Mouse Monoclonal Antibody to HSPA5
货号:
30028
别名:
BIP; MIF2; GRP78; FLJ26106; HSPA5
应用:
WB,IHC,IF,FCM
反应种属:
Human,Mouse,Rat,Monkey,Rabbit
抗体类型:
Primary antibody
Swissprot:
P11021
规格:
目录价
在线咨询
Description |
|---|
When Chinese hamster K12 cells are starved of glucose, the synthesis of several proteins, called glucose-regulated proteins (GRPs), is markedly increased. Hendershot et al. (1994) (PubMed 8020977) pointed out that one of these, GRP78 (HSPA5), also referred to as 'immunoglobulin heavy chain-binding protein' (BiP), is a member of the heat-shock protein-70 (HSP70) family and is involved in the folding and assembly of proteins in the endoplasmic reticulum (ER). Because so many ER proteins interact transiently with GRP78, it may play a key role in monitoring protein transport through the cell.Probably plays a role in facilitating the assembly of multimeric protein complexes inside the ER.The HSP70 proteins are ubiquitous molecular chaparones that are found in all organisms and tissue types. Like other members of the HSP70 family, BiP is a peptide-binding ATPase that is able to differentiate native proteins from unfolded polypeptides. BiP does not bind to fully folded and assembled proteins, except in the presence of other co-chaparones. BiP is involved in a number of key mechanisms and pathways including polypeptide translocation across the endoplasmic reticulum, folding, assembly, transport of secreted or membrane proteins, and the regulation of calcium homeostasis. Although BiP is relatively abundant, marked increases in BiP occur where there is an accumulation of unfolded polypeptides. For this reason, BiP has been identified as a marker for various disease states that are associated with secretory and transmembrane protein misfolding. |
References |
|---|
| 1. Int J Cancer. 2010 Apr 1;126(7):1562-9. 2. J Virol. 2009 Dec;83(23):12622-5. 3. Mod Pathol. 2010 Jan;23(1):45-53. |
Specification |
|
|---|---|
| Aliases | BIP; MIF2; GRP78; FLJ26106; HSPA5 |
| Entrez GeneID | 3309 |
| Swissprot | P11021 |
| clone | 4E3 |
| WB Predicted band size | 78kDa |
| Host/Isotype | Mouse IgG1 |
| Antibody Type | Primary antibody |
| Storage | Store at 4°C short term. Aliquot and store at -20°C long term. Avoid freeze/thaw cycles. |
| Species Reactivity | Human,Mouse,Rat,Monkey,Rabbit |
| Immunogen | Purified recombinant fragment of human HSPA5 expressed in E. Coli. |
| Formulation | Purified antibody in PBS with 0.05% sodium azide. |
Application |
|
|---|---|
| WB | 1/500 - 1/2000 |
| IHC | 1/100 - 1/500 |
| IF | 1/50 - 1/500 |
| FCM | 1/200 - 1/400 |
| ELISA | 1/10000 |
Product Image
-
Western blot analysis using HSPA5 mouse mAb against NIH/3T3 (1), Hela (2) and Jurkat (3) cell lysate.

-
Western blot analysis using HSPA5 mouse mAb against Mouse brain(1)PC-12(2)F9(3)COS-7(4) cell lysate.

-
Immunofluorescence analysis of COS7 cells using HSPA5 mouse mAb (green). Blue: DRAQ5 fluorescent DNA dye. Red: Actin filaments have been labeled with Alexa Fluor- 555 phalloidin.

-
Flow cytometric analysis of COS7 cells using HSPA5 mouse mAb (green) and negative control (red).

-
Flow cytometric analysis of Hela cells using HSPA5 mouse mAb (green) and negative control (red).

-
Flow cytometric analysis of NIH/3T3 cells using HSPA5 mouse mAb (green) and negative control (red).

-
Flow cytometric analysis of PC-12 cells using HSPA5 mouse mAb (green) and negative control (red).

-
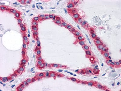
Immunohistochemical analysis of paraffin-embedded human Thyroid tissues using HSPA5 mouse mAb

-
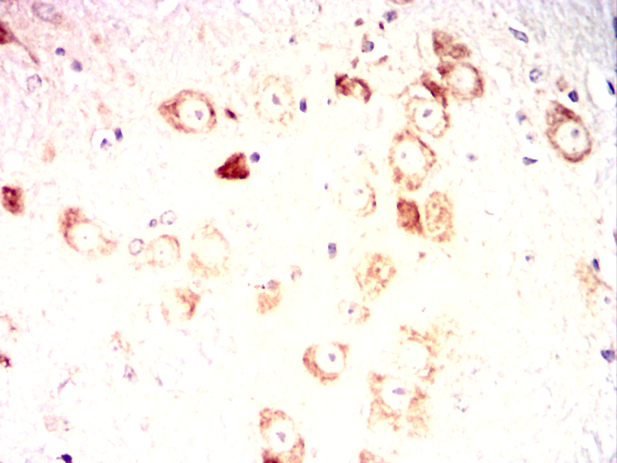
Immunohistochemical analysis of paraffin-embedded Mouse cerebellum using HSPA5 mouse mAb with DAB staining.

-
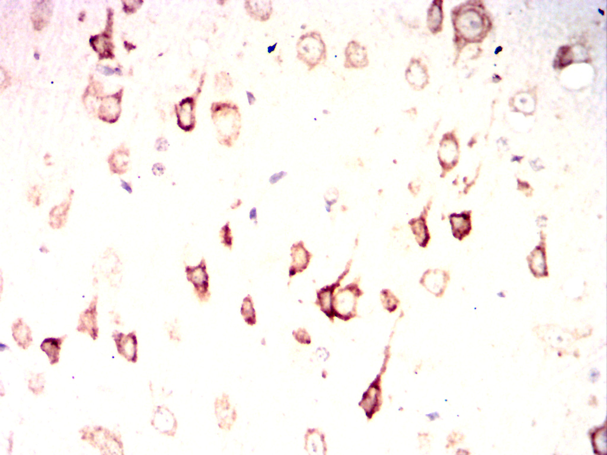
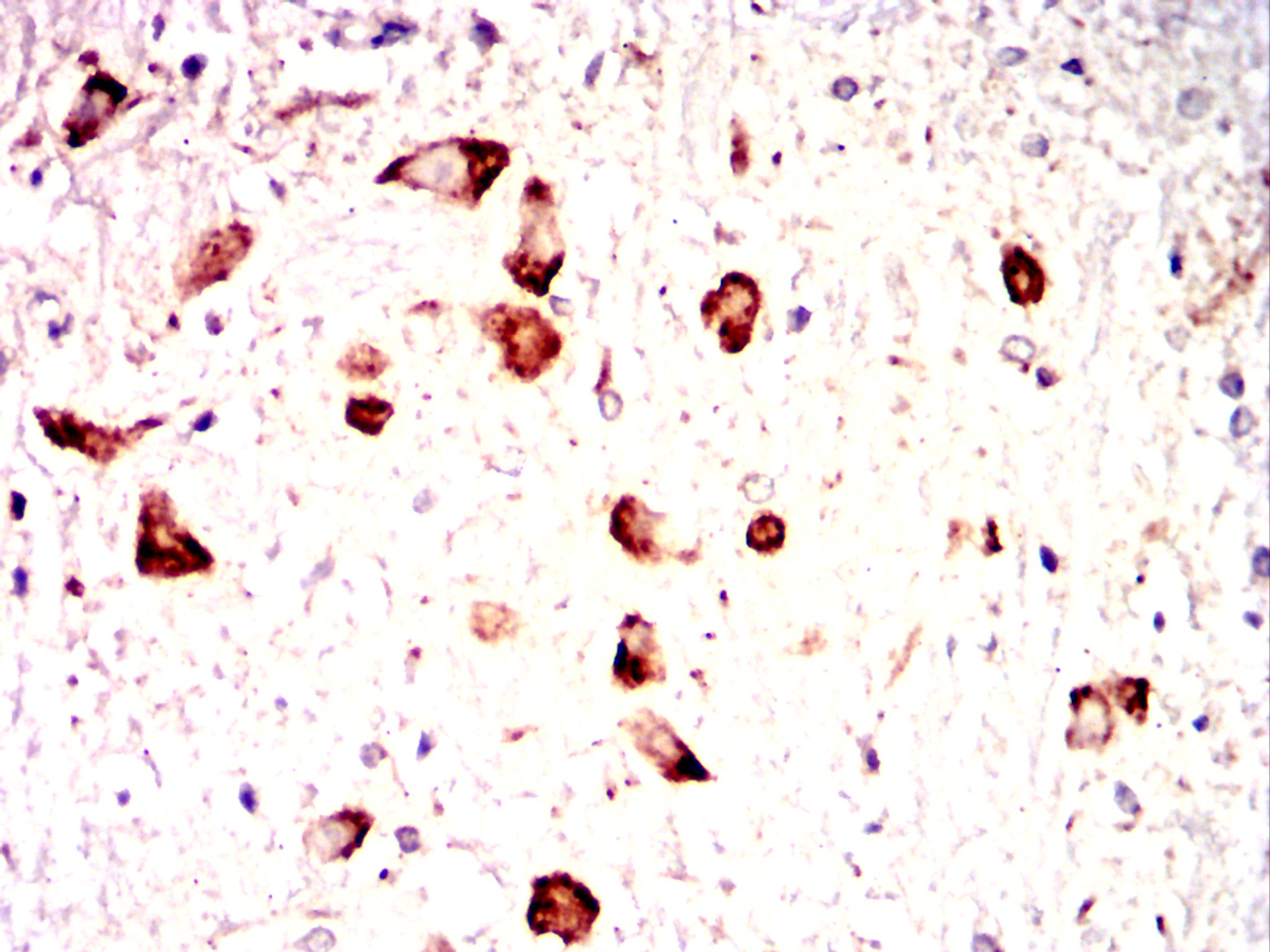
Immunohistochemical analysis of paraffin-embedded Rat brain using HSPA5 mouse mAb with DAB staining.

-
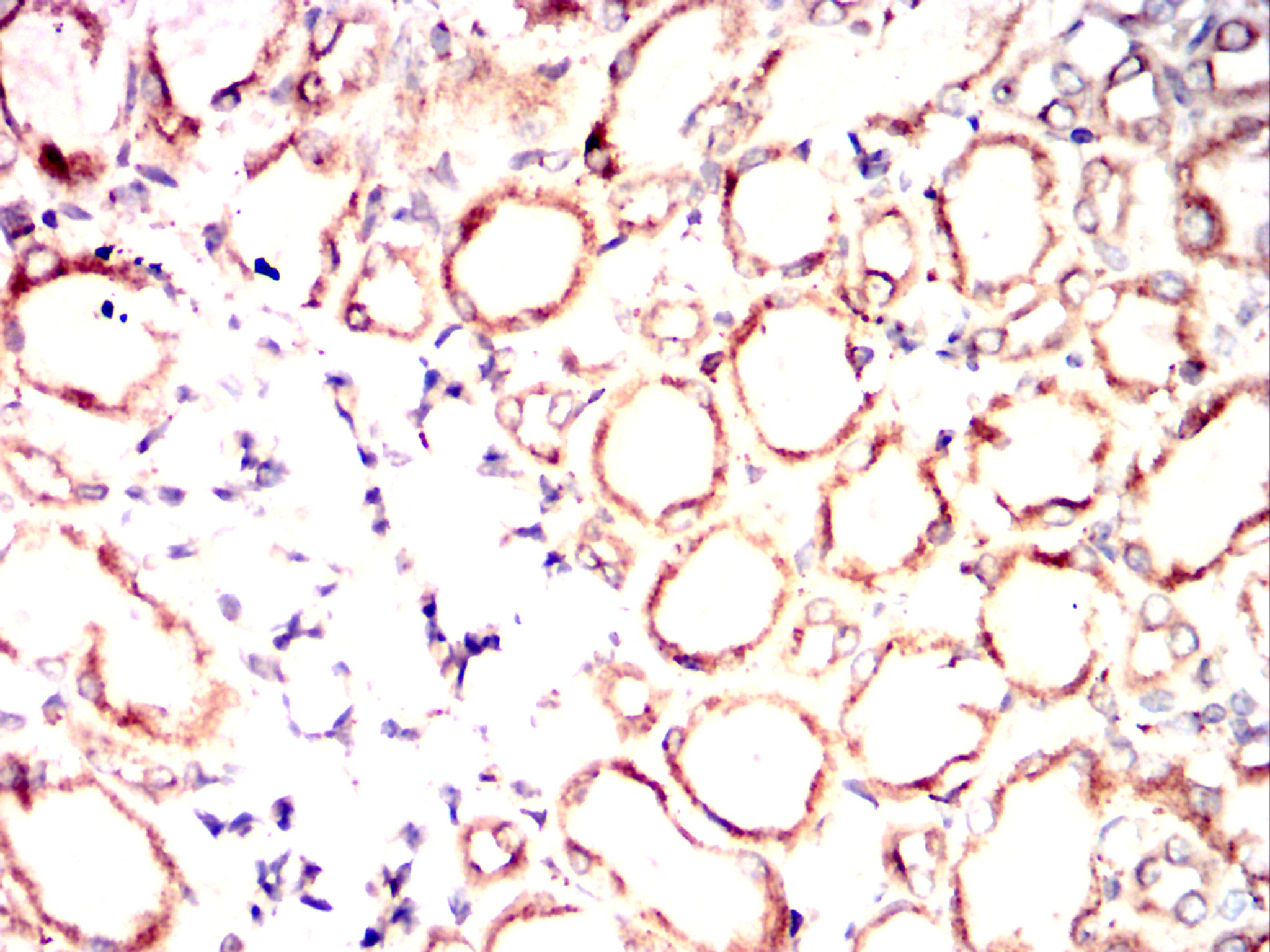
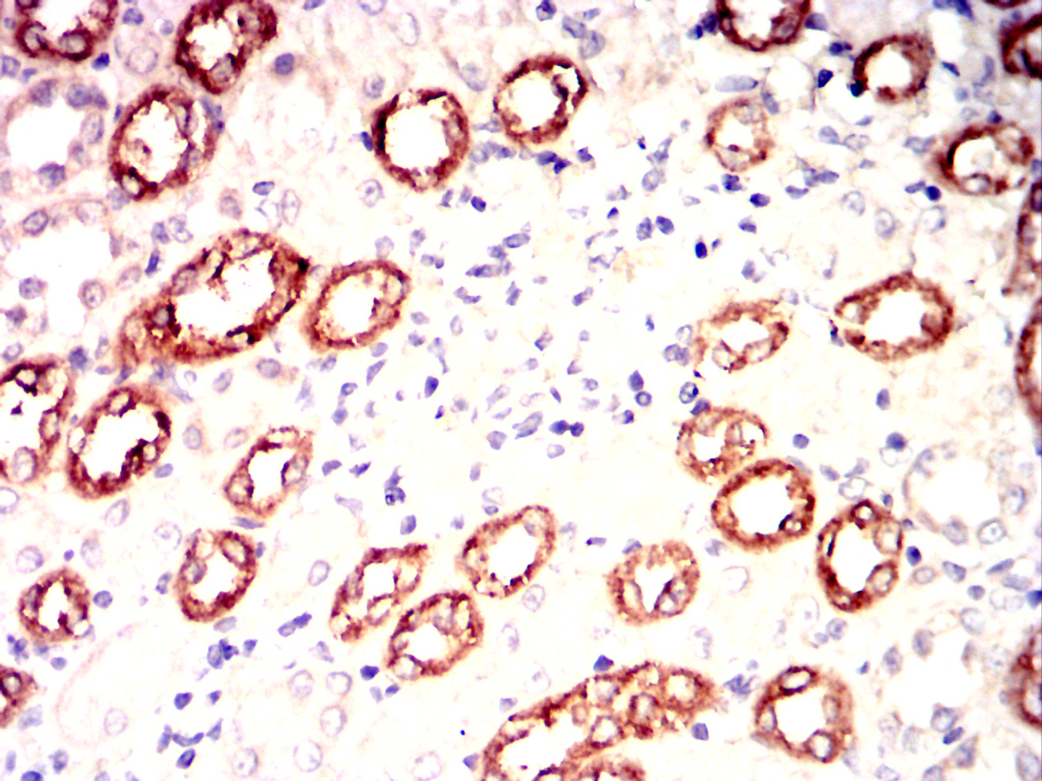
Immunohistochemical analysis of paraffin-embedded Rat kidney using HSPA5 mouse mAb with DAB staining.

-
Immunohistochemical analysis of paraffin-embedded Rabbit kidney using HSPA5 mouse mAb with DAB staining.

-
Immunohistochemical analysis of paraffin-embedded Rabbit spinal cord using HSPA5 mouse mAb with DAB staining.














鄂公网安备42018502007531号

