,Mouse,Rat
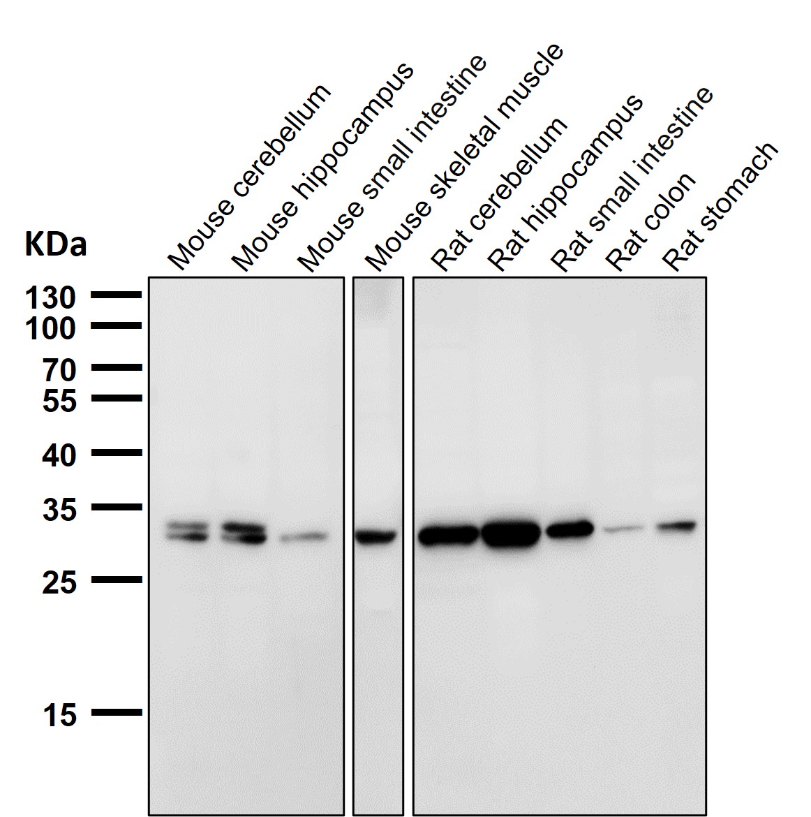
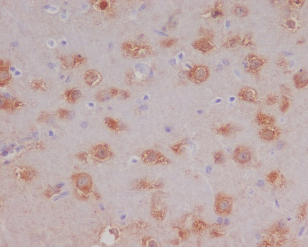
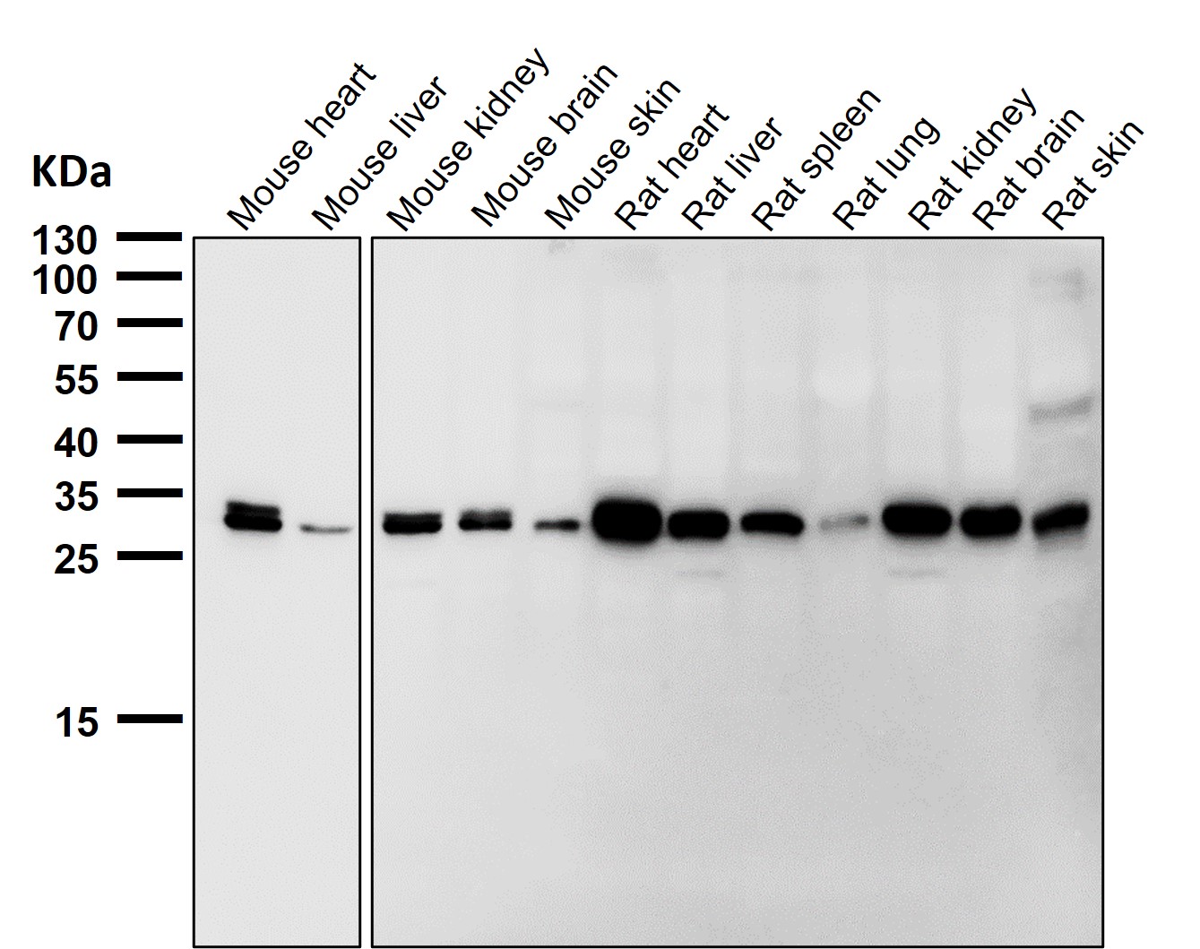
  • 分类: 科研抗体
    货号: P17093
    别名: NGF;Beta-NGF;HSAN5;MGC161426;MGC161428;NGFB;proNGF;;beta NGF
    应用: WB,IHC/IHF,IF,
    反应种属: Human,Mouse,Rat
  • 分类: 科研抗体
    货号: P17072
    别名: ACTA, ACTA1, ACTS, Actin, alpha skeletal muscle, Alpha-actin 1;alpha Skeletal muscle actin
    应用: WB,IHC/IHF,IF,IP,FCM
    反应种属: Human,Mouse,Rat
  • 分类: 科研抗体
    货号: P17092
    别名: FLJ13874 antibody;Heat shock 70 kDa protein 12A antibody;heat shock 70kD protein 12A antibody;heat shock 70kDa protein 12A antibody;HS12A_HUMAN antibody;Hspa12a antibody;KIAA0417 antibody;Hsp70 12A
    应用: WB,IHC/IHF,IF,IP
    反应种属: Human,Mouse,Rat
  • 分类: 科研抗体
    货号: P17069
    别名: KDEL; Lys Asp Glu Leu;;KDEL
    应用: WB,IHC/IHF,IF,FCM
    反应种属: Human,Mouse,Rat
  • 分类: 科研抗体
    货号: P17091
    别名: ARA160; TMF; Tmf1;;TATA element modulatory factor
    应用: WB,IF
    反应种属: Human
  • 分类: 科研抗体
    货号: P17103
    别名: CD47; IAP; Integrin Associated Protein; MER6 ; OA3; Protein MER6 ; Antigen identified by monoclonal antibody 1D8;CD47
    应用: WB,IF,FCM
    反应种属: Human,Mouse,Rat
  • 分类: 科研抗体
    货号: P17090
    别名: PAX2; Paired box protein Pax-2;PAX2
    应用: WB;IHC;FCM
    反应种属: Human,Mouse
联系我们
  • 电话:17771420241 18911818852
  • 联系人:刘经理
  • 地址:湖北省武汉市东湖新技术开发区高新大道666号光谷生物城C6栋C6403、C6404
微信公众号
版权所有 © 武汉博开生物科技有限公司  备案编号:鄂ICP备2024052832号-1鄂公网安备42018502007531号
17771420241 18911818852