Rabbit Monoclonal to YY1
货号:
P17073
别名:
YY1, Delta transcription factor, INO80 complex subunit S, NF-E1, Yin and yang 1, YY-1;YY1
应用:
WB,IHC/IHF,IF,IP
反应种属:
Human,Mouse,Rat
抗体类型:
Primary antibody
Swissprot:
P25490
规格:
目录价
在线咨询
Description |
|---|
Its activity is regulated by transcription factors and cytoplasmic proteins that have been shown to abrogate or completely inhibit YY1-mediated activation or repression. For example, it acts as a repressor in absence of adenovirus E1A protein but as an activator in its presence. Acts synergistically with the SMAD1 and SMAD4 in bone morphogenetic protein (BMP)-mediated cardiac-specific gene expression. |
Specification |
|
|---|---|
| Aliases | YY1, Delta transcription factor, INO80 complex subunit S, NF-E1, Yin and yang 1, YY-1;YY1 |
| Swissprot | P25490 |
| WB Predicted band size | Calculated MW: 45 kDa ; Observed MW: 68 kDa |
| Host/Isotype | Rabbit IgG |
| Antibody Type | Primary antibody |
| Storage | Store at 4°C short term. Aliquot and store at -20°C long term. Avoid freeze/thaw cycles. |
| Species Reactivity | Human,Mouse,Rat |
| Immunogen | A synthesized peptide derived from human YY1 |
| Formulation | Purified antibody in PBS with 0.05% sodium azide,0.05% BSA and 50% glycerol. |
Application |
|
|---|---|
| WB | 1/1000-1/2000 |
| IP | 1/20-1/50 |
| IHC | IHC:1/100-1/200;IHF:1/50-1/200 |
| IF | 1/50-1/200 |
Product Image
-
All lanes use the Antibody at 1:2K dilution for 1 hour at room temperature.

-
All lanes use the Antibody at 1:2K dilution for 1 hour at room temperature.

-
Western blot analysis of YY1 expression in (1) HeLa cell lysate; (2) Daudi cell lysate.

-
Immunofluorescent analysis using the Antibody at 1:150 dilution.

-
Immunofluorescent analysis of Hela cells, using YY1 Antibody.

-
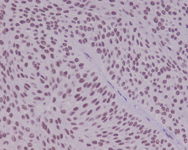
Immunohistochemical analysis of paraffin-embedded human bladder using YY1 Antibody.







鄂公网安备42018502007531号

