-
分类: 科研抗体货号: 30028别名: BIP; MIF2; GRP78; FLJ26106; HSPA5应用: WB,IHC,IF,FCM反应种属: Human,Mouse,Rat,Monkey,Rabbit
-
分类: 科研抗体货号: 30012别名: E2A; ITF1; VDIR; bHLHb21; MGC129647; MGC129648; TCF3应用: WB,FCM反应种属: Human
-
分类: 科研抗体货号: 30027别名: NKX3; BAPX2; NKX3A; NKX3.1; NKX3-1应用: WB,IHC,FCM反应种属: Human
-
分类: 科研抗体货号: 30040别名: CDC2; CDC28A; P34CDC2; MGC111195; DKFZp686L20222; CDK1应用: WB,IF,FCM反应种属: Human
-
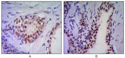
分类: 科研抗体货号: 30026别名: IRE1; IRE1P; IRE1a; hIRE1p; FLJ30999; MGC163277; MGC163279; ERN1应用: WB,IHC反应种属: Human
-
分类: 科研抗体货号: 30039别名: B4; MGC12802应用: IF,FCM反应种属: Human
-
分类: 科研抗体货号: 30025别名: A1B; ABG; GAB; HYST2477; DKFZp686F0970; A1BG应用: IHC反应种属: Human
-
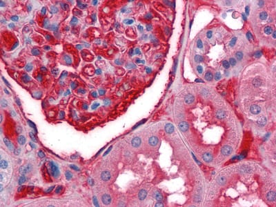
分类: 科研抗体货号: 30038别名: CDC2; CDC28A; P34CDC2; MGC111195; DKFZp686L20222; CDK1应用: WB,IHC反应种属: Human
-
分类: 科研抗体货号: 30057别名: CG9211; CT26314; Dmel CG9211; ihog; Ihog应用:反应种属: Drosophila Melanogaster
-
分类: 科研抗体货号: 30037别名: SLUG; WS2D; SLUGH1; MGC10182; SNAI2应用:反应种属: Human
鄂公网安备42018502007531号

