-
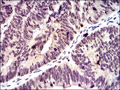
分类: 科研抗体货号: 30443别名: OPN; BNSP; BSPI; ETA-1应用: IHC反应种属: Human
-
分类: 科研抗体货号: 30425别名: UGB; UP1; CC10; CC16; CCSP; UP-1; CCPBP应用: FCM反应种属: Human
-
分类: 科研抗体货号: 30451A别名: CGA应用: WB,IF,FCM反应种属: Human
-
分类: 科研抗体货号: 30440别名: CLG4; MONA; CLG4A; TBE-1; MMP-II应用: WB反应种属: Human
-
分类: 科研抗体货号: 30448A别名: NESTIN应用: FCM反应种属: Human
-
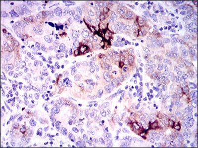
分类: 科研抗体货号: 30450P别名: GIG8; ID2A; ID2H; bHLHb26应用: IHC,FCM反应种属: Human
-
分类: 科研抗体货号: 30439别名: DEL5q14.3; C5DELq14.3应用: WB,IHC,FCM反应种属: Human,Mouse,Rat,Rabbit,Monkey
-
分类: 科研抗体货号: 30447P别名: 7B4; CD144应用: WB,FCM反应种属: Human,Rat
-
分类: 科研抗体货号: 30450A别名: GIG8; ID2A; ID2H; bHLHb26应用: IHC,FCM反应种属: Human
-
分类: 科研抗体货号: 30438别名: IV; caMK; CaMK IV; CaMK-GR应用: WB,IHC,IF,FCM反应种属: Human
鄂公网安备42018502007531号

